Skip to Content
MilliporeSigma

SAB4300326

Sigma-Aldrich

Anti-STAT1 (Ab-701) antibody produced in rabbit

affinity isolated antibody

Synonym(s):

Anti-DKFZp686B04100 antibody produced in rabbit, Anti-ISGF-3 antibody produced in rabbit, Anti-STAT91 antibody produced in rabbit, Anti-signal transducer and activator of transcription 1, 91kDa antibody produced in rabbit

Sign Into View Organizational & Contract Pricing

Select a Size


About This Item

MDL number:
UNSPSC Code:
12352203
NACRES:
NA.41
Technical Service
Need help? Our team of experienced scientists is here for you.
Let Us Assist
Technical Service
Need help? Our team of experienced scientists is here for you.
Let Us Assist

biological source

rabbit

Quality Level

conjugate

unconjugated

antibody form

affinity isolated antibody

antibody product type

primary antibodies

clone

polyclonal

form

buffered aqueous solution

mol wt

~91 kDa

species reactivity

human

concentration

1 mg/mL

technique(s)

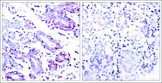
immunohistochemistry (formalin-fixed, paraffin-embedded sections): 1:50-1:100
western blot: 1:500-1:1000

isotype

IgG

immunogen sequence

(T-G-Y-I-K)

NCBI accession no.

UniProt accession no.

shipped in

wet ice

storage temp.

−20°C

target post-translational modification

unmodified

Gene Information

human ... STAT1(6772)

General description

Signal transducer and activator of transcription that mediates signaling by interferons (IFNs). Following type I IFN (IFN-alpha and IFN-beta) binding to cell surface receptors, Jak kinases (TYK2 and JAK1) are activated, leading to tyrosine phosphorylation of STAT1 and STAT2. The phosphorylated STATs dimerize, associate with ISGF3G/IRF-9 to form a complex termed ISGF3 transcription factor, that enters the nucleus. ISGF3 binds to the IFN stimulated response element (ISRE) to activate the transcription of interferon stimulated genes, which drive the cell in an antiviral state. In response to type II IFN (IFN-gamma), STAT1 is tyrosine- and serine-phosphorylated. It then forms a homodimer termed IFN-gamma-activated factor (GAF), migrates into the nucleus and binds to the IFN gamma activated sequence (GAS) to drive the expression of the target genes, inducing a cellular antiviral state.

Immunogen

Peptide sequence around aa. 699-703 (T-G-Y-I-K), according to the protein STAT1.

Features and Benefits

Evaluate our antibodies with complete peace of mind. If the antibody does not perform in your application, we will issue a full credit or replacement antibody. Learn more.

Physical form

Solution in phosphate-buffered saline containing 0.02% sodium azide and 50% glycerol

Not finding the right product?  

Try our Product Selector Tool.

Storage Class

10 - Combustible liquids

wgk_germany

WGK 1

flash_point_f

Not applicable

flash_point_c

Not applicable


Choose from one of the most recent versions:

Certificates of Analysis (COA)

Lot/Batch Number

Don't see the Right Version?

If you require a particular version, you can look up a specific certificate by the Lot or Batch number.

Already Own This Product?

Find documentation for the products that you have recently purchased in the Document Library.

Visit the Document Library

Marcin Buler et al.
FASEB bioAdvances, 2(8), 453-463 (2020-08-22)
PGC1α-Related Coactivator (PRC) is a transcriptional coactivator promoting cytokine expression in vitro in response to mitochondrial injury and oxidative stress, however, its physiological role has remained elusive. Herein we investigate aspects of the immune response function of PRC, first in
Ling Lu et al.
Proceedings of the National Academy of Sciences of the United States of America, 111(33), E3432-E3440 (2014-08-08)
Recent studies have demonstrated that thymus-derived naturally occurring CD4(+)Foxp3(+) regulatory T cells (Tregs) in human and mouse may be unstable and dysfunctional in the presence of proinflammatory cytokines. All-trans RA (atRA), the active derivative of vitamin A, has been shown
King-Hwa Ling et al.
BMC genomics, 15, 624-624 (2014-07-24)
The Ts1Cje mouse model of Down syndrome (DS) has partial triplication of mouse chromosome 16 (MMU16), which is partially homologous to human chromosome 21. These mice develop various neuropathological features identified in DS individuals. We analysed the effect of partial
Adrian Duek et al.
Blood, 123(25), 3943-3950 (2014-05-14)
The interferon-γ (IFNγ)/signal transducer and activator of transcription 1 (Stat1) pathway shows higher activity in patients with essential thrombocythemia (ET) than in polycythemia vera (PV) and was proposed to be promoting the ET phenotype. We explored the phenotypic consequences of
Robert B Lochhead et al.
PLoS pathogens, 10(6), e1004212-e1004212 (2014-06-27)
MicroRNAs have been shown to be important regulators of inflammatory and immune responses and are implicated in several immune disorders including systemic lupus erythematosus and rheumatoid arthritis, but their role in Lyme borreliosis remains unknown. We performed a microarray screen

Our team of scientists has experience in all areas of research including Life Science, Material Science, Chemical Synthesis, Chromatography, Analytical and many others.

Contact Technical Service