Skip to Content
MilliporeSigma

SAB4300292

Sigma-Aldrich

Anti-GSK3A (Ab-21) antibody produced in rabbit

affinity isolated antibody

Synonym(s):

Anti-DKFZp686D0638 antibody produced in rabbit, Anti-glycogen synthase kinase 3 alpha antibody produced in rabbit

Sign Into View Organizational & Contract Pricing

Select a Size


About This Item

UNSPSC Code:
12352203
NACRES:
NA.41
Technical Service
Need help? Our team of experienced scientists is here for you.
Let Us Assist
Technical Service
Need help? Our team of experienced scientists is here for you.
Let Us Assist

biological source

rabbit

Quality Level

conjugate

unconjugated

antibody form

affinity isolated antibody

antibody product type

primary antibodies

clone

polyclonal

form

buffered aqueous solution

mol wt

~51 kDa

species reactivity

human, mouse, rat

concentration

1 mg/mL

technique(s)

immunohistochemistry (formalin-fixed, paraffin-embedded sections): 1:50-1:100
indirect immunofluorescence: 1:100-1:200
western blot: 1:500-1:1000

isotype

IgG

immunogen sequence

(T-S-S-F-A)

NCBI accession no.

UniProt accession no.

shipped in

wet ice

storage temp.

−20°C

target post-translational modification

unmodified

Gene Information

human ... GSK3A(2931)

General description

Implicated in the hormonal control of several regulatory proteins including glycogen synthase, MYB and the transcription factor JUN.

Immunogen

Peptide sequence around aa. 19-23 (T-S-S-F-A), according to the protein GSK3A.

Features and Benefits

Evaluate our antibodies with complete peace of mind. If the antibody does not perform in your application, we will issue a full credit or replacement antibody. Learn more.

Physical form

Solution in phosphate-buffered saline containing 0.02% sodium azide and 50% glycerol

Disclaimer

Unless otherwise stated in our catalog or other company documentation accompanying the product(s), our products are intended for research use only and are not to be used for any other purpose, which includes but is not limited to, unauthorized commercial uses, in vitro diagnostic uses, ex vivo or in vivo therapeutic uses or any type of consumption or application to humans or animals.

Not finding the right product?  

Try our Product Selector Tool.

Storage Class

10 - Combustible liquids

wgk_germany

WGK 1

flash_point_f

Not applicable

flash_point_c

Not applicable


Choose from one of the most recent versions:

Certificates of Analysis (COA)

Lot/Batch Number

Don't see the Right Version?

If you require a particular version, you can look up a specific certificate by the Lot or Batch number.

Already Own This Product?

Find documentation for the products that you have recently purchased in the Document Library.

Visit the Document Library

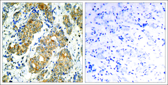
Rahul Bhattacharjee et al.
Biology of reproduction, 92(3), 65-65 (2015-01-09)
The signaling enzyme glycogen synthase kinase 3 (GSK3) exists as two isoforms-GSK3A and GSK3B. Protein phosphorylation by GSK3 has important signaling roles in several cells. In our past work, we found that both isoforms of GSK3 are present in mouse

Our team of scientists has experience in all areas of research including Life Science, Material Science, Chemical Synthesis, Chromatography, Analytical and many others.

Contact Technical Service