Skip to Content
MilliporeSigma

SAB4502360

Sigma-Aldrich

Anti-PKC δ antibody produced in rabbit

affinity isolated antibody

Synonym(s):

KPCD, PKC-δ, PRKCD, kinase PKC-δ, nPKC-δ

Sign Into View Organizational & Contract Pricing

Select a Size


About This Item

MDL number:
UNSPSC Code:
12352203
NACRES:
NA.41
Technical Service
Need help? Our team of experienced scientists is here for you.
Let Us Assist
Technical Service
Need help? Our team of experienced scientists is here for you.
Let Us Assist

biological source

rabbit

Quality Level

conjugate

unconjugated

antibody form

affinity isolated antibody

antibody product type

primary antibodies

clone

polyclonal

form

buffered aqueous solution

mol wt

antigen 77 kDa

species reactivity

human, mouse, rat

concentration

~1 mg/mL

technique(s)

ELISA: 1:1000
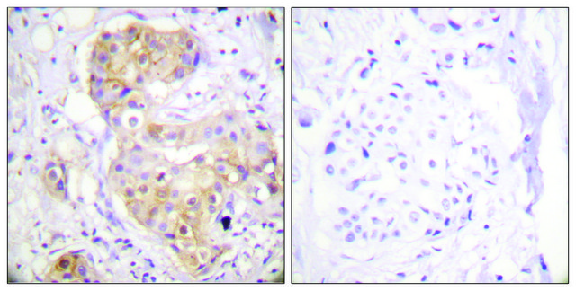
immunohistochemistry: 1:50-1:100
western blot: 1:500-1:1000

NCBI accession no.

UniProt accession no.

shipped in

wet ice

storage temp.

−20°C

target post-translational modification

unmodified

Gene Information

human ... PRKCD(5580)

General description

Anti-PKC δ antibody detects endogenous levels of total PKC δ protein.
The PKC δ (protein kinase C δ) gene is mapped to human chromosome 3p21.1. It is predominantly expressed in the heart.

Immunogen

The antiserum was produced against synthesized peptide derived from human PKC delta.

Immunogen Range: 471-520

Biochem/physiol Actions

The PKC (protein kinase C) protein is known to mediate different cellular processes such as transcription regulation, cell signaling, cell proliferation, immune responses and apoptosis. PKC is also associated with learning ability. Abnormal cell signaling induced by PKC is often observed in cancer. PKC δ (protein kinase C δ) regulates neutrophil migration during sepsis. PKC δ has anticancer effect by reducing the cell proliferation rate and also stimulating apoptosis by arresting cell cycle. PKC δ induces neuron proliferation and survival, thereby it is associated with memory.

Features and Benefits

Evaluate our antibodies with complete peace of mind. If the antibody does not perform in your application, we will issue a full credit or replacement antibody. Learn more.

Physical form

Rabbit IgG in phosphate buffered saline (without Mg2+ and Ca2+), pH 7.4, 150mM NaCl, 0.02% sodium azide and 50% glycerol.

Disclaimer

Unless otherwise stated in our catalog or other company documentation accompanying the product(s), our products are intended for research use only and are not to be used for any other purpose, which includes but is not limited to, unauthorized commercial uses, in vitro diagnostic uses, ex vivo or in vivo therapeutic uses or any type of consumption or application to humans or animals.

Not finding the right product?  

Try our Product Selector Tool.

Storage Class

10 - Combustible liquids

wgk_germany

nwg

flash_point_f

Not applicable

flash_point_c

Not applicable


Choose from one of the most recent versions:

Certificates of Analysis (COA)

Lot/Batch Number

Don't see the Right Version?

If you require a particular version, you can look up a specific certificate by the Lot or Batch number.

Already Own This Product?

Find documentation for the products that you have recently purchased in the Document Library.

Visit the Document Library

A novel microfluidic assay reveals a key role for protein kinase C ? in regulating human neutrophil-endothelium interaction.
Soroush F
Journal of Leukocyte Biology, 100(5), 1027-1035 (2016)
LAMTOR1-PRKCD and NUMA1-SFMBT1 fusion genes identified by RNA sequencing in aneurysmal benign fibrous histiocytoma with t(3;11)(p21;q13).
Panagopoulos I
Cancer Genetics, 208(11), 545-551 (2015)
MALAT1 in Human Adipose Stem Cells Modulates Survival and Alternative Splicing of PKC?II in HT22 Cells.
El Bassit G
Endocrinology, 158(1), 183-195 (2017)
Polyphenol compounds and PKC signaling.
Das J
Biochimica et Biophysica Acta, 1860(10), 2107-2121 (2016)
Human thrombopoiesis depends on Protein kinase C?/protein kinase C? functional couple.
Carubbi C
Haematologica, 101(7):, 812-820 (2016)

Our team of scientists has experience in all areas of research including Life Science, Material Science, Chemical Synthesis, Chromatography, Analytical and many others.

Contact Technical Service