Skip to Content
MilliporeSigma

SAB4504399

Sigma-Aldrich

Anti-phospho-Estrogen Receptor-α (pSer118) antibody produced in rabbit

affinity isolated antibody

Sign Into View Organizational & Contract Pricing

Select a Size


About This Item

UNSPSC Code:
12352203
NACRES:
NA.41
Technical Service
Need help? Our team of experienced scientists is here for you.
Let Us Assist
Technical Service
Need help? Our team of experienced scientists is here for you.
Let Us Assist

biological source

rabbit

Quality Level

conjugate

unconjugated

antibody form

affinity isolated antibody

antibody product type

primary antibodies

clone

polyclonal

form

buffered aqueous solution

mol wt

antigen 66 kDa

species reactivity

human, rat, mouse

concentration

~1 mg/mL

technique(s)

ELISA: 1:20000
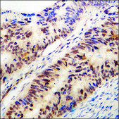
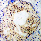
immunohistochemistry: 1:50-1:100
western blot: 1:500-1:1000

NCBI accession no.

UniProt accession no.

shipped in

wet ice

storage temp.

−20°C

target post-translational modification

phosphorylation (pSer118)

Gene Information

human ... ESR1(2099)

Immunogen

The antiserum was produced against synthesized peptide derived from human Estrogen Receptor-alpha around the phosphorylation site of Ser118.

Immunogen Range: 91-140

Features and Benefits

Evaluate our antibodies with complete peace of mind. If the antibody does not perform in your application, we will issue a full credit or replacement antibody. Learn more.

Physical form

Rabbit IgG in phosphate buffered saline (without Mg2+ and Ca2+), pH 7.4, 150mM NaCl, 0.02% sodium azide and 50% glycerol.

Disclaimer

Unless otherwise stated in our catalog or other company documentation accompanying the product(s), our products are intended for research use only and are not to be used for any other purpose, which includes but is not limited to, unauthorized commercial uses, in vitro diagnostic uses, ex vivo or in vivo therapeutic uses or any type of consumption or application to humans or animals.

Not finding the right product?  

Try our Product Selector Tool.

Storage Class

10 - Combustible liquids

wgk_germany

WGK 1

flash_point_f

Not applicable

flash_point_c

Not applicable


Choose from one of the most recent versions:

Certificates of Analysis (COA)

Lot/Batch Number

Don't see the Right Version?

If you require a particular version, you can look up a specific certificate by the Lot or Batch number.

Already Own This Product?

Find documentation for the products that you have recently purchased in the Document Library.

Visit the Document Library

Patrick S Dischinger et al.
NPJ breast cancer, 4, 29-29 (2018-09-06)
The key negative regulatory gene of the RAS pathway, NF1, is mutated or deleted in numerous cancer types and is associated with increased cancer risk and drug resistance. Even though women with neurofibromatosis (germline NF1 mutations) have a substantially increased

Our team of scientists has experience in all areas of research including Life Science, Material Science, Chemical Synthesis, Chromatography, Analytical and many others.

Contact Technical Service