Skip to Content
MilliporeSigma

SAB4200736

Sigma-Aldrich

Anti-S100-A10 antibody produced in rabbit

IgG fraction of antiserum, buffered aqueous solution

Synonym(s):

Anti-ANX2LG, Anti-CAL1L, Anti-CLP11

Sign Into View Organizational & Contract Pricing

Select a Size


About This Item

UNSPSC Code:
12352203
NACRES:
NA.41
Technical Service
Need help? Our team of experienced scientists is here for you.
Let Us Assist
Technical Service
Need help? Our team of experienced scientists is here for you.
Let Us Assist

biological source

rabbit

conjugate

unconjugated

antibody form

IgG fraction of antiserum

antibody product type

primary antibodies

clone

polyclonal

form

buffered aqueous solution

mol wt

~11 kDa

species reactivity

human

technique(s)

immunoblotting: 1:500-1:1000 using human epidermoid carcinoma A431 cell line extract
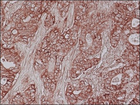
immunohistochemistry: 1:500-1:1000 using heat-retrieved formalin-fixed, paraffin-embedded Human Pancrease carcinoma sections

UniProt accession no.

shipped in

dry ice

storage temp.

−20°C

target post-translational modification

unmodified

Gene Information

human ... S100A10(6281)

General description

S100 calcium binding protein A10 (S100-A10), also known as calpactin I light chain or p11 or cellular ligand of annexin II, is a member of the S100 family of proteins. S100-A10 is mapped to human chromosome 1q21.3 and is expressed in the intestine, lungs and kidney. It contains two EF-hand calcium-binding motifs.

Immunogen

synthetic peptide corresponding to a sequence at the N-terminus of human S100-A10, conjugated to KLH

Application

Anti-S100-A10 antibody produced in rabbit may be used in immunoblotting and immunohistochemistry.

Biochem/physiol Actions

Anti-S100-A10 recognizes human S100-A10.
S100 calcium binding protein A10 (S100-A10) functions as the regulatory subunit of Annexin II (ANX2) to generate the active heterotetramer ANX2/p11 (ANX2T). S100-A10 is implicated in prostate cancer and multiple myeloma and enables cells to reach adhesion and growth at the bone marrow microenvironment. Elevated levels of S100-A10 are observed in squamous non-cell lung cancer, anaplastic large cell lymphoma, renal cell carcinoma and pediatric intracranial ependymoma. Experimental evidence implicates S100-A10 involvement in the mechanism of action of antidepressant drugs and electroconvulsive seizures due to its interaction with specific serotonin receptors.

Physical form

Solution in 0.01 M phosphate buffered saline, pH 7.4, containing 15 mM sodium azide.

Preparation Note

Store at –20 °C. For continuous use, store at 2–8 °C for up to one month. For extended storage, freeze in working aliquots. Repeated freezing and thawing is not recommended. If slight turbidity occurs upon prolonged storage, clarify the solution by centrifugation before use. Working dilution samples should be discarded if not used within 12 hours.

Disclaimer

Unless otherwise stated in our catalog, our products are intended for research use only and are not to be used for any other purpose, which includes but is not limited to, unauthorized commercial uses, in vitro diagnostic uses, ex vivo or in vivo therapeutic uses or any type of consumption or application to humans or animals.

Not finding the right product?  

Try our Product Selector Tool.

Storage Class

10 - Combustible liquids

flash_point_f

Not applicable

flash_point_c

Not applicable


Choose from one of the most recent versions:

Certificates of Analysis (COA)

Lot/Batch Number

Don't see the Right Version?

If you require a particular version, you can look up a specific certificate by the Lot or Batch number.

Already Own This Product?

Find documentation for the products that you have recently purchased in the Document Library.

Visit the Document Library

Jennifer L Warner-Schmidt et al.
Biological psychiatry, 68(6), 528-535 (2010-07-02)
The protein p11 (also called S100A10) is downregulated in human and rodent depressive-like states. Considerable experimental evidence also implicates p11 in the mechanism of action of antidepressant drugs and electroconvulsive seizures, in part due to its interaction with specific serotonin
Jiqiang Guo et al.
Scientific reports, 6, 17029-17029 (2016-01-30)
Depression is one of the major side effects of interferon alpha (IFN-α) treatment, but the molecular mechanism underlying IFN-α-induced depression remains unclear. Several studies have shown that the serotonin receptors 5-HTR1b and 5-HTR4 play key roles in the anti-depression effects
Per Svenningsson et al.
Nature reviews. Neuroscience, 14(10), 673-680 (2013-09-05)
Studies of the multifunctional protein p11 (also known as S100A10) are shedding light on the molecular and cellular mechanisms underlying depression. Here, we review data implicating p11 in both the amplification of serotonergic signalling and the regulation of gene transcription.
p11 and its role in depression and therapeutic responses to antidepressants
Svenningsson P, et al.
Nature Reviews. Neuroscience, 14(10), 673-680 (2013)
Disruption of annexin II/p11 interaction suppresses leukemia cell binding, homing and engraftment, and sensitizes the leukemia cells to chemotherapy
Gopalakrishnapillai A, et al.
Testing, 10(10), e0140564-e0140564 (2015)

Our team of scientists has experience in all areas of research including Life Science, Material Science, Chemical Synthesis, Chromatography, Analytical and many others.

Contact Technical Service