Skip to Content
MilliporeSigma

SAB3501155

Sigma-Aldrich

Monoclonal Anti-DC-SIGN [8B6] antibody produced in mouse

affinity purified immunoglobulin (IgG)

Sign Into View Organizational & Contract Pricing

Select a Size


About This Item

UNSPSC Code:
12352203
NACRES:
NA.41
Technical Service
Need help? Our team of experienced scientists is here for you.
Let Us Assist
Technical Service
Need help? Our team of experienced scientists is here for you.
Let Us Assist

biological source

mouse

Quality Level

conjugate

unconjugated

antibody form

affinity purified immunoglobulin (IgG)

antibody product type

primary antibodies

clone

monoclonal

form

liquid

species reactivity

human

concentration

1 mg/mL

technique(s)

immunohistochemistry: suitable
western blot: suitable

isotype

IgG1, kappa

UniProt accession no.

shipped in

wet ice

storage temp.

−20°C

target post-translational modification

unmodified

Gene Information

human ... CD209(30835)

General description

DC-SIGN Monoclonal Antibody: Dendritic cells (DCs) that control immune responses were recently found to capture and transport HIV from the mucosal area to remote lymph nodes, where DCs hand over HIV to CD4+ T lymphocytes. DCs also amplify the amount of virus and extend the duration of viral infectivity. Multiple strains of HIV-1, HIV-2 and SIV bind to DCs via DC-SIGN. ICAM-3 is the natural ligand for DC-SIGN. A DC-SIGN homologue (termed DC-SIGNR, L-SIGN, and DC-SIGN2) was identified recently. DC-SIGN forms a novel gene family with DC-SIGNR and many alternatively spliced isoforms of DC-SIGN and DC-SIGNR are known to exisit. The expression of DC-SIGN was found in mucosal tissues including placenta, small intestine, and rectum.

Immunogen

A recombinant His-tagged protein fragment corresponding to the extracellular region of human DC-SIGN.

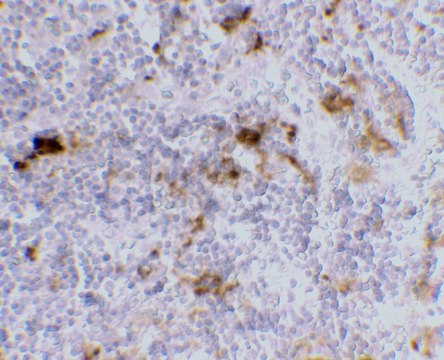
Application

DC-SIGN antibody can be used for detection of DC-SIGN in Western Blot at 1 - 2 mg/mL and in immunohistochemistry at 5 - 10 mg/mL. Antibody validated: Western Blot in human samples and Immunohistochemistry in human samples. All other applications and species not yet tested.

Physical form

Supplied in PBS containing 0.02% sodium azide.

Not finding the right product?  

Try our Product Selector Tool.

Storage Class

12 - Non Combustible Liquids

wgk_germany

nwg

flash_point_f

Not applicable

flash_point_c

Not applicable


Choose from one of the most recent versions:

Certificates of Analysis (COA)

Lot/Batch Number

Don't see the Right Version?

If you require a particular version, you can look up a specific certificate by the Lot or Batch number.

Already Own This Product?

Find documentation for the products that you have recently purchased in the Document Library.

Visit the Document Library

Our team of scientists has experience in all areas of research including Life Science, Material Science, Chemical Synthesis, Chromatography, Analytical and many others.

Contact Technical Service