Skip to Content
MilliporeSigma

SAB4504557

Sigma-Aldrich

Anti-phospho-Tau (pSer396) antibody produced in rabbit

affinity isolated antibody

Sign Into View Organizational & Contract Pricing

Select a Size


About This Item

UNSPSC Code:
12352203
NACRES:
NA.41
Technical Service
Need help? Our team of experienced scientists is here for you.
Let Us Assist
Technical Service
Need help? Our team of experienced scientists is here for you.
Let Us Assist

biological source

rabbit

Quality Level

conjugate

unconjugated

antibody form

affinity isolated antibody

antibody product type

primary antibodies

clone

polyclonal

form

buffered aqueous solution

mol wt

antigen 78 kDa

species reactivity

rat, human, mouse

concentration

~1 mg/mL

technique(s)

ELISA: 1:20000
western blot: 1:500-1:1000

NCBI accession no.

UniProt accession no.

shipped in

wet ice

storage temp.

−20°C

target post-translational modification

phosphorylation (pSer396)

Gene Information

human ... MAPT(4137)

General description

MAPT (microtubule associated protein tau) is located on human chromosome 17q21.3. This gene is expressed in neurons but is most prominent in axons.

Immunogen

The antiserum was produced against synthesized peptide derived from human Tau around the phosphorylation site of Ser396.

Immunogen Range: 681-730

Application

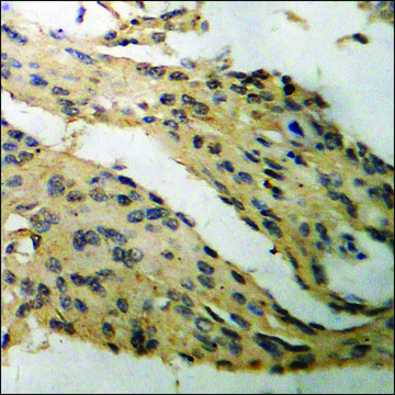
Anti-phospho-Tau (pSer396) antibody has been used in the immunohistochemistry.

Biochem/physiol Actions

MAPT (microtubule associated protein tau) participates in the pathology of Alzheimer′s disease (AD). It helps in the assembly and maintenance of microtubule structure. Removal of MAPT results in developmental delay and learning disability.

Features and Benefits

Evaluate our antibodies with complete peace of mind. If the antibody does not perform in your application, we will issue a full credit or replacement antibody. Learn more.

Physical form

Rabbit IgG in phosphate buffered saline (without Mg2+ and Ca2+), pH 7.4, 150mM NaCl, 0.02% sodium azide and 50% glycerol.

Disclaimer

Unless otherwise stated in our catalog or other company documentation accompanying the product(s), our products are intended for research use only and are not to be used for any other purpose, which includes but is not limited to, unauthorized commercial uses, in vitro diagnostic uses, ex vivo or in vivo therapeutic uses or any type of consumption or application to humans or animals.

Not finding the right product?  

Try our Product Selector Tool.

Storage Class

10 - Combustible liquids

wgk_germany

WGK 1

flash_point_f

Not applicable

flash_point_c

Not applicable


Choose from one of the most recent versions:

Certificates of Analysis (COA)

Lot/Batch Number

Don't see the Right Version?

If you require a particular version, you can look up a specific certificate by the Lot or Batch number.

Already Own This Product?

Find documentation for the products that you have recently purchased in the Document Library.

Visit the Document Library

Proteomic analysis of mitochondria-enriched fraction isolated from the frontal cortex and hippocampus of apolipoprotein E knockout mice treated with Alda-1, an activator of mitochondrial aldehyde dehydrogenase (ALDH2).
Stachowicz A, et al.
International Journal of Molecular Sciences, 18(2), 435-435 (2017)
Aneta Stachowicz et al.
International journal of molecular sciences, 18(2) (2017-02-22)
The role of different genotypes of apolipoprotein E (apoE) in the etiology of Alzheimer's disease is widely recognized. It has been shown that altered functioning of apoE may promote 4-hydroxynonenal modification of mitochondrial proteins, which may result in mitochondrial dysfunction
R Feio-Azevedo et al.
Archives of toxicology, 92(7), 2275-2295 (2018-06-06)
3,4-Methylenedioxymethamphetamine (MDMA or "ecstasy") is a widespread drug of abuse with known neurotoxic properties. The present study aimed to evaluate the differential toxic effects of MDMA in adolescent and aged Wistar rats, using doses pharmacologically comparable to humans. Adolescent (post-natal
Microdeletion encompassing MAPT at chromosome 17q21. 3 is associated with developmental delay and learning disability.
Shaw-Smith C, et al.
Nature Genetics, 38(9), 1032?1037-1032?1037 (2006)
The H1c haplotype at the MAPT locus is associated with Alzheimer's disease
Myers AJ, et al.
Human Molecular Genetics, 14(16), 2399-2404 (2005)

Our team of scientists has experience in all areas of research including Life Science, Material Science, Chemical Synthesis, Chromatography, Analytical and many others.

Contact Technical Service