Skip to Content
MilliporeSigma

SAB5500134

Sigma-Aldrich

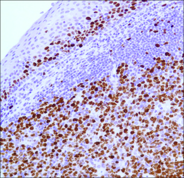
Anti-KI-67 antibody, Rabbit monoclonal

clone SP6, recombinant, expressed in proprietary host, tissue culture supernatant

Sign Into View Organizational & Contract Pricing

Select a Size


About This Item

UNSPSC Code:
12352203
NACRES:
NA.41
Technical Service
Need help? Our team of experienced scientists is here for you.
Let Us Assist
Technical Service
Need help? Our team of experienced scientists is here for you.
Let Us Assist

biological source

rabbit

Quality Level

recombinant

expressed in proprietary host

conjugate

unconjugated

antibody form

tissue culture supernatant

antibody product type

primary antibodies

clone

SP6, monoclonal

species reactivity

human (tested)

species reactivity (predicted by homology)

bovine

technique(s)

immunohistochemistry: 1:200

isotype

IgG

UniProt accession no.

shipped in

wet ice

storage temp.

2-8°C

target post-translational modification

unmodified

Gene Information

human ... MKI67(4288)

General description

Ki-67 is a nuclear protein, which is expressed in the proliferating cells. Ki-67 is preferentially expressed during late G1-, S-, M-, and G2-phases of the cell cycle, while cells in the G0 (quiescent) phase are negative for this protein.
The gene marker of proliferation Ki-67 (MKI67), spanning 15 exons, is mapped to human chromosome 10q26.2. The encoded protein contains phosphopeptide-binding forkhead-associated (FHA) domain and a protein phosphatase 1 (PP1)-binding site at N- terminal. It possesses 16 tandem repeats at central region and leucine and arginine (LR) pairs at C- terminal end.

Immunogen

Synthetic peptide from C-terminus of human Ki-67 protein.

Application

Anti-KI-67 antibody, Rabbit monoclonal has been used in immunohistochemistry.

Biochem/physiol Actions

Marker of proliferation Ki-67 (MKI67), which is a part of the mitotic chromosome periphery, functions as a biological surfactant to maintain individual mitotic chromosomes dispersed in the cytoplasm after nuclear envelope disassembly. Ki-67 is a vital prognostic marker in breast and prostate cancer. Expression of the encoded protein is associated with cell-proliferation rate. Ki-67 is expressed at all active phases of the cell cycle (G (1), S, G (2), and mitosis), except resting cells (G (0)). Therefore, this protein is considered to be a potent cell proliferation marker.

Features and Benefits

Evaluate our antibodies with complete peace of mind. If the antibody does not perform in your application, we will issue a full credit or replacement antibody. Learn more.

Physical form

0.1 ml rabbit monoclonal antibody supplied as tissue culture supernatant in TBS/1% BSA buffer pH 7.5 with less than 0.1% sodium azide.

Disclaimer

Unless otherwise stated in our catalog or other company documentation accompanying the product(s), our products are intended for research use only and are not to be used for any other purpose, which includes but is not limited to, unauthorized commercial uses, in vitro diagnostic uses, ex vivo or in vivo therapeutic uses or any type of consumption or application to humans or animals.

Not finding the right product?  

Try our Product Selector Tool.

Storage Class

10 - Combustible liquids

wgk_germany

WGK 2

flash_point_f

Not applicable

flash_point_c

Not applicable


Choose from one of the most recent versions:

Certificates of Analysis (COA)

Lot/Batch Number

Don't see the Right Version?

If you require a particular version, you can look up a specific certificate by the Lot or Batch number.

Already Own This Product?

Find documentation for the products that you have recently purchased in the Document Library.

Visit the Document Library

Madhavi Joshi et al.
Behavioural brain research, 372, 112029-112029 (2019-06-14)
Hypoglycemia induced brain injury poses a major setback to optimal blood glucose regulation during diabetes. It causes irreversible injury in several brain regions culminating in improper function. Neuregulin 1 and ErbB receptors are involved in regeneration during adulthood as well
Stromal SPOCK1 supports invasive pancreatic cancer growth.
Veenstra V L, et al.
Molecular Oncology, 11(8), 1050-1064 (2017)
Janneke F Linnekamp et al.
Cancers, 13(10) (2021-06-03)
DNA hypermethylation is common in colon cancer. Previously, we have shown that methylation of WNT target genes predicts poor prognosis in stage II colon cancer. The primary objective of this study was to assess whether pre-operative treatment with decitabine can
CD164 regulates proliferation and apoptosis by targeting PTEN in human glioma.
Tu M, et al.
Molecular Medicine Reports, 15(4), 1713-1721 (2017)
The familial dysautonomia disease gene IKBKAP is required in the developing and adult mouse central nervous system.
Chaverra M, et al.
Disease models & mechanisms, 10(5), 605-618 (2017)

Our team of scientists has experience in all areas of research including Life Science, Material Science, Chemical Synthesis, Chromatography, Analytical and many others.

Contact Technical Service