Skip to Content
MilliporeSigma

SAB4503606

Sigma-Aldrich

Anti-CD9 antibody produced in rabbit

affinity isolated antibody

Synonym(s):

.MRP-1, CD9 antigen, Leukocyte antigen MIC3, Motility-related protein, p24

Sign Into View Organizational & Contract Pricing

Select a Size


About This Item

MDL number:
UNSPSC Code:
12352203
NACRES:
NA.41
Technical Service
Need help? Our team of experienced scientists is here for you.
Let Us Assist
Technical Service
Need help? Our team of experienced scientists is here for you.
Let Us Assist

biological source

rabbit

Quality Level

conjugate

unconjugated

antibody form

affinity isolated antibody

antibody product type

primary antibodies

clone

polyclonal

form

buffered aqueous solution

mol wt

antigen 25 kDa

species reactivity

mouse, rat, human

concentration

~1 mg/mL

technique(s)

ELISA: 1:20000
immunofluorescence: 1:100-1:500
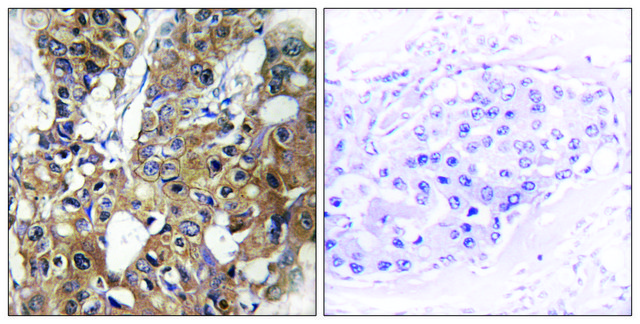
immunohistochemistry: 1:50-1:100
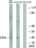
western blot: 1:500-1:1000

NCBI accession no.

UniProt accession no.

shipped in

wet ice

storage temp.

−20°C

target post-translational modification

unmodified

Gene Information

human ... CD9(928)

General description

Anti-CD9 Antibody detects endogenous levels of total CD9 protein.
CD9 (CD9 molecule) codes for a transmembrane protein,tetraspanin. It is a member of tetraspanin family. It is mapped to human chromosome 12p13.31.

Immunogen

The antiserum was produced against synthesized peptide derived from human CD9.

Immunogen Range: 101-150

Biochem/physiol Actions

Tetraspanin coded by CD9 (CD9 molecule) participates in tumor cell invasion, apoptosis and resistance to chemotherapy. It also participates in EGFR (epidermal growth factor receptor) and FGFR (fibroblast growth factor receptor) signaling pathways.

Features and Benefits

Evaluate our antibodies with complete peace of mind. If the antibody does not perform in your application, we will issue a full credit or replacement antibody. Learn more.

Physical form

Rabbit IgG in phosphate buffered saline (without Mg2+ and Ca2+), pH 7.4, 150mM NaCl, 0.02% sodium azide and 50% glycerol.

Disclaimer

Unless otherwise stated in our catalog or other company documentation accompanying the product(s), our products are intended for research use only and are not to be used for any other purpose, which includes but is not limited to, unauthorized commercial uses, in vitro diagnostic uses, ex vivo or in vivo therapeutic uses or any type of consumption or application to humans or animals.

Not finding the right product?  

Try our Product Selector Tool.

Storage Class

10 - Combustible liquids

wgk_germany

nwg

flash_point_f

Not applicable

flash_point_c

Not applicable


Choose from one of the most recent versions:

Certificates of Analysis (COA)

Lot/Batch Number

Don't see the Right Version?

If you require a particular version, you can look up a specific certificate by the Lot or Batch number.

Already Own This Product?

Find documentation for the products that you have recently purchased in the Document Library.

Visit the Document Library

Comparing cDNA and oligonucleotide array data: concordance of gene expression across platforms for the NCI-60 cancer cells
Lee JK, et al.
Genome Biology (2003)
Yuxuan Fu et al.
Journal of controlled release : official journal of the Controlled Release Society, 335, 584-595 (2021-06-06)
The worldwide spread of COVID-19 highlights the urgent need for an efficient approach to rapidly develop therapeutics and prophylactics against SARS-CoV-2. Extracellular vesicle(EVs) are recognized and endocytosed by tissue cells via specific interactions between surface membrane proteins, where after they
Transmembrane protein CD9 is glioblastoma biomarker, relevant for maintenance of glioblastoma stem cells
Podergajs N, et al.
Oncotarget, 7(1), 593-609 (2016)
P J Schuler et al.
Clinical and experimental immunology, 177(2), 531-543 (2014-04-23)
While murine CD4(+) CD39(+) regulatory T cells (T(reg)) co-express CD73 and hydrolyze exogenous (e) adenosine triphosphate (ATP) to immunosuppressive adenosine (ADO), surface co-expression of CD73 on human circulating CD4(+) CD39(+) T(reg) is rare. Therefore, the ability of human T(reg) to
Makiko Ono et al.
Science signaling, 7(332), ra63-ra63 (2014-07-06)
Breast cancer patients often develop metastatic disease years after resection of the primary tumor. The patients are asymptomatic because the disseminated cells appear to become dormant and are undetectable. Because the proliferation of these cells is slowed, dormant cells are

Our team of scientists has experience in all areas of research including Life Science, Material Science, Chemical Synthesis, Chromatography, Analytical and many others.

Contact Technical Service