Skip to Content
MilliporeSigma

SAB2100872

Sigma-Aldrich

Anti-GAA antibody produced in rabbit

affinity isolated antibody

Synonym(s):

Anti-Glucosidase, α; acid, Anti-LYAG

Sign Into View Organizational & Contract Pricing

Select a Size


About This Item

UNSPSC Code:
12352203
NACRES:
NA.41
Technical Service
Need help? Our team of experienced scientists is here for you.
Let Us Assist
Technical Service
Need help? Our team of experienced scientists is here for you.
Let Us Assist

biological source

rabbit

Quality Level

conjugate

unconjugated

antibody form

affinity isolated antibody

antibody product type

primary antibodies

clone

polyclonal

form

buffered aqueous solution

mol wt

98 kDa

species reactivity

dog, guinea pig, human, rat, mouse, bovine

concentration

0.5 mg - 1 mg/mL

technique(s)

immunohistochemistry: suitable
western blot: suitable

UniProt accession no.

shipped in

wet ice

storage temp.

−20°C

target post-translational modification

unmodified

Gene Information

human ... GAA(2548)

General description

Lysosomal alpha-glucosidase (GAA) is a glycoprotein that belongs to the glycoside hydrolase family GH31. It comprises a catalytic GH31 (β/α)8 barrel domain, trefoil type-P domain, an N-terminal β-sheet domain. The GAA gene is mapped to human chromosome location 17q25.3.

Immunogen

Synthetic peptide directed towards the N terminal region of human GAA

Application

Anti-GAA antibody produced in rabbit has been used western blotting (1:100)

Biochem/physiol Actions

GAA is acid alpha-glucosidase, which is essential for the degradation of glycogen to glucose in lysosomes. Different forms of acid alpha-glucosidase are obtained by proteolytic processing. Defects in this gene are the cause of glycogen storage disease II, also known as Pompe′s disease, which is an autosomal recessive disorder with a broad clinical spectrum. This gene encodes acid alpha-glucosidase, which is essential for the degradation of glycogen to glucose in lysosomes. Different forms of acid alpha-glucosidase are obtained by proteolytic processing. Defects in this gene are the cause of glycogen storage disease II, also known as Pompe′s disease, which is an autosomal recessive disorder with a broad clinical spectrum. Three transcript variants encoding the same protein have been found for this gene.

Physical form

Purified antibody supplied in 1x PBS buffer with 0.09% (w/v) sodium azide and 2% sucrose.

Other Notes

Synthetic peptide located within the following region: FGVIVRRQLDGRVLLNTTVAPLFFADQFLQLSTSLPSQYITGLAEHLSPL

Disclaimer

Unless otherwise stated in our catalog or other company documentation accompanying the product(s), our products are intended for research use only and are not to be used for any other purpose, which includes but is not limited to, unauthorized commercial uses, in vitro diagnostic uses, ex vivo or in vivo therapeutic uses or any type of consumption or application to humans or animals.

Not finding the right product?  

Try our Product Selector Tool.

Storage Class

10 - Combustible liquids

wgk_germany

WGK 3

flash_point_f

Not applicable

flash_point_c

Not applicable


Choose from one of the most recent versions:

Certificates of Analysis (COA)

Lot/Batch Number

Don't see the Right Version?

If you require a particular version, you can look up a specific certificate by the Lot or Batch number.

Already Own This Product?

Find documentation for the products that you have recently purchased in the Document Library.

Visit the Document Library

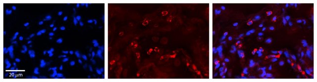
Francesco Chemello et al.
Cell reports, 26(13), 3784-3797 (2019-03-28)
Skeletal muscle is composed of different myofiber types that preferentially use glucose or lipids for ATP production. How fuel preference is regulated in these post-mitotic cells is largely unknown, making this issue a key question in the fields of muscle

Our team of scientists has experience in all areas of research including Life Science, Material Science, Chemical Synthesis, Chromatography, Analytical and many others.

Contact Technical Service