Skip to Content
MilliporeSigma

SAB5500116

Sigma-Aldrich

Anti-Haemoglobin Alpha Chain antibody, Rabbit monoclonal

recombinant, expressed in proprietary host, clone SP212, affinity isolated antibody

Sign Into View Organizational & Contract Pricing

Select a Size


About This Item

UNSPSC Code:
12352203
NACRES:
NA.41
Technical Service
Need help? Our team of experienced scientists is here for you.
Let Us Assist
Technical Service
Need help? Our team of experienced scientists is here for you.
Let Us Assist

biological source

rabbit

Quality Level

recombinant

expressed in proprietary host

conjugate

unconjugated

antibody form

affinity isolated antibody

antibody product type

primary antibodies

clone

SP212, monoclonal

species reactivity

human (tested)

technique(s)

flow cytometry: 1:100
immunoblotting: 1:400
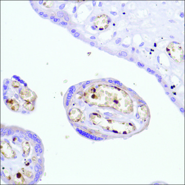
immunohistochemistry: 1:100

isotype

IgG

shipped in

wet ice

storage temp.

2-8°C

target post-translational modification

unmodified

Gene Information

Related Categories

General description

Hemoglobin A, A2, and F are the three major forms of hemoglobin in human. Hemoglobin is a heterotetramer of two alpha chains and two beta chains in adult hemoglobin A (HbA); two alpha chains and two delta chains in adult hemoglobin A2 (HbA2); two alpha chains and two gamma chains in fetal hemoglobin F (HbF). Antibody against hemoglobin alpha chain can recognize all three forms of hemoglobins (A, A2, and F). Hemoglobin can be used as an erythroid marker for the detection of immature, dysplastic, and megaloblastic erythroid cells in various hemopoietic disorders and hemoglobinopathies.

Immunogen

Synthetic peptide derived from human hemoglobin alpha chain protein.

Features and Benefits

Evaluate our antibodies with complete peace of mind. If the antibody does not perform in your application, we will issue a full credit or replacement antibody. Learn more.

Physical form

0.1 ml rabbit monoclonal antibody purified by protein A/G in PBS/1% BSA buffer pH 7.6 with less than 0.1% sodium azide.

Disclaimer

Unless otherwise stated in our catalog or other company documentation accompanying the product(s), our products are intended for research use only and are not to be used for any other purpose, which includes but is not limited to, unauthorized commercial uses, in vitro diagnostic uses, ex vivo or in vivo therapeutic uses or any type of consumption or application to humans or animals.

Not finding the right product?  

Try our Product Selector Tool.

Storage Class

12 - Non Combustible Liquids

wgk_germany

WGK 2

flash_point_f

Not applicable

flash_point_c

Not applicable


Choose from one of the most recent versions:

Certificates of Analysis (COA)

Lot/Batch Number

Don't see the Right Version?

If you require a particular version, you can look up a specific certificate by the Lot or Batch number.

Already Own This Product?

Find documentation for the products that you have recently purchased in the Document Library.

Visit the Document Library

Our team of scientists has experience in all areas of research including Life Science, Material Science, Chemical Synthesis, Chromatography, Analytical and many others.

Contact Technical Service