Skip to Content
MilliporeSigma

SAB4301289

Sigma-Aldrich

Anti-phospho-BLK (pTyr501) antibody produced in rabbit

affinity isolated antibody

Synonym(s):

B lymphocyte kinase, EC 2.7.10.2, Tyrosine-protein kinase BLK, kinase Blk, p55-BLK

Sign Into View Organizational & Contract Pricing

Select a Size


About This Item

UNSPSC Code:
12352203
NACRES:
NA.41
Technical Service
Need help? Our team of experienced scientists is here for you.
Let Us Assist
Technical Service
Need help? Our team of experienced scientists is here for you.
Let Us Assist

biological source

rabbit

Quality Level

antibody form

affinity isolated antibody

antibody product type

primary antibodies

clone

polyclonal

form

buffered aqueous solution

mol wt

57 kDa

species reactivity

human

concentration

1.0 mg/mL

technique(s)

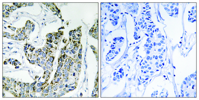
immunohistochemistry: 1:50-1:100

isotype

IgG

accession no.

NP_001706.2.

UniProt accession no.

shipped in

wet ice

storage temp.

−20°C

target post-translational modification

phosphorylation (pTyr501)

Gene Information

human ... BLK(640)

General description

B lymphoid tyrosine kinase (BLK) protein belongs to the Src kinase family. It has an Src homology 3 (SH3) and an Src homology 2 (SH2) domain N-terminal to the catalytic kinase domain. The BLK gene is located on human chromosome 8p23.1.

Immunogen

Peptide sequence around phosphorylation site of tyrosine 501 (R-Q-Y(p)-E-L) derived from Human BLK.

Biochem/physiol Actions

B lymphoid tyrosine kinase (BLK) protein has oncogenic properties. It helps B-cell receptors transmit signals and may be important for B-cell repertoire development and mature B-cell activity. BLK participates in B-cell antigen receptor signaling. The BLK gene polymorphisms are linked to renal dysfunction in people with systemic lupus erythematosus.
The antibody detects endogenous levels of BLK only when phosphorylated at tyrosine 501.

Features and Benefits

Evaluate our antibodies with complete peace of mind. If the antibody does not perform in your application, we will issue a full credit or replacement antibody. Learn more.

Physical form

Rabbit IgG in phosphate buffered saline (without Mg2+ and Ca2+), pH 7.4, 150mM NaCl, 0.02% sodium azide and 50% glycerol.

Disclaimer

Unless otherwise stated in our catalog or other company documentation accompanying the product(s), our products are intended for research use only and are not to be used for any other purpose, which includes but is not limited to, unauthorized commercial uses, in vitro diagnostic uses, ex vivo or in vivo therapeutic uses or any type of consumption or application to humans or animals.

Not finding the right product?  

Try our Product Selector Tool.

Storage Class

10 - Combustible liquids

wgk_germany

WGK 1

flash_point_f

Not applicable

flash_point_c

Not applicable


Choose from one of the most recent versions:

Certificates of Analysis (COA)

Lot/Batch Number

Don't see the Right Version?

If you require a particular version, you can look up a specific certificate by the Lot or Batch number.

Already Own This Product?

Find documentation for the products that you have recently purchased in the Document Library.

Visit the Document Library

Dongsheng Di et al.
Journal of human genetics, 65(8), 675-681 (2020-04-22)
Previous studies are inconclusive on the relationships between BLK gene polymorphisms and clinical features of systemic lupus erythematosus (SLE). The present study aimed to estimate association between BLK loci and SLE clinical features in Chinese population. Associations between BLK single-nucleotide

Our team of scientists has experience in all areas of research including Life Science, Material Science, Chemical Synthesis, Chromatography, Analytical and many others.

Contact Technical Service