Skip to Content
MilliporeSigma

SAB4200571

Sigma-Aldrich

Anti-Neuron-Specific Enolase (NSE), Mouse monoclonal

clone NSE-P1, purified from hybridoma cell culture

Synonym(s):

Anti-2-phospho-D-glycerate hydrolyase, Anti-Enolase 2 (gamma, neuronal), Anti-NSE, Anti-Neural enolase, Anti-gamma-enolase, Monoclonal Anti-2-phospho-D-glycerate hydro-lyase

Sign Into View Organizational & Contract Pricing

Select a Size


About This Item

UNSPSC Code:
12352203
NACRES:
NA.41
Technical Service
Need help? Our team of experienced scientists is here for you.
Let Us Assist
Technical Service
Need help? Our team of experienced scientists is here for you.
Let Us Assist

biological source

mouse

Quality Level

conjugate

unconjugated

antibody form

purified from hybridoma cell culture

antibody product type

primary antibodies

clone

NSE-P1, monoclonal

form

buffered aqueous solution

mol wt

antigen ~47 kDa

species reactivity

human, rat, mouse

concentration

~1.0 mg/mL

technique(s)

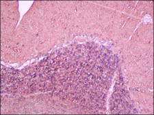
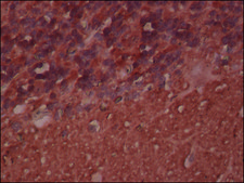
immunohistochemistry: 10-20 μg/mL using formalin-fixed paraffin embedded human cerebellum.
western blot: 0.5-1.0 μg/mL using NTERA-2 (NT2/D1) total cell extracts.

isotype

IgG1

UniProt accession no.

shipped in

dry ice

storage temp.

−20°C

target post-translational modification

unmodified

Gene Information

human ... ENO2(2026)

General description

Monoclonal anti-neuron-specific enolase (NSE) (mouse IgG1 isotype) is derived from the hybridoma NSE-P1 produced by the fusion of mouse myeloma cells and splenocytes from BALB/c mice. Neuron specific enolase (NSE) belongs to the family of enolase enzymes. Enolases have three subunits (a, b, and g), which can combine to form five different isoenzymes: aa, ab, ag, bb, and gg. Enolase 1 (aa) is present in adipose tissue, kidney, liver, and spleen. Enolase 3 (bb) is muscle specific. Enolase 2 (ENO2), also known as neuron-specific enolase (NSE) is a cytoplasmic enzyme, that is released during cell destruction and has a half-life of approximately 30 hours in serum. This dimeric enzyme (gg) is found in neurons and in neuroendocrine cells. ENO2 gene is mapped to human chromosome 12p13.

Immunogen

synthetic peptide corresponding to a sequence at the C-terminal region of human NSE.1 The isotype is determined by ELISA using Mouse Monoclonal Antibody Isotyping Reagents (Sigma ISO-2).

Application

Anti-Neuron-Specific Enolase (NSE), Mouse monoclonal has been used in:
  • immunofluorescence staining
  • immunocytochemistry
  • immunofluorescence microscopy
  • immunoblotting
  • enzyme-linked immunosorbent assay (ELISA)
  • immunohistochemistry

Applications in which this antibody has been used successfully, and the associated peer-reviewed papers, are given below.
Immunocytochemistry (1 paper)

Biochem/physiol Actions

Enolase 2 (ENO2) participates in glycolysis by converting β-glycerophosphate into dihydroxyacetone phosphate. It serves as a neurobiochemical marker of brain damage after traumatic brain injury, anoxic encephalopathy, stroke, and cardiac arrest. NSE also acts as a circulating marker for neuroendocrine tumors. High levels of NSE is observed in breast cancer upon exposure to arsenite and cadmium.
Monoclonal Anti- Neuron-Specific Enolase (NSE) recognizes human, rat, and mouse NSE.

Physical form

Solution in 0.01 M phosphate buffered saline, pH 7.4, containing 15 mM sodium azide.

Preparation Note

For extended storage, freeze at –20 °C in working aliquots. Repeated freezing and thawing or storage in “frost-free” freezers is not recommended. If slight turbidity occurs upon prolonged storage, clarify the solution by centrifugation before use. Working dilution samples should be discarded if not used within 12 hours.

Disclaimer

Unless otherwise stated in our catalog or other company documentation accompanying the product(s), our products are intended for research use only and are not to be used for any other purpose, which includes but is not limited to, unauthorized commercial uses, in vitro diagnostic uses, ex vivo or in vivo therapeutic uses or any type of consumption or application to humans or animals.

Not finding the right product?  

Try our Product Selector Tool.

Storage Class

10 - Combustible liquids

flash_point_f

Not applicable

flash_point_c

Not applicable


Choose from one of the most recent versions:

Certificates of Analysis (COA)

Lot/Batch Number

Don't see the Right Version?

If you require a particular version, you can look up a specific certificate by the Lot or Batch number.

Already Own This Product?

Find documentation for the products that you have recently purchased in the Document Library.

Visit the Document Library

M E Duncan et al.
Journal of immunological methods, 151(1-2), 227-236 (1992-07-06)
Monoclonal antibodies specific for the gamma isozyme of human enolase (known as neuron-specific enolase or NSE) have been raised against synthetic peptides after coupling to carrier protein: the selected peptides were those corresponding to regions of amino acid sequence difference
Martha Douglas-Escobar et al.
Frontiers in neurology, 3, 144-144 (2012-11-07)
As neonatal intensive care has evolved, the focus has shifted from improving mortality alone to an effort to improve both mortality and morbidity. The most frequent source of neonatal brain injury occurs as a result of hypoxic-ischemic injury. Hypoxic-ischemic injury
Cheng-Cheng Liu et al.
Cellular physiology and biochemistry : international journal of experimental cellular physiology, biochemistry, and pharmacology, 46(4), 1525-1535 (2018-04-25)
The metabolic features of cancer cells have long been acknowledged to be altered and to provide new therapeutic opportunities. The expression of glycolytic enzyme enolase 2 (ENO2) was found to be closely associated with the clinical features of acute lymphoblastic
Malin Rundgren et al.
BMC research notes, 7, 726-726 (2014-10-17)
Neuron specific enolase (NSE) is a recognized biomarker for assessment of neurological outcome after cardiac arrest, but its reliability has been questioned. Our aim was to investigate what influence storage of samples and choice of measuring methods may have on
Yu-Che Cheng et al.
Scientific reports, 6, 30314-30314 (2016-07-23)
This study presents human placenta-derived multipotent cells (PDMCs) as a source from which functional glutamatergic neurons can be derived. We found that the small heat-shock protein 27 (HSP27) was downregulated during the neuronal differentiation process. The in vivo temporal and

Related Content

Our team of scientists has experience in all areas of research including Life Science, Material Science, Chemical Synthesis, Chromatography, Analytical and many others.

Contact Technical Service