Skip to Content
MilliporeSigma

SAB1402151

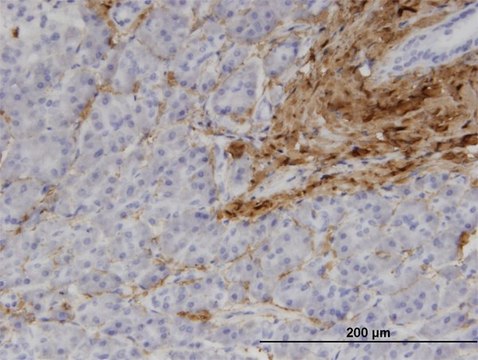
Anti-Collagen Type I (COL1A1) Antibody

mouse monoclonal, 3G3

Sign In to View Organizational & Contract Pricing.

Select a Size

Change View

About This Item

UNSPSC Code:
12352203
NACRES:
NA.41
Conjugate:
unconjugated
Clone:
3G3, monoclonal
Application:
ELISA (i), IHC (p), WB
Citations:
12
Technical Service
Need help? Our team of experienced scientists is here for you.
Let Us Assist


Product Name

Monoclonal Anti-COL1A1 antibody produced in mouse, clone 3G3, purified immunoglobulin, buffered aqueous solution

biological source

mouse

Quality Level

conjugate

unconjugated

antibody form

purified immunoglobulin

antibody product type

primary antibodies

clone

3G3, monoclonal

form

buffered aqueous solution

mol wt

antigen ~35.79 kDa

species reactivity

human, mouse

technique(s)

immunohistochemistry (formalin-fixed, paraffin-embedded sections): suitable, indirect ELISA: suitable, western blot: 1-5 μg/mL

isotype

IgG3κ

NCBI accession no.

UniProt accession no.

shipped in

dry ice

storage temp.

−20°C

target post-translational modification

unmodified

Gene Information

human ... COL1A1(1277)

General description

The COL1A1 (collagen type I α 1 chain) gene codes for the pro-α1 chains of type I collagen. The triple helix of the type I collagen is composed of two α chains and this protein is localized to connective tissues and predominantly expressed in bone, cornea, dermis and tendon. COL1A1 is mapped to human chromosome 17q21.33. 90% of the bone matrix comprises of collagen type I.

Immunogen

COL1A1 (NP_000079.1, 1021 a.a. ~ 1108 a.a) partial recombinant protein with GST tag. MW of the GST tag alone is 26 KDa.

Sequence
EGSPGRDGSPGAKGDRGETGPAGPPGAPGAPGAPGPVGPAGKSGDRGETGPAGPAGPVGPVGARGPAGPQGPRGDKGETGEQGDRGIK

Biochem/physiol Actions

Proteins belonging to the collagen family, supports and nourishes body tissues such as tendons, cartilage, skin, and sclera of the eye. Mutation in COL1A1 (collagen type I α 1 chain) gene is associated with a number of connective tissue disorders such as Ehlers-Danlos syndrome type VIIA, Ehlers-Danlos syndrome Classical type, osteogenesis imperfecta types I-IV, idiopathic osteoporosis and Caffey Disease. The COL1A1 is associated with a particular type of skin tumor called dermatofibrosarcoma protuberans which is due to over expression of growth factors. Two transcripts, resulting from the use of alternate polyadenylation signals, have been identified for this gene.

Physical form

Solution in phosphate buffered saline, pH 7.4

Disclaimer

Unless otherwise stated in our catalog or other company documentation accompanying the product(s), our products are intended for research use only and are not to be used for any other purpose, which includes but is not limited to, unauthorized commercial uses, in vitro diagnostic uses, ex vivo or in vivo therapeutic uses or any type of consumption or application to humans or animals.


Still not finding the right product?

or

Try our Product Selector Tool to narrow your options


Storage Class

10 - Combustible liquids

wgk

WGK 1

flash_point_f

Not applicable

flash_point_c

Not applicable



Choose from one of the most recent versions:

Certificates of Analysis (COA)

Lot/Batch Number

Don't see the Right Version?

If you require a particular version, you can look up a specific certificate by the Lot or Batch number.

Already Own This Product?

Find documentation for the products that you have recently purchased in the Document Library.

Visit the Document Library



Clinical utility gene card for: Ehlers?Danlos syndrome types I?VII and variants-update 2012.
Mayer K, et al.
European Journal of Human Genetics, 21(1) (2013)
Aspek Klinik, Genetik dan Molekuler Osteogensis Imperfekta.
Mariska M and Auerkari E I
Journal of Dentistry, 14(2), 95-110 (2015)
Masamichi Hayashi et al.
BMC cancer, 14, 108-108 (2014-02-21)
Hepatocellular carcinoma (HCC) is one of the major causes of cancer-related death especially among Asian and African populations. It is urgent that we identify carcinogenesis-related genes to establish an innovative treatment strategy for this disease. Triple-combination array analysis was performed



Global Trade Item Number

SKUGTIN
SAB1402151-100UG04061836971649