Skip to Content
MilliporeSigma

SAB5500160

Sigma-Aldrich

Anti-PAX-5 antibody, Rabbit monoclonal

recombinant, expressed in proprietary host, clone SP34, affinity isolated antibody

Sign Into View Organizational & Contract Pricing

Select a Size


About This Item

UNSPSC Code:
12352203
NACRES:
NA.41
Technical Service
Need help? Our team of experienced scientists is here for you.
Let Us Assist
Technical Service
Need help? Our team of experienced scientists is here for you.
Let Us Assist

biological source

rabbit

Quality Level

recombinant

expressed in proprietary host

conjugate

unconjugated

antibody form

affinity isolated antibody

antibody product type

primary antibodies

clone

SP34, monoclonal

species reactivity

human (tested)

species reactivity (predicted by homology)

chicken, mouse, dog

technique(s)

flow cytometry: 1:100
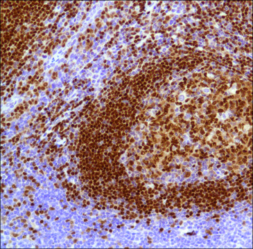
immunohistochemistry: 1:50

isotype

IgG

UniProt accession no.

shipped in

wet ice

storage temp.

2-8°C

target post-translational modification

unmodified

Gene Information

human ... PAX5(5079)

Related Categories

General description

PAX-5 is a B cell specificactivator protein (BSAP). In the early stages of B cell developmemt, PAX-5 influences the expression of several B-cell-specific genes, such as CD19 and CD20. PAX-5 is expressed primarily inpro-, pre-, and mature B cells, but not in plasma cells. Interestingly, PAX-5 mRNA is transiently detected in the mesencephalon and spinal cord during embryogenesis. Expression then shifts to the fetal liver and correlates with the onset of B lymphopoiesis. This indicates that PAX-5 is important in B cell development, but may also have a role in proper neuronal development.

Immunogen

Synthetic peptide derived from C-terminus of human PAX-5 protein.

Features and Benefits

Evaluate our antibodies with complete peace of mind. If the antibody does not perform in your application, we will issue a full credit or replacement antibody. Learn more.

Physical form

0.1 ml rabbit monoclonal antibody purified by protein A/G in PBS/1% BSA buffer pH 7.6 with less than 0.1% sodium azide.

Disclaimer

Unless otherwise stated in our catalog or other company documentation accompanying the product(s), our products are intended for research use only and are not to be used for any other purpose, which includes but is not limited to, unauthorized commercial uses, in vitro diagnostic uses, ex vivo or in vivo therapeutic uses or any type of consumption or application to humans or animals.

Not finding the right product?  

Try our Product Selector Tool.

Storage Class

10 - Combustible liquids

wgk_germany

WGK 2

flash_point_f

Not applicable

flash_point_c

Not applicable


Choose from one of the most recent versions:

Certificates of Analysis (COA)

Lot/Batch Number

Don't see the Right Version?

If you require a particular version, you can look up a specific certificate by the Lot or Batch number.

Already Own This Product?

Find documentation for the products that you have recently purchased in the Document Library.

Visit the Document Library

Xin Wang et al.
Oncology letters, 11(5), 3091-3096 (2016-04-29)
The current study presents a case of cluster of differentiation (CD)56+ myeloid sarcoma in a patient that initially presented with skin lesions, and provides evidence for the clinical and differential diagnosis of myeloid sarcoma. The patient of the present case

Our team of scientists has experience in all areas of research including Life Science, Material Science, Chemical Synthesis, Chromatography, Analytical and many others.

Contact Technical Service