Skip to Content
MilliporeSigma

SAB2702317

Sigma-Aldrich

Monoclonal Anti-ETHE1 antibody produced in mouse

clone GT1621, affinity isolated antibody

Synonym(s):

HSCO, YF13H12

Sign Into View Organizational & Contract Pricing

Select a Size


About This Item

UNSPSC Code:
12352203
NACRES:
NA.41
Technical Service
Need help? Our team of experienced scientists is here for you.
Let Us Assist
Technical Service
Need help? Our team of experienced scientists is here for you.
Let Us Assist

biological source

mouse

Quality Level

conjugate

unconjugated

antibody form

affinity isolated antibody

antibody product type

primary antibodies

clone

GT1621, monoclonal

form

buffered aqueous solution

mol wt

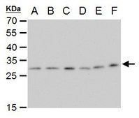
28kDa

species reactivity

rat, human, mouse

concentration

1mg/mL

technique(s)

indirect immunofluorescence: suitable
western blot: 500-3000

isotype

IgG2b

UniProt accession no.

shipped in

wet ice

storage temp.

−20°C

target post-translational modification

unmodified

Gene Information

human ... ETHE1(23474)

Immunogen

Full length human ETHE1 Recombinant protein.

Application

Suggested starting dilutions are as follows: ICC/IF: 1:100-1:1000, WB: 1:500-1:3000. Not yet tested in other applications. Optimal working dilutions should be determined experimentally by the end user.

Biochem/physiol Actions

This gene encodes a protein that is expressed in the thyroid. [provided by RefSeq]

Features and Benefits

Evaluate our antibodies with complete peace of mind. If the antibody does not perform in your application, we will issue a full credit or replacement antibody. Learn more.

Physical form

Phosphate-buffered saline, no preservative added.

Other Notes

Purification: Affinity purified by Protein G

Disclaimer

Unless otherwise stated in our catalog or other company documentation accompanying the product(s), our products are intended for research use only and are not to be used for any other purpose, which includes but is not limited to, unauthorized commercial uses, in vitro diagnostic uses, ex vivo or in vivo therapeutic uses or any type of consumption or application to humans or animals.

Not finding the right product?  

Try our Product Selector Tool.

Storage Class

12 - Non Combustible Liquids

wgk_germany

WGK 2

flash_point_f

Not applicable

flash_point_c

Not applicable


Choose from one of the most recent versions:

Certificates of Analysis (COA)

Lot/Batch Number

Don't see the Right Version?

If you require a particular version, you can look up a specific certificate by the Lot or Batch number.

Already Own This Product?

Find documentation for the products that you have recently purchased in the Document Library.

Visit the Document Library

Our team of scientists has experience in all areas of research including Life Science, Material Science, Chemical Synthesis, Chromatography, Analytical and many others.

Contact Technical Service