Skip to Content
MilliporeSigma

SAB4300002

Sigma-Aldrich

Anti-phospho-JUN (pSer73) antibody produced in rabbit

affinity isolated antibody

Synonym(s):

Anti-AP-1 antibody produced in rabbit, Anti-AP1 antibody produced in rabbit, Anti-c-Jun antibody produced in rabbit, Anti-jun oncogene antibody produced in rabbit

Sign Into View Organizational & Contract Pricing

Select a Size


About This Item

UNSPSC Code:
12352203
NACRES:
NA.41
Technical Service
Need help? Our team of experienced scientists is here for you.
Let Us Assist
Technical Service
Need help? Our team of experienced scientists is here for you.
Let Us Assist

biological source

rabbit

Quality Level

conjugate

unconjugated

antibody form

affinity isolated antibody

antibody product type

primary antibodies

clone

polyclonal

form

buffered aqueous solution

mol wt

~43 kDa

species reactivity

mouse, human, rat

concentration

1 mg/mL

technique(s)

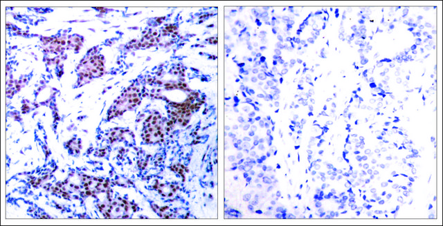
immunohistochemistry (formalin-fixed, paraffin-embedded sections): 1:50-1:100
western blot: 1:500-1:1000

isotype

IgG

immunogen sequence

(L-A-SP-P-E)

NCBI accession no.

UniProt accession no.

shipped in

wet ice

storage temp.

−20°C

target post-translational modification

phosphorylation (pSer73)

Gene Information

human ... JUN(3725)

General description

Transcription factor that recognizes and binds to the enhancer heptamer motif 5'-TGA[CG]TCA-3'.

Immunogen

Peptide sequence around phosphorylation site of serine 73 (L-A-S(p)-P-E), according to the protein JUN.

Features and Benefits

Evaluate our antibodies with complete peace of mind. If the antibody does not perform in your application, we will issue a full credit or replacement antibody. Learn more.

Physical form

Solution in phosphate-buffered saline containing 0.02% sodium azide and 50% glycerol

Disclaimer

Unless otherwise stated in our catalog or other company documentation accompanying the product(s), our products are intended for research use only and are not to be used for any other purpose, which includes but is not limited to, unauthorized commercial uses, in vitro diagnostic uses, ex vivo or in vivo therapeutic uses or any type of consumption or application to humans or animals.

Not finding the right product?  

Try our Product Selector Tool.

Storage Class

10 - Combustible liquids

wgk_germany

WGK 1

flash_point_f

Not applicable

flash_point_c

Not applicable


Choose from one of the most recent versions:

Certificates of Analysis (COA)

Lot/Batch Number

Don't see the Right Version?

If you require a particular version, you can look up a specific certificate by the Lot or Batch number.

Already Own This Product?

Find documentation for the products that you have recently purchased in the Document Library.

Visit the Document Library

Cristina Hernández et al.
Acta diabetologica, 51(4), 543-552 (2014-01-25)
Liver and muscle glycogen content is reduced in diabetic patients but there is no information on the effect of diabetes on the glycogen content in the retinal pigment epithelium (RPE). The main aim of the study was to compare the
Lei Zhang et al.
Laboratory investigation; a journal of technical methods and pathology, 94(8), 839-850 (2014-05-28)
Peritoneal fibrosis is a complication of patients with long-term continuous ambulatory peritoneal dialysis (CAPD). Reports have indicated that angiotensin (Ang) II may correlate with the development of peritoneal fibrosis. However, it is unknown whether aldosterone also has a role in
Peter Tzu-Yu Chien et al.
British journal of pharmacology, 171(19), 4504-4519 (2014-06-07)
Different protease-activated receptors (PARs) activated by thrombin are involved in cardiovascular disease, via up-regulation of inflammatory proteins including COX-2. However, the mechanisms underlying thrombin-regulated COX-2 expression in human cardiomyocytes remain unclear. Human cardiomyocytes were used in the study. Thrombin-induced COX-2
Tanusree Paul et al.
European journal of cancer (Oxford, England : 1990), 50(11), 1855-1863 (2014-05-27)
Epidermal growth factor receptor inhibitor (EGFRI) induced skin toxicity has a prognostic value suggesting skin toxicity can be a useful surrogate marker for successful epidermal growth factor receptor (EGFR) inhibition, improved response and survival. But the pathophysiology of EGFRI induced

Our team of scientists has experience in all areas of research including Life Science, Material Science, Chemical Synthesis, Chromatography, Analytical and many others.

Contact Technical Service