Skip to Content
MilliporeSigma

SAB4300149

Sigma-Aldrich

Anti-phospho-HIST1H3D (pSer10) antibody produced in rabbit

affinity isolated antibody

Synonym(s):

Anti-H3/b antibody produced in rabbit, Anti-H3FB antibody produced in rabbit, Anti-histone cluster 1, H3d antibody produced in rabbit

Sign Into View Organizational & Contract Pricing

Select a Size


About This Item

UNSPSC Code:
12352203
NACRES:
NA.41
Technical Service
Need help? Our team of experienced scientists is here for you.
Let Us Assist
Technical Service
Need help? Our team of experienced scientists is here for you.
Let Us Assist

biological source

rabbit

conjugate

unconjugated

antibody form

affinity isolated antibody

antibody product type

primary antibodies

clone

polyclonal

form

buffered aqueous solution

mol wt

~17 kDa

species reactivity

rat, human, mouse

concentration

1 mg/mL

technique(s)

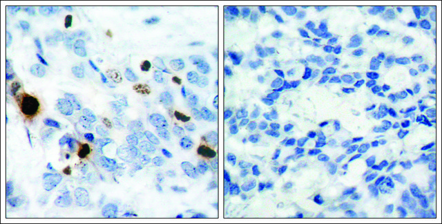
immunohistochemistry (formalin-fixed, paraffin-embedded sections): 1:50-1:100
indirect immunofluorescence: 1:100-1:200
western blot: 1:500-1:1000

isotype

IgG

immunogen sequence

(R-K-SP-T-G)

NCBI accession no.

shipped in

wet ice

storage temp.

−20°C

target post-translational modification

phosphorylation (pSer10)

Gene Information

human ... HIST1H3D(8351)

General description

Core component of nucleosome. Nucleosomes wrap and compact DNA into chromatin, limiting DNA accessibility to the cellular machineries which require DNA as a template. Histones thereby play a central role in transcription regulation, DNA repair, DNA replication and chromosomal stability. DNA accessibility is regulated via a complex set of post-translational modifications of histones, also called histone code, and nucleosome remodeling.

Immunogen

Peptide sequence around phosphorylation site of serine 10 (R-K-S(p)-T-G), according to the protein HIST1H3D.

Features and Benefits

Evaluate our antibodies with complete peace of mind. If the antibody does not perform in your application, we will issue a full credit or replacement antibody. Learn more.

Physical form

Solution in phosphate-buffered saline containing 0.02% sodium azide and 50% glycerol

Not finding the right product?  

Try our Product Selector Tool.

Storage Class

10 - Combustible liquids

wgk_germany

WGK 1

flash_point_f

Not applicable

flash_point_c

Not applicable


Choose from one of the most recent versions:

Certificates of Analysis (COA)

Lot/Batch Number

Don't see the Right Version?

If you require a particular version, you can look up a specific certificate by the Lot or Batch number.

Already Own This Product?

Find documentation for the products that you have recently purchased in the Document Library.

Visit the Document Library

Our team of scientists has experience in all areas of research including Life Science, Material Science, Chemical Synthesis, Chromatography, Analytical and many others.

Contact Technical Service