Skip to Content
MilliporeSigma

SAB4503380

Sigma-Aldrich

Anti-USP32 antibody produced in rabbit

affinity isolated antibody

Synonym(s):

Deubiquitinating enzyme 32, Renal carcinoma antigen NY-REN-60, Ubiquitin carboxyl-terminal hydrolase 32, Ubiquitin thioesterase 32, Ubiquitin-specific-processing protease 32

Sign Into View Organizational & Contract Pricing

Select a Size


About This Item

UNSPSC Code:
12352203
NACRES:
NA.41
Technical Service
Need help? Our team of experienced scientists is here for you.
Let Us Assist
Technical Service
Need help? Our team of experienced scientists is here for you.
Let Us Assist

biological source

rabbit

conjugate

unconjugated

antibody form

affinity isolated antibody

antibody product type

primary antibodies

clone

polyclonal

form

buffered aqueous solution

mol wt

antigen 181 kDa

species reactivity

human, mouse

concentration

~1 mg/mL

technique(s)

ELISA: 1:40000
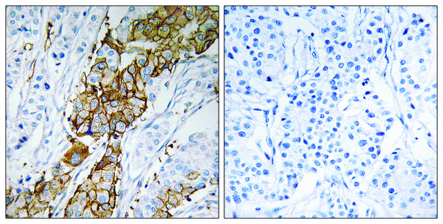
immunohistochemistry: 1:50-1:100

NCBI accession no.

UniProt accession no.

shipped in

wet ice

storage temp.

−20°C

target post-translational modification

unmodified

Gene Information

human ... USP32(84669)

General description

Anti-USP32 Antibody detects endogenous levels of total USP32 protein.

Immunogen

The antiserum was produced against synthesized peptide derived from human USP32.

Immunogen Range: 271-320

Features and Benefits

Evaluate our antibodies with complete peace of mind. If the antibody does not perform in your application, we will issue a full credit or replacement antibody. Learn more.

Physical form

Rabbit IgG in phosphate buffered saline (without Mg2+ and Ca2+), pH 7.4, 150mM NaCl, 0.02% sodium azide and 50% glycerol.

Not finding the right product?  

Try our Product Selector Tool.

Storage Class

10 - Combustible liquids

wgk_germany

nwg

flash_point_f

Not applicable

flash_point_c

Not applicable


Choose from one of the most recent versions:

Certificates of Analysis (COA)

Lot/Batch Number

Don't see the Right Version?

If you require a particular version, you can look up a specific certificate by the Lot or Batch number.

Already Own This Product?

Find documentation for the products that you have recently purchased in the Document Library.

Visit the Document Library

Our team of scientists has experience in all areas of research including Life Science, Material Science, Chemical Synthesis, Chromatography, Analytical and many others.

Contact Technical Service