Skip to Content
MilliporeSigma

SAB4504408

Sigma-Aldrich

Anti-phospho-FKHR (pSer319) antibody produced in rabbit

affinity isolated antibody

Sign Into View Organizational & Contract Pricing

Select a Size


About This Item

UNSPSC Code:
12352203
NACRES:
NA.41
Technical Service
Need help? Our team of experienced scientists is here for you.
Let Us Assist
Technical Service
Need help? Our team of experienced scientists is here for you.
Let Us Assist

biological source

rabbit

conjugate

unconjugated

antibody form

affinity isolated antibody

antibody product type

primary antibodies

clone

polyclonal

form

buffered aqueous solution

mol wt

antigen 69 kDa

species reactivity

rat, mouse, human

concentration

~1 mg/mL

technique(s)

ELISA: 1:10000
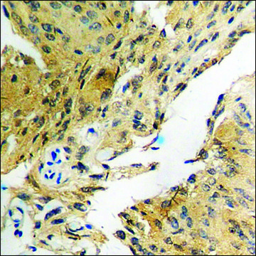
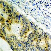
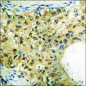
immunohistochemistry: 1:50-1:100
western blot: 1:500-1:1000

NCBI accession no.

UniProt accession no.

shipped in

wet ice

storage temp.

−20°C

target post-translational modification

phosphorylation (pSer319)

Gene Information

human ... FOXO1(2308)

Immunogen

The antiserum was produced against synthesized peptide derived from human FKHR around the phosphorylation site of Ser319.

Immunogen Range: 286-335

Features and Benefits

Evaluate our antibodies with complete peace of mind. If the antibody does not perform in your application, we will issue a full credit or replacement antibody. Learn more.

Physical form

Rabbit IgG in phosphate buffered saline (without Mg2+ and Ca2+), pH 7.4, 150mM NaCl, 0.02% sodium azide and 50% glycerol.

Not finding the right product?  

Try our Product Selector Tool.

Storage Class

10 - Combustible liquids

wgk_germany

WGK 1

flash_point_f

Not applicable

flash_point_c

Not applicable


Choose from one of the most recent versions:

Certificates of Analysis (COA)

Lot/Batch Number

Don't see the Right Version?

If you require a particular version, you can look up a specific certificate by the Lot or Batch number.

Already Own This Product?

Find documentation for the products that you have recently purchased in the Document Library.

Visit the Document Library

Águeda González-Rodríguez et al.
Disease models & mechanisms, 7(9), 1093-1100 (2014-07-06)
Oxidative stress contributes to the progression of acute liver failure (ALF). Transcription factor nuclear factor-erythroid 2-related factor (Nrf2) serves as an endogenous regulator by which cells combat oxidative stress. We have investigated liver damage and the balance between death and

Our team of scientists has experience in all areas of research including Life Science, Material Science, Chemical Synthesis, Chromatography, Analytical and many others.

Contact Technical Service