Skip to Content
MilliporeSigma

SAB4500965

Anti-VEGFR2 antibody produced in rabbit

affinity isolated antibody

Synonym(s):

FLK1, KDR, kinase insert domain receptor, protein-tyrosine kinase receptor Flk-1, vascular endothelial growth factor receptor 2

Sign In to View Organizational & Contract Pricing.

Select a Size

Change View

About This Item

NACRES:
NA.41
UNSPSC Code:
12352203
Conjugate:
unconjugated
Clone:
polyclonal
Application:
ELISA, IF, IHC
Citations:
2
Technical Service
Need help? Our team of experienced scientists is here for you.
Let Us Assist


biological source

rabbit

Quality Level

conjugate

unconjugated

antibody form

affinity isolated antibody

antibody product type

primary antibodies

clone

polyclonal

form

buffered aqueous solution

mol wt

antigen 151 kDa

species reactivity

mouse, human, rat

concentration

~1 mg/mL

technique(s)

ELISA: 1:40000, immunofluorescence: 1:100-1:500, immunohistochemistry: 1:50-1:100

NCBI accession no.

UniProt accession no.

shipped in

wet ice

storage temp.

−20°C

target post-translational modification

unmodified

Gene Information

human ... KDR(3791)

General description

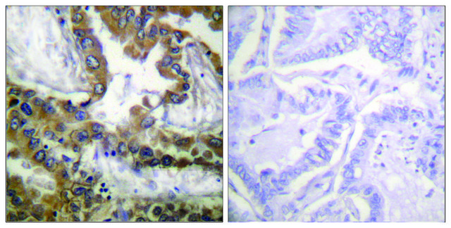
Anti-VEGFR2 Antibody detects endogenous levels of total VEGFR2 protein.

Immunogen

The antiserum was produced against synthesized peptide derived from human VEGFR2.

Immunogen Range: 1020-1069

Features and Benefits

Evaluate our antibodies with complete peace of mind. If the antibody does not perform in your application, we will issue a full credit or replacement antibody. Learn more.

Physical form

Rabbit IgG in phosphate buffered saline (without Mg2+ and Ca2+), pH 7.4, 150mM NaCl, 0.02% sodium azide and 50% glycerol.

Disclaimer

Unless otherwise stated in our catalog or other company documentation accompanying the product(s), our products are intended for research use only and are not to be used for any other purpose, which includes but is not limited to, unauthorized commercial uses, in vitro diagnostic uses, ex vivo or in vivo therapeutic uses or any type of consumption or application to humans or animals.


Still not finding the right product?

or

Try our Product Selector Tool to narrow your options


Storage Class

10 - Combustible liquids

wgk

nwg

flash_point_f

Not applicable

flash_point_c

Not applicable



Choose from one of the most recent versions:

Certificates of Analysis (COA)

Lot/Batch Number

It looks like we've run into a problem, but you can still download Certificates of Analysis from our Documents section.

If you need assistance, please contact Customer Support

Already Own This Product?

Find documentation for the products that you have recently purchased in the Document Library.

Visit the Document Library



Heba W Z Khella et al.
Molecular therapy : the journal of the American Society of Gene Therapy, 23(11), 1748-1758 (2015-07-24)
Sunitinib is a multitargeting tyrosine kinase inhibitor used for metastatic renal cancer. There are no biomarkers that can predict sunitinib response. Such markers are needed to avoid administration of costly medication with side effects to patients who would not benefit
Shota Yamana et al.
PloS one, 10(4), e0124259-e0124259 (2015-04-22)
Contact inhibition of cell movement and proliferation is critical for proper organogenesis and tissue remodeling. We show here a novel regulatory mechanism for this contact inhibition using cultured vascular endothelial cells. When the cells were confluently cultured, Necl-4 was up-regulated



Global Trade Item Number

SKUGTIN
SAB4500965-100UG04061837184772