Skip to Content
MilliporeSigma

SAB4502573

Anti-C-RAF antibody

rabbit polyclonal

Synonym(s):

C-RAF, C-Raf, CRAF, Protein kinase raf 1, kinase Raf1

Sign In to View Organizational & Contract Pricing.

Select a Size

Change View

About This Item

UNSPSC Code:
12352203
NACRES:
NA.41
Conjugate:
unconjugated
Clone:
polyclonal
Application:
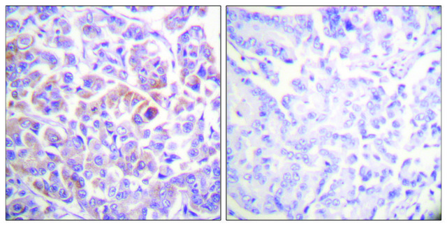
ELISA, IHC, WB
Citations:
7
Technical Service
Need help? Our team of experienced scientists is here for you.
Let Us Assist


Product Name

Anti-C-RAF antibody produced in rabbit, affinity isolated antibody

biological source

rabbit

Quality Level

conjugate

unconjugated

antibody form

affinity isolated antibody

antibody product type

primary antibodies

clone

polyclonal

form

buffered aqueous solution

mol wt

antigen 73 kDa

species reactivity

mouse, human, rat

concentration

~1 mg/mL

technique(s)

ELISA: 1:40000, immunohistochemistry: 1:50-1:100, western blot: 1:500-1:1000

NCBI accession no.

UniProt accession no.

shipped in

wet ice

storage temp.

−20°C

target post-translational modification

unmodified

Gene Information

human ... RAF1(5894)

General description

Anti-C-RAF Antibody detects endogenous levels of total C-RAF protein.
Raf-1 proto-oncogene, serine/threonine kinase (RAF1) or C-RAF is an anti-apoptotic protein. The gene encoding it is localized on human chromosome 3p25.2.

Immunogen

The antiserum was produced against synthesized peptide derived from human C-RAF.

Immunogen Range: 271-320

Biochem/physiol Actions

Raf-1 proto-oncogene, serine/threonine kinase (RAF1) or C-RAF is a crucial component of the Raf/mitogen-activated extracellular signal-regulated kinase (MEK)/extracellular regulated protein kinase (ERK) signaling cascade. It functions as an activator of MEK-1 and -2. The protein is upregulated in many cancers. Mutations in the gene encoding RAF1 have been linked to Noonan syndrome.

Features and Benefits

Evaluate our antibodies with complete peace of mind. If the antibody does not perform in your application, we will issue a full credit or replacement antibody. Learn more.

Physical form

Rabbit IgG in phosphate buffered saline (without Mg2+ and Ca2+), pH 7.4, 150mM NaCl, 0.02% sodium azide and 50% glycerol.


Still not finding the right product?

or

Try our Product Selector Tool to narrow your options


Storage Class

10 - Combustible liquids

wgk

nwg

flash_point_f

Not applicable

flash_point_c

Not applicable



Choose from one of the most recent versions:

Certificates of Analysis (COA)

Lot/Batch Number

It looks like we've run into a problem, but you can still download Certificates of Analysis from our Documents section.

If you need assistance, please contact Customer Support

Already Own This Product?

Find documentation for the products that you have recently purchased in the Document Library.

Visit the Document Library



Overexpression of Raf-1 and ERK1/2 in sacral chordoma and association with tumor recurrence.
International Journal of Clinical and Experimental Pathology (2015)
The lack of Raf-1 kinase feedback regulation enhances antiapoptosis in cancer cells.
Ma SQ
Oncogene (2017)
EZH2-mediated epigenetic repression of DNA repair in promoting breast tumor initiating cells
Breast Cancer Research (2011)



Global Trade Item Number

SKUGTIN
SAB4502573-100UG04061835717118