Skip to Content
MilliporeSigma

SAB5701242

Sigma-Aldrich

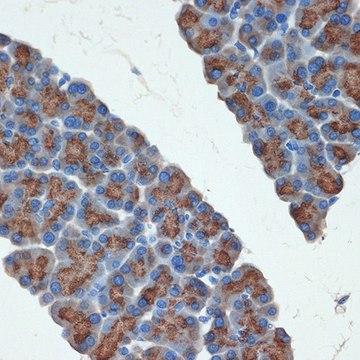
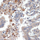
Anti-PRSS2 antibody produced in rabbit

Sign Into View Organizational & Contract Pricing

Select a Size


About This Item

UNSPSC Code:
12352203
NACRES:
NA.41
Technical Service
Need help? Our team of experienced scientists is here for you.
Let Us Assist
Technical Service
Need help? Our team of experienced scientists is here for you.
Let Us Assist

biological source

rabbit

Quality Level

conjugate

unconjugated

antibody product type

primary antibodies

clone

monoclonal

form

liquid

species reactivity

rat, human, mouse

concentration

0.33 mg/mL

technique(s)

immunohistochemistry: 1:50-1:200
western blot: 1:500-1:2000

UniProt accession no.

shipped in

wet ice

storage temp.

−20°C

target post-translational modification

unmodified

Gene Information

human ... PRSS2(5645)

General description

This gene belongs to the trypsin family of serine proteases and encodes anionic trypsinogen. It is part of a cluster of trypsinogen genes that are located within the T cell receptor beta locus. Enzymes of this family cleave peptide bonds that follow lysine or arginine residues. This protein is found at high levels in pancreatic juice and its upregulation is a characteristic feature of pancreatitis. This protein has also been found to activate pro-urokinase in ovarian tumors, suggesting a function in tumor invasion. In addition, this enzyme is able to cleave across the type II collagen triple helix in rheumatoid arthritis synovitis tissue, potentially participating in the degradation of type II collagen-rich cartilage matrix. Alternative splicing results in multiple transcript variants.

Immunogen

Recombinant protein of human PRSS2.

Physical form

Buffer: PBS with 0.02% sodium azide,50% glycerol,pH7.3.

Not finding the right product?  

Try our Product Selector Tool.

Storage Class

12 - Non Combustible Liquids

wgk_germany

WGK 1

flash_point_f

Not applicable

flash_point_c

Not applicable


Choose from one of the most recent versions:

Certificates of Analysis (COA)

Lot/Batch Number

Don't see the Right Version?

If you require a particular version, you can look up a specific certificate by the Lot or Batch number.

Already Own This Product?

Find documentation for the products that you have recently purchased in the Document Library.

Visit the Document Library

Our team of scientists has experience in all areas of research including Life Science, Material Science, Chemical Synthesis, Chromatography, Analytical and many others.

Contact Technical Service