Skip to Content
MilliporeSigma

O7264

Sigma-Aldrich

Anti-Osteopontin antibody produced in rabbit

affinity isolated antibody, buffered aqueous solution

Synonym(s):

Anti-Bone Sialoprotein 1, Anti-Early T Lymphocyte Activation Protein 1 (ETA1), Anti-Secreted Phosphoprotein 1, Anti-Uropontin

Sign Into View Organizational & Contract Pricing

Select a Size


About This Item

MDL number:
UNSPSC Code:
12352203
NACRES:
NA.41
Technical Service
Need help? Our team of experienced scientists is here for you.
Let Us Assist
Technical Service
Need help? Our team of experienced scientists is here for you.
Let Us Assist

biological source

rabbit

Quality Level

conjugate

unconjugated

antibody form

affinity isolated antibody

antibody product type

primary antibodies

clone

polyclonal

form

buffered aqueous solution

mol wt

antigen ~50 kDa

species reactivity

human

technique(s)

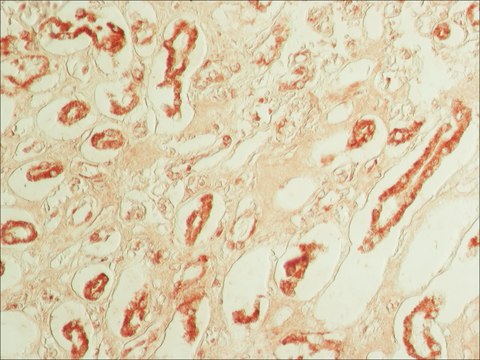
immunohistochemistry (formalin-fixed, paraffin-embedded sections): 2.5-5 μg/mL using human kidney
western blot: 0.5-1 μg/mL using whole extract of human embryonal kidney 293T cells and a chemiluminescent detection reagent

UniProt accession no.

shipped in

dry ice

storage temp.

−20°C

target post-translational modification

unmodified

Gene Information

human ... SPP1(6696)

General description

Osteopontin (OPN), also termed as bone sialoprotein 1, urinary stone protein, early t lymphocyte activation protein 1 (ETA1), and uropontin, is a phosphorylated acidic arginine-glycine-aspartate (RGD)-containing glycoprotein that binds integrin and CD44 receptors. OPN is the most abundant product of osteoblast and kidney cells, it is also expressed in lung, liver, bladder, pancreas, breast, vascular smooth muscle cells and macrophages.
Secreted phosphoprotein 1 (SPP1) or osteopontin is a secreted cytokine. This phosphorylated acidic glycoprotein is expressed in various cells and tissues. It is synthesized by osteoblasts. The gene encoding SPP1 is localized on human chromosome 4q22.1.

Immunogen

synthetic peptide corresponding to amino acid residues 249-267 of human osteopontin, con­jugated to KLH.

Application

Anti-Osteopontin antibody produced in rabbit has been used in immunohistochemistry and immunoblotting.

Biochem/physiol Actions

Osteopenia (OPN), functions like chemokine and cytokine. It is implicated in a number of physiologic and pathologic events including angiogenesis, apoptosis, inflammation, wound healing and tumor metastasis. Osteopontin expression is upregulated in cancer of breast, prostate, ovarian, lung, brain tumor and hepatocellular carcinoma.
Secreted phosphoprotein 1 (SPP1) or osteopontin modulates inflammatory responses and glucose metabolism. It is a chemotactic factor and has a role in immune cell recruitment. The protein is also associated with cell growth, migration and differentiation. SPP1 attaches osteoclasts to the bone matrix. It is also involved in atherosclerotic process and bone mineralization. It is a marker of many cancers.

Physical form

Solution in 0.01 M phosphate buffered saline, pH 7.4, containing 1% bovine serum albumin and 15 mM sodium azide.

Disclaimer

Unless otherwise stated in our catalog or other company documentation accompanying the product(s), our products are intended for research use only and are not to be used for any other purpose, which includes but is not limited to, unauthorized commercial uses, in vitro diagnostic uses, ex vivo or in vivo therapeutic uses or any type of consumption or application to humans or animals.

Not finding the right product?  

Try our Product Selector Tool.

Storage Class

10 - Combustible liquids

wgk_germany

WGK 3

flash_point_f

Not applicable

flash_point_c

Not applicable

ppe

Eyeshields, Gloves, multi-purpose combination respirator cartridge (US)


Choose from one of the most recent versions:

Certificates of Analysis (COA)

Lot/Batch Number

Don't see the Right Version?

If you require a particular version, you can look up a specific certificate by the Lot or Batch number.

Already Own This Product?

Find documentation for the products that you have recently purchased in the Document Library.

Visit the Document Library

Comparison of Plasma Osteopontin Levels between Patients with Borderline Ovarian Tumours and Serous Ovarian Carcinoma.
Zivny JH
Folia Biologica (Krakow.), 62(6), 258-262 (2016)
Utility of Plasma Osteopontin Levels in Management of Community-Acquired Pneumonia
Jer-Hwa Chang
International Journal of Medical Sciences, 13(9), 673?679-673?679 (2016)
Expanded comparative mapping between man and rabbit and detection of a new conserved segment between HSA22 and OCU4
C. Chantry-Darmon
Cytogenetic and genome research, 111, 134-139 (2005)
Alastair J Moss et al.
Scientific reports, 10(1), 20172-20172 (2020-11-21)
Early microcalcification is a feature of coronary plaques with an increased propensity to rupture and to cause acute coronary syndromes. In this ex vivo imaging study of coronary artery specimens, the non-invasive imaging radiotracer, 18F-fluoride, was highly selective for hydroxyapatite
JNK1 differentially regulates osteopontin-induced nuclear factorinducing kinase/MEKK1-dependent activating protein-1-mediated promatrix metalloproteinase-9 activation
Rangaswami H, et al.
The Journal of Biological Chemistry, 280(19), 19381-19392 (2005)

Related Content

Our team of scientists has experience in all areas of research including Life Science, Material Science, Chemical Synthesis, Chromatography, Analytical and many others.

Contact Technical Service