Skip to Content
MilliporeSigma

SAB4504020

Sigma-Aldrich

Anti-phospho-ATP-Citrate Lyase (pSer454) antibody produced in rabbit

affinity isolated antibody

Sign Into View Organizational & Contract Pricing

Select a Size


About This Item

UNSPSC Code:
12352203
NACRES:
NA.41
Technical Service
Need help? Our team of experienced scientists is here for you.
Let Us Assist
Technical Service
Need help? Our team of experienced scientists is here for you.
Let Us Assist

biological source

rabbit

Quality Level

conjugate

unconjugated

antibody form

affinity isolated antibody

antibody product type

primary antibodies

clone

polyclonal

form

buffered aqueous solution

mol wt

antigen 120 kDa

species reactivity

mouse, rat, human

concentration

~1 mg/mL

technique(s)

ELISA: 1:1000
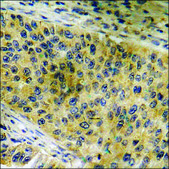
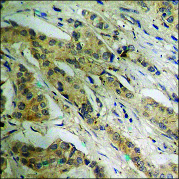
immunohistochemistry: 1:50-1:100
western blot: 1:500-1:1000

NCBI accession no.

UniProt accession no.

shipped in

wet ice

storage temp.

−20°C

target post-translational modification

phosphorylation (pSer454)

Gene Information

human ... ACLY(47)

General description

ATP citrate lyase (ACLY) is encoded by the gene mapped to human chromosome 17q21.2. It is localized in the cytoplasm and is widely expressed in mammalian tissues.. ACLY is a 440 KDa tetrameric protein containing four apparently identical subunits.

Immunogen

The antiserum was produced against synthesized peptide derived from human ATP-Citrate Lyase around the phosphorylation site of Ser454.

Immunogen Range: 420-469

Application

Anti-phospho-ATP-Citrate Lyase (pSer454) antibody produced in rabbit has been used in immunohistochemistry.

Biochem/physiol Actions

ACLY (ATP citrate lyase) is responsible for cleavage of mitochondria-derived citrate to generate oxaloacetic acid (OAA) and acetyl-CoA, which is required for lipid biogenesis. This enzyme couples energy metabolism with fatty acids and facilitates cell growth. In addition, ACLY is also essential for DNA-damage-induced histone acetylation. ACLY is upregulated in several types of cancers and is associated with cancer cell proliferation. Elevated expression of the gene leads to the development of breast cancer. Thus, ACLY -related inhibitors can be considered as a potential strategy for treating breast cancer.

Features and Benefits

Evaluate our antibodies with complete peace of mind. If the antibody does not perform in your application, we will issue a full credit or replacement antibody. Learn more.

Physical form

Rabbit IgG in phosphate buffered saline (without Mg2+ and Ca2+), pH 7.4, 150mM NaCl, 0.02% sodium azide and 50% glycerol.

Disclaimer

Unless otherwise stated in our catalog or other company documentation accompanying the product(s), our products are intended for research use only and are not to be used for any other purpose, which includes but is not limited to, unauthorized commercial uses, in vitro diagnostic uses, ex vivo or in vivo therapeutic uses or any type of consumption or application to humans or animals.

Not finding the right product?  

Try our Product Selector Tool.

Storage Class

10 - Combustible liquids

wgk_germany

WGK 1

flash_point_f

Not applicable

flash_point_c

Not applicable


Choose from one of the most recent versions:

Certificates of Analysis (COA)

Lot/Batch Number

Don't see the Right Version?

If you require a particular version, you can look up a specific certificate by the Lot or Batch number.

Already Own This Product?

Find documentation for the products that you have recently purchased in the Document Library.

Visit the Document Library

ATP Citrate Lyase (ACLY): A Promising Target for Cancer Prevention and Treatment
Khwairakpam D, et al.
Current Drug Targets, 16(2), 156-163 (2015)
ATP citrate lyase is increased in human breast cancer, depletion of which promotes apoptosis.
Wang D, et al.
Tumour Biology : the Journal of the International Society For Oncodevelopmental Biology and Medicine, 39(4), 1010428317698338-1010428317698338 (2017)
Rat ATP citrate-lyase. Molecular cloning and sequence analysis of a full-length cDNA and mRNA abundance as a function of diet, organ, and age
Elshourbagy N A, et al.
The Journal of Biological Chemistry, 265(3), 1430-1435 (1990)
Nuclear Acetyl-CoA Production by ACLY Promotes Homologous Recombination
Sivanand S, et al.
Molecular Cell, 67(2), 252-265 (2017)
Ruiting Lin et al.
Molecular cell, 51(4), 506-518 (2013-08-13)
Increased fatty acid synthesis is required to meet the demand for membrane expansion of rapidly growing cells. ATP-citrate lyase (ACLY) is upregulated or activated in several types of cancer, and inhibition of ACLY arrests proliferation of cancer cells. Here we

Our team of scientists has experience in all areas of research including Life Science, Material Science, Chemical Synthesis, Chromatography, Analytical and many others.

Contact Technical Service