Skip to Content
MilliporeSigma

SAB4300201

Sigma-Aldrich

Anti-phospho-MAPK14 (pTyr182) antibody produced in rabbit

affinity isolated antibody

Synonym(s):

Anti-CSBP1 antibody produced in rabbit, Anti-CSBP2 antibody produced in rabbit, Anti-CSPB1 antibody produced in rabbit, Anti-EXIP antibody produced in rabbit, Anti-mitogen-activated protein kinase 14 antibody produced in rabbit

Sign Into View Organizational & Contract Pricing

Select a Size


About This Item

UNSPSC Code:
12352203
NACRES:
NA.41
Technical Service
Need help? Our team of experienced scientists is here for you.
Let Us Assist
Technical Service
Need help? Our team of experienced scientists is here for you.
Let Us Assist

biological source

rabbit

Quality Level

conjugate

unconjugated

antibody form

affinity isolated antibody

antibody product type

primary antibodies

clone

polyclonal

form

buffered aqueous solution

mol wt

~43 kDa

species reactivity

mouse, rat, human

concentration

1 mg/mL

technique(s)

immunohistochemistry (formalin-fixed, paraffin-embedded sections): 1:50-1:100
western blot: 1:500-1:1000

isotype

IgG

immunogen sequence

(T-G-YP-V-A)

NCBI accession no.

UniProt accession no.

shipped in

wet ice

storage temp.

−20°C

target post-translational modification

phosphorylation (pTyr182)

Gene Information

human ... MAPK14(1432)

General description

Responds to activation by environmental stress, pro-inflammatory cytokines and lipopolysaccharide (LPS) by phosphorylating a number of transcription factors, such as ELK1 and ATF2 and several downstream kinases, such as MAPKAPK2 and MAPKAPK5. Plays a critical role in the production of some cytokines, for example IL-6. May play a role in stabilization of EPO mRNA during hypoxic stress. Isoform Mxi2 activation is stimulated by mitogens and oxidative stress and only poorly phosphorylates ELK1 and ATF2. Isoform Exip may play a role in the early onset of apoptosis.

Immunogen

Peptide sequence around phosphorylation site of tyrosine 182 (T-G-Y(p)-V-A), according to the protein MAPK14.

Features and Benefits

Evaluate our antibodies with complete peace of mind. If the antibody does not perform in your application, we will issue a full credit or replacement antibody. Learn more.

Physical form

Solution in phosphate-buffered saline containing 0.02% sodium azide and 50% glycerol

Not finding the right product?  

Try our Product Selector Tool.

Storage Class

10 - Combustible liquids

wgk_germany

WGK 1

flash_point_f

Not applicable

flash_point_c

Not applicable


Choose from one of the most recent versions:

Certificates of Analysis (COA)

Lot/Batch Number

Don't see the Right Version?

If you require a particular version, you can look up a specific certificate by the Lot or Batch number.

Already Own This Product?

Find documentation for the products that you have recently purchased in the Document Library.

Visit the Document Library

Yuxiu Liu et al.
Life sciences, 233, 116703-116703 (2019-07-30)
The initiation of pressure ulcers is accompanied by inflammation. Sinomenine emerges as a potential anti-inflammation agent. The aim of this study was to corroborate its anti-inflammatory property in skin keratinocyte HaCaT cells. Long non-coding RNA colon cancer associated transcript-1 (CCAT1)-associated
Hebe A Mena et al.
Angiogenesis, 17(4), 867-879 (2014-05-24)
Acidosis is present in several pathological conditions where vasculogenesis takes place including ischemia, tumor growth and wound healing. We have previously demonstrated that acidosis induces human CD34+ cell apoptosis. Considering that endothelial colony-forming cells (ECFC) are a subpopulation of CD34+
Beom Su Kim et al.
Biochemical and biophysical research communications, 450(4), 1333-1338 (2014-07-09)
Angiogenesis is an important biological process in tissue development and repair. Fucoidan has previously been shown to potentiate in vitro tube formation in the presence of basic fibroblast growth factor (FGF-2). However, the underlying molecular mechanism remains largely unknown. This
D R Mathern et al.
Mucosal immunology, 7(4), 995-1005 (2014-01-16)
The Notch-1 signaling pathway is responsible for homeostatic tight junction expression in vitro, and promotes barrier function in vivo in the RAG1-adoptive transfer model of colitis. In this study, we sought to determine the role of colonic Notch-1 in the
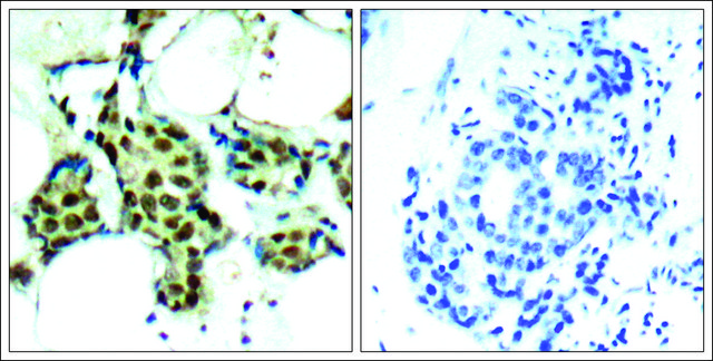
Xin-Juan Fan et al.
Tumour biology : the journal of the International Society for Oncodevelopmental Biology and Medicine, 35(10), 10487-10495 (2014-07-25)
Phosphorylated p38 (p-p38) played a pivotal role in the regulation of disease progression and correlated with tumor prognosis. Here, we characterized the prognostic effect of p-p38 in colorectal cancer (CRC). Three hundred and sixteen CRC patients in stages I-III were

Our team of scientists has experience in all areas of research including Life Science, Material Science, Chemical Synthesis, Chromatography, Analytical and many others.

Contact Technical Service