Skip to Content
MilliporeSigma

SAB4200454

Anti-FUS antibody produced in rabbit

~1.0 mg/mL, affinity isolated antibody

Synonym(s):

Anti-ALS6, Anti-CHOP, Anti-FUS-CHOP, Anti-FUS1, Anti-TLS, Anti-TLS/CHOP, Anti-hnRNP-P2

Sign In to View Organizational & Contract Pricing.

Select a Size

Change View

About This Item

NACRES:
NA.41
UNSPSC Code:
12352203
Conjugate:
unconjugated
Clone:
polyclonal
Application:
IF, IHC, WB
Citations:
4
Technical Service
Need help? Our team of experienced scientists is here for you.
Let Us Assist


biological source

rabbit

Quality Level

conjugate

unconjugated

antibody form

affinity isolated antibody

antibody product type

primary antibodies

clone

polyclonal

form

buffered aqueous solution

mol wt

antigen ~68 kDa

species reactivity

rat, human

enhanced validation

independent
Learn more about Antibody Enhanced Validation

concentration

~1.0 mg/mL

technique(s)

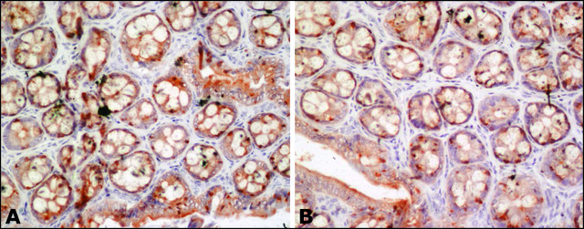
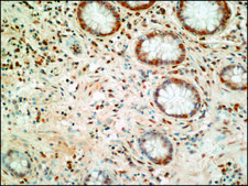
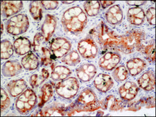
immunohistochemistry: 5-10 μg/mL using formalin-fixed paraffin embedded rat colon., indirect immunofluorescence: 2.5-5 μg/mL using HeLa cells., western blot: 1.5-3.0 μg/mL using using lysates of Jurkat cells.

UniProt accession no.

shipped in

dry ice

storage temp.

−20°C

target post-translational modification

unmodified

Gene Information

human ... FUS(2521)
rat ... Fus(317385)

General description

Fused in sarcoma (FUS) is a component of heterogeneous nuclear ribonucleoprotein (hnRNP) complex is a DNA/ RNA binding protein. FUS gene is mapped to human chromosome 16p11.2 and is located predominantly in the nucleus.

Immunogen

synthetic peptide corresponding to the N-terminal region of human FUS isoform 1, conjugated to KLH. The corresponding sequence is identical in human FUS isoforms 2 and 3, and highly conserved (single amino acid insertion) in mouse and rat FUS.

Application

Anti-FUS antibody produced in rabbit has been used in:
  • immunohistochemistry
  • immunoblotting
  • immunofluorescence

Biochem/physiol Actions

Anti-FUS specifically recognizes human and rat FUS.
Fused in sarcoma (FUS) plays regulatory roles in transcription, RNA splicing and transport and is implicated in multiple diseases. FUS also called translocation in liposarcoma or Tumor lysis syndrome (TLS), plays a key role in DNA repair and transcriptional regulation. Chromosomal translocation of FUS/TLS is found in human cancers and results in the production of oncogenic FUS fusion proteins. FUS is a component of inclusion bodies in patients with Huntington′s disease (HD) and spinocerebellar ataxias (SCA1) and SCA3. Mutations in the FUS gene have been identified in amyotrophic lateral sclerosis (ALS), frontotemporal lobar degeneration (FLTD) and familial amyotrophic lateral sclerosis (FALS). The majority of the FUS mutations have been identified in the C-terminal nuclear localization signal (NLS). Pathological FUS inclusions are mostly found in the cytosol of neurons and glial cells.

Physical form

Solution in 0.01 M phos­phate buffered saline, pH 7.4, containing 15 mM sodium azide.

Preparation Note

For continuous use, store at 2-8 °C for up to one month. For extended storage, freeze in working aliquots. Repeated freezing and thawing, or storage in “frost-free” freezers,is not recommended. If slight turbidity occurs upon prolonged storage, clarify the solution by centrifugation before use. Working dilutions should be discarded if not used within 12 hours.

Disclaimer

Unless otherwise stated in our catalog or other company documentation accompanying the product(s), our products are intended for research use only and are not to be used for any other purpose, which includes but is not limited to, unauthorized commercial uses, in vitro diagnostic uses, ex vivo or in vivo therapeutic uses or any type of consumption or application to humans or animals.


Still not finding the right product?

or

Try our Product Selector Tool to narrow your options


Storage Class

10 - Combustible liquids

flash_point_f

Not applicable

flash_point_c

Not applicable



Choose from one of the most recent versions:

Certificates of Analysis (COA)

Lot/Batch Number

It looks like we've run into a problem, but you can still download Certificates of Analysis from our Documents section.

If you need assistance, please contact Customer Support

Already Own This Product?

Find documentation for the products that you have recently purchased in the Document Library.

Visit the Document Library



Tomas Smolek et al.
The Journal of comparative neurology, 524(4), 874-895 (2015-08-05)
Canine cognitive impairment syndrome (CDS) represents a group of symptoms related to the aging of the canine brain. These changes ultimately lead to a decline of memory function and learning abilities, alteration of social interaction, impairment of normal housetraining, and
Atypical Huntington?s disease with the clinical presentation of behavioural variant of frontotemporal dementia
Sutovsky S, et al.
Journal of neural transmission (Vienna, Austria : 1996), 123(12), 1423-1433 (2016)
TDP-43 and FUS: a nuclear affair
Dormann D and Haass C
Trends in Neurosciences, 34(7), 339-348 (2011)



Global Trade Item Number

SKUGTIN
SAB4200454-200UL04061838036414