SAB4200201
Anti-Cyclophilin B antibody produced in rabbit

~1.0 mg/mL, affinity isolated antibody
Synonym(s):
Anti-CYP-S1, Anti-CYPB, Anti-OI9, Anti-PPIB, Anti-PPIase B, Anti-S-cyclophilin, Anti-SCYLP, Anti-cyclophilin-like protein, Anti-peptidyl-prolyl cis-trans isomerase B, Anti-peptidylprolyl isomerase B, Anti-rotamase B
biological source
rabbit
Quality Level
conjugate
unconjugated
antibody form
affinity isolated antibody
antibody product type
primary antibodies
clone
polyclonal
form
buffered aqueous solution
mol wt
~20 kDa
species reactivity
human, rat, monkey, mouse
enhanced validation
independent
Learn more about Antibody Enhanced Validation
concentration
~1.0 mg/mL
technique(s)
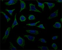
indirect immunofluorescence: 5-10 μg/mL using mouse 3T3 cells
western blot: 0.5-1.0 μg/mL using whole extracts of human HepG2 and rat NRK cells
UniProt accession no.
shipped in
dry ice
storage temp.
−20°C
target post-translational modification
unmodified
Gene Information
human ... PPIB(5479)
mouse ... Ppib(19035)
Related Categories
General description
Application
- immunoblotting
- immunofluorescence
- in immunocapture-polymerase chain reaction (PCR) to study the interactions between CypB and Tomato yellow leaf curl virus (TYLCV) coat protein (CP).
Biochem/physiol Actions
Physical form
Disclaimer
Not finding the right product?
Try our Product Selector Tool.
Storage Class
10 - Combustible liquids
flash_point_f
Not applicable
flash_point_c
Not applicable
Choose from one of the most recent versions:
Already Own This Product?
Find documentation for the products that you have recently purchased in the Document Library.
Related Content
Instructions
Our team of scientists has experience in all areas of research including Life Science, Material Science, Chemical Synthesis, Chromatography, Analytical and many others.
Contact Technical Service