Skip to Content
MilliporeSigma

SAB4301212

Sigma-Aldrich

Anti-CYP7A1 antibody produced in rabbit

affinity isolated antibody

Synonym(s):

CP7A, CYP7, CYPVII

Sign Into View Organizational & Contract Pricing

Select a Size


About This Item

UNSPSC Code:
12352203
NACRES:
NA.41
Technical Service
Need help? Our team of experienced scientists is here for you.
Let Us Assist
Technical Service
Need help? Our team of experienced scientists is here for you.
Let Us Assist

biological source

rabbit

Quality Level

conjugate

unconjugated

antibody form

affinity isolated antibody

antibody product type

primary antibodies

clone

polyclonal

form

buffered aqueous solution

species reactivity

human

concentration

1.4 mg/mL

technique(s)

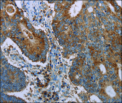
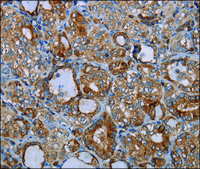
immunohistochemistry: 1:25- 1:100

isotype

IgG

accession no.

NP_000771.2

UniProt accession no.

shipped in

wet ice

storage temp.

−20°C

target post-translational modification

unmodified

Gene Information

human ... CYP7A1(1581)

Immunogen

Synthetic peptide corresponding to a region derived from internal residues of human cytochrome P450, family 7, subfamily A, polypeptide 1

Biochem/physiol Actions

The antibody detects endogenous levels of total CYP7A1 protein.

Features and Benefits

Evaluate our antibodies with complete peace of mind. If the antibody does not perform in your application, we will issue a full credit or replacement antibody. Learn more.

Physical form

Rabbit IgG in pH7.3 PBS, 0.05% NaN3, 50% Glycerol.

Disclaimer

Unless otherwise stated in our catalog or other company documentation accompanying the product(s), our products are intended for research use only and are not to be used for any other purpose, which includes but is not limited to, unauthorized commercial uses, in vitro diagnostic uses, ex vivo or in vivo therapeutic uses or any type of consumption or application to humans or animals.

Not finding the right product?  

Try our Product Selector Tool.

Storage Class

10 - Combustible liquids

wgk_germany

WGK 1

flash_point_f

Not applicable

flash_point_c

Not applicable


Choose from one of the most recent versions:

Certificates of Analysis (COA)

Lot/Batch Number

Don't see the Right Version?

If you require a particular version, you can look up a specific certificate by the Lot or Batch number.

Already Own This Product?

Find documentation for the products that you have recently purchased in the Document Library.

Visit the Document Library

Xiuting Zheng et al.
International journal of molecular medicine, 46(6), 2271-2279 (2020-10-31)
SP600125 is a classic inhibitor of c‑Jun‑N‑terminal kinase (JNK) that is widely used in numerous medicinal studies, but its administration regimen has yet to be optimized. In the present study, intraperitoneal (i.p.) and intragastric (i.g.) injections of 15 mg/kg SP600125 was
Ye Sun et al.
Frontiers in veterinary science, 7, 560241-560241 (2020-11-17)
Intestinal probiotics are a primary focus area of current medical research. Probiotics such as bifidobacteria and lactobacilli can positively impact obesity and other metabolic diseases by directly or indirectly affecting lipid metabolism. However, the precise mechanisms of these effects remain
Linlin Liu et al.
Frontiers in pharmacology, 11, 12-12 (2020-03-03)
Antibiotics-induced changes in intestinal flora (dysbiosis) may have various effects on the host. Dysbiosis is associated with numerous metabolites including bile acids, which are produced in the liver from cholesterol and metabolized in the gut by intestinal microbiota. Total phenolic
Hongshan Li et al.
Nutrition & metabolism, 17, 34-34 (2020-05-08)
Gypenosides (Gyp) are the main ingredient of the Chinese medicine, Gynostemma pentaphyllum. They are widely used in Asia as a hepatoprotective agent. Here, we elucidated the mechanism of Gyp in non-alcoholic steatohepatitis (NASH) with a focus on farnesoid X receptor
Shuang Zhang et al.
British journal of pharmacology, 177(5), 1041-1060 (2019-10-29)
Intrahepatic cholestasis is mainly caused by dysfunction of bile secretion and has limited effective treatment. Rosiglitazone is a synthetic agonist of PPARγ, whose endogenous agonist is 15-deoxy-Δ12,14 -PGJ2 (15d-PGJ2 ). Reticulon 4B (Nogo-B) is the detectable Nogo protein family member

Our team of scientists has experience in all areas of research including Life Science, Material Science, Chemical Synthesis, Chromatography, Analytical and many others.

Contact Technical Service