Skip to Content
MilliporeSigma

SAB4501406

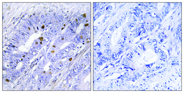
Anti-Nuclear Receptor NR4A1 antibody produced in rabbit

affinity isolated antibody

Synonym(s):

Early response protein NAK1, Nuclear receptor subfamily 4 group A member 1, Orphan nuclear receptor HMR, ST-59, TR3 orphan receptor

Sign In to View Organizational & Contract Pricing.

Select a Size

Change View

About This Item

NACRES:
NA.41
UNSPSC Code:
12352203
Conjugate:
unconjugated
Clone:
polyclonal
Application:
ELISA, IHC, WB
Citations:
1
Technical Service
Need help? Our team of experienced scientists is here for you.
Let Us Assist


biological source

rabbit

Quality Level

conjugate

unconjugated

antibody form

affinity isolated antibody

antibody product type

primary antibodies

clone

polyclonal

form

buffered aqueous solution

mol wt

antigen 64 kDa

species reactivity

rat, human, mouse

concentration

~1 mg/mL

technique(s)

ELISA: 1:10000, immunohistochemistry: 1:50-1:100, western blot: 1:500-1:1000

NCBI accession no.

UniProt accession no.

shipped in

wet ice

storage temp.

−20°C

target post-translational modification

unmodified

Gene Information

human ... NR4A1(3164)

General description

Nuclear receptor subfamily 4 group A member1 (NR4A1) is an orphan receptor that belongs to the nuclear hormone receptor superfamily. The NR4A1 gene is mapped to human chromosome 12q13.13. Structurally, NR4A1 comprises an N-terminal AB region, DNA binding domain (DBD), and a C-terminal ligand-binding domain (LBD). Anti-Nuclear Receptor NR4A1 antibody detects endogenous levels of total Nuclear Receptor NR4A1 protein.

Immunogen

The antiserum was produced against synthesized peptide derived from human Nuclear Receptor NR4A1.

Immunogen Range: 317-366

Biochem/physiol Actions

Nuclear receptor subfamily 4 group A member1 (NR4A1) participates in gene expression regulation in the hypothalamic-pituitary-adrenal axis (HPA) especially those related to inflammation and steroidogenesis. The levels of NR4A1 are downregulated in metastatic melanoma, myelogenous leukemia, and follicular thyroid carcinoma. An elevated expression of NR4A1 is observed in type 1 diabetes mellitus (T1DM) and type 2 diabetes mellitus (T2DM) in mouse models. Dysfunction of NR4A1 is correlated to energy balance and also the events of metabolic pathways including carbohydrates and lipids. NR4A1 contributes to arterial vessel cell wall damage. It regulates tumor cell proliferation, migration, and invasion. NR4A1 may serve as a biomarker for depression and other psychiatric disorders.

Features and Benefits

Evaluate our antibodies with complete peace of mind. If the antibody does not perform in your application, we will issue a full credit or replacement antibody. Learn more.

Physical form

Rabbit IgG in phosphate buffered saline (without Mg2+ and Ca2+), pH 7.4, 150mM NaCl, 0.02% sodium azide and 50% glycerol.

Disclaimer

Unless otherwise stated in our catalog or other company documentation accompanying the product(s), our products are intended for research use only and are not to be used for any other purpose, which includes but is not limited to, unauthorized commercial uses, in vitro diagnostic uses, ex vivo or in vivo therapeutic uses or any type of consumption or application to humans or animals.


Still not finding the right product?

Try our Product Selector Tool to narrow your options


Storage Class

10 - Combustible liquids

wgk

nwg

flash_point_f

Not applicable

flash_point_c

Not applicable



Choose from one of the most recent versions:

Certificates of Analysis (COA)

Lot/Batch Number

It looks like we've run into a problem, but you can still download Certificates of Analysis from our Documents section.

If you need assistance, please contact Customer Support

Already Own This Product?

Find documentation for the products that you have recently purchased in the Document Library.

Visit the Document Library



K D Senali Abayratna Wansa et al.
The Journal of biological chemistry, 277(36), 33001-33011 (2002-06-26)
Nur77/NR4A1 is an "orphan member" of the nuclear hormone receptor superfamily. Nur77 and its close relatives Nurr1 and NOR-1 bind as monomers to a consensus binding site, the nerve growth factor induced protein I-B (NGFI-B)-binding response element (NBRE). The Nur77/NURR1/NOR1



Global Trade Item Number

SKUGTIN
SAB4501406-100UG04061837186516