Skip to Content
MilliporeSigma

PLA0060

Sigma-Aldrich

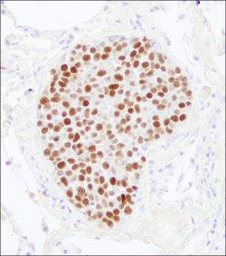
Rabbit anti-MCM2 Antibody, Affinity Purified

Powered by Bethyl Laboratories, Inc.

Synonym(s):

BM28, CCNL1, CDCL1, D3S3194, DFNA70, KIAA0030, MCM2 minichromosome maintenance deficient 2, cdc19, cell devision cycle-like 1, cyclin-like 1, minichromosome maintenance deficient (S. cerevisiae) 2 (mitotin), minichromosome maintenance deficient 2 (mitotin), minichromosome maintenance protein 2 homolog, mitotin, mitotin (S. cerevisiae), nuclear protein BM28

Sign Into View Organizational & Contract Pricing

Select a Size


About This Item

UNSPSC Code:
12352203
NACRES:
NA.41
Technical Service
Need help? Our team of experienced scientists is here for you.
Let Us Assist
Technical Service
Need help? Our team of experienced scientists is here for you.
Let Us Assist

biological source

rabbit

Quality Level

conjugate

unconjugated

antibody form

affinity purified immunoglobulin

antibody product type

primary antibodies

clone

polyclonal

species reactivity

human, mouse

technique(s)

immunohistochemistry: 1:2,000-1:10,000
immunoprecipitation (IP): 2- 5 μg/mg
western blot: 1:1,000- 1:10,000

accession no.

NP_0045117.2

UniProt accession no.

shipped in

wet ice

storage temp.

2-8°C

target post-translational modification

unmodified

Gene Information

rabbit ... MCM2(4171)

Immunogen

The epitope recognized by PLA0060 maps to a region between residues 1 and 50 of human human minichromosomal maintenance deficient 2 using the numbering given in entry NP_0045117.2 (GeneID 4171).

Physical form

Tris-citrate/phosphate buffer, pH 7 to 8 containing 0.09% sodium azide

Other Notes

The MCM (Mini-Chromosome Maintenance) complex is a key component of the pre-replication complex involved in replication licensing which restricts DNA replication to only once per cell cycle. The MCM complex is a heterohexamer of MCM2, MCM3, MCM4, MCM5, MCM6, and MCM7. MCM2 interacts with the core MCM complex (MCM4, 6, and 7) to regulate its helicase activity.

Disclaimer

Unless otherwise stated in our catalog or other company documentation accompanying the product(s), our products are intended for research use only and are not to be used for any other purpose, which includes but is not limited to, unauthorized commercial uses, in vitro diagnostic uses, ex vivo or in vivo therapeutic uses or any type of consumption or application to humans or animals.

Not finding the right product?  

Try our Product Selector Tool.

Storage Class

12 - Non Combustible Liquids

wgk_germany

nwg

flash_point_f

Not applicable

flash_point_c

Not applicable


Choose from one of the most recent versions:

Certificates of Analysis (COA)

Lot/Batch Number

Don't see the Right Version?

If you require a particular version, you can look up a specific certificate by the Lot or Batch number.

Already Own This Product?

Find documentation for the products that you have recently purchased in the Document Library.

Visit the Document Library

Our team of scientists has experience in all areas of research including Life Science, Material Science, Chemical Synthesis, Chromatography, Analytical and many others.

Contact Technical Service