Skip to Content
MilliporeSigma

P0078

Sigma-Aldrich

Anti-PMP22 antibody produced in rabbit

~1.0 mg/mL, affinity isolated antibody, buffered aqueous solution

Synonym(s):

Anti-GAS3, Anti-Growth arrest-specific 3, Anti-Peripheral myelin protein 22

Sign Into View Organizational & Contract Pricing

Select a Size


About This Item

UNSPSC Code:
12352203
NACRES:
NA.41
Technical Service
Need help? Our team of experienced scientists is here for you.
Let Us Assist
Technical Service
Need help? Our team of experienced scientists is here for you.
Let Us Assist

biological source

rabbit

Quality Level

conjugate

unconjugated

antibody form

affinity isolated antibody

antibody product type

primary antibodies

clone

polyclonal

form

buffered aqueous solution

mol wt

antigen ~22 kDa

species reactivity

human

concentration

~1.0 mg/mL

technique(s)

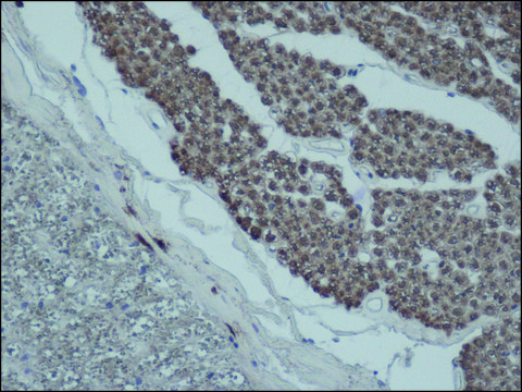
immunohistochemistry: 2.5-5 μg/mL using biotin/ExtrAvidin-Peroxidase staining of formalin-fixed, paraffin-embedded human spinal cord sections

UniProt accession no.

shipped in

dry ice

storage temp.

−20°C

target post-translational modification

unmodified

Gene Information

human ... PMP22(5376)
mouse ... Pmp22(18858)
rat ... Pmp22(24660)

General description

PMP22 (peripheral myelin protein-22) is a tetraspan integral membrane protein, that contains four putative transmembrane domains. It is expressed in the peripheral nervous system. PMP22 is produced by myelinating Schwann cells. It is an important constituent of peripheral myelin. This gene is mapped to human chromosome 17p11.2.

Immunogen

synthetic peptide corresponding to amino acid residues 118-133 of human PMP22, with an added cysteine, conjugated to KLH. The corresponding sequence differs by 3 amino acids in rat and mouse.

Biochem/physiol Actions

Anti-PMP22 recognizes human PMP22.
PMP22 (peripheral myelin protein-22) participates in the progression of CNS (central nervous system) myelin. It modulates self-renewal and chemoresistance of gastric cancer cells. Mutation in PMP22 results in Charcot-Marie tooth disease.
PMP22 plays a role in peripheral nerve myelin formation, cell-cell interactions, and cell proliferation. Overexpression of PMP22 is implicated in the neoplastic transformation of normal tissue to pre-malignant lesions and cancer of the pancreas and osteoblasts.

Physical form

Solution in 0.01 M phosphate buffered saline, pH 7.4, containing 15 mM sodium azide.

Preparation Note

For continuous use, store at 2-8 °C for up to one month. For extended storage, freeze at -20 °C in working aliquots. Repeated freezing and thawing, or storage in “frost-free” freezers, is not recommended. If slight turbidity occurs upon prolonged storage, clarify the solution by centrifugation before use. Working dilution samples should be discarded if not used within 12 hours.

Legal Information

BiotinTag is a trademark of Sigma-Aldrich Co. LLC

Disclaimer

Unless otherwise stated in our catalog or other company documentation accompanying the product(s), our products are intended for research use only and are not to be used for any other purpose, which includes but is not limited to, unauthorized commercial uses, in vitro diagnostic uses, ex vivo or in vivo therapeutic uses or any type of consumption or application to humans or animals.

Not finding the right product?  

Try our Product Selector Tool.

Storage Class

10 - Combustible liquids

flash_point_f

Not applicable

flash_point_c

Not applicable

ppe

Eyeshields, Gloves, multi-purpose combination respirator cartridge (US)


Choose from one of the most recent versions:

Certificates of Analysis (COA)

Lot/Batch Number

Don't see the Right Version?

If you require a particular version, you can look up a specific certificate by the Lot or Batch number.

Already Own This Product?

Find documentation for the products that you have recently purchased in the Document Library.

Visit the Document Library

A novel missense mutation in peripheral myelin protein-22 causes Charcot-Marie-Tooth disease
Li, Li-Xi and Dong
Chinese Medical Journal (English Edition), 130(15), 1779-1779 (2017)
Shazia Irshad et al.
Science translational medicine, 5(202), 202ra122-202ra122 (2013-09-13)
Many newly diagnosed prostate cancers present as low Gleason score tumors that require no treatment intervention. Distinguishing the many indolent tumors from the minority of lethal ones remains a major clinical challenge. We now show that low Gleason score prostate
Maaike van Dartel et al.
Cancer genetics and cytogenetics, 152(2), 113-118 (2004-07-21)
The peripheral myelin protein (PMP22) gene is highly expressed in peripheral Schwann cells and encodes an important constituent of the myelin sheath. It is also expressed at lower levels in other normal tissues in which the protein is supposed to
Afferent Visual Pathway Affection in Patients with PMP22 Deletion-Related Hereditary Neuropathy with Liability to Pressure Palsies
Brandt, et al.
PLoS ONE, 11(10), e0164617-e0164617 (2016)
Junsheng Li et al.
The journal of histochemistry and cytochemistry : official journal of the Histochemistry Society, 53(7), 885-893 (2005-07-05)
PMP22 is a structural protein of Schwann cells, but it also influences cell proliferation. In the present study, quantitative RT-PCR (QRT-PCR) and immunohistochemistry were used to determine PMP22 mRNA levels and to localize PMP22 in the normal pancreas (n=20), chronic

Related Content

Our team of scientists has experience in all areas of research including Life Science, Material Science, Chemical Synthesis, Chromatography, Analytical and many others.

Contact Technical Service