Skip to Content
MilliporeSigma

N5139

Sigma-Aldrich

Monoclonal Anti-Neurofilament 68 antibody produced in mouse

clone NR4, ascites fluid

Synonym(s):

Monoclonal Anti-Neurofilament light chain

Sign Into View Organizational & Contract Pricing

Select a Size


About This Item

MDL number:
UNSPSC Code:
12352203
NACRES:
NA.41
Technical Service
Need help? Our team of experienced scientists is here for you.
Let Us Assist
Technical Service
Need help? Our team of experienced scientists is here for you.
Let Us Assist

biological source

mouse

Quality Level

conjugate

unconjugated

antibody form

ascites fluid

antibody product type

primary antibodies

clone

NR4, monoclonal

mol wt

antigen apparent mol wt 68 kDa

contains

15 mM sodium azide as preservative

species reactivity

chicken, rat, pig, human

technique(s)

immunohistochemistry (formalin-fixed, paraffin-embedded sections): 1:40 using rat cerebellum
microarray: suitable
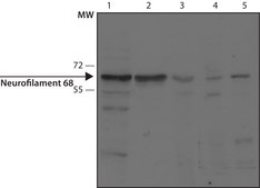
western blot: 1:500 using bovine spinal cord neurofilament

isotype

IgG1

UniProt accession no.

shipped in

dry ice

storage temp.

−20°C

target post-translational modification

unmodified

Gene Information

human ... NEFL(4747)

General description

Monclonal Anti-Neurofilament 68 (mouse IgG1 isotype) is produced by the fusion mouse myeloma cells and splenocytes from an immunized mouse. Neurofilaments are composed of three sub-units- light NFL protein, medium NFM protein, heavy NFH protein. Along with there two other intermediate filaments are present α-internexin and peripherin. Neurofilaments are phosphoproteins. The neurofilaments are one of the five major groups of IFs and are found predominantly in cells or tissues of neuronal origin. They are composed of three major proteins of apparent molecular weights 68 kD, 95kD, and 115kD. Neurofilament proteins are synthesized in the neuronal perikarya, assembled to form filaments and then slowly transported within the axons towards the synaptic terminals.

Immunogen

pig spinal cord.

Application

Monoclonal Anti-Neurofilament 68 antibody has been used:
  • in immunohistochemistry
  • in immunoblotting
  • in western blotting

Mouse Monoclonal clone NR4 anti-Neurofilament 68 antibody may be used for the localization of the neurofilament of molecular weight equal to 68,000 while being non-reactive with other intermediate filament proteins.

Biochem/physiol Actions

Neurofilaments undergo post-translational modification, which results in their heterogeneity, including different levels of phosphorylation. The phosphorylation of neurofilament polypeptides has been suggested to modulate their function by influencing the interaction between neurofilament and cytoplasmic organelles. Neurofilaments play a role in axonal calibre as they help in movement of an impulse down the axon. Their activity depends on phosphorylation of neurofilaments.Mutations of neurofilaments causes Charcot-Marie-Tooth (CMT) disease. Accumulation of neurofilaments has been observed in many human neurological diseases like Alzheimer′s disease, progressive supranuclear palsy, diabetic neuropathy, and giant axonal neuropathy.
The antibody reacts specifically with neurofilament 68 in cultured cells or tissue preparations originating from human, pig, rat or chicken. It does not cross react with other intermediate filament proteins.

Disclaimer

Unless otherwise stated in our catalog or other company documentation accompanying the product(s), our products are intended for research use only and are not to be used for any other purpose, which includes but is not limited to, unauthorized commercial uses, in vitro diagnostic uses, ex vivo or in vivo therapeutic uses or any type of consumption or application to humans or animals.

Not finding the right product?  

Try our Product Selector Tool.

Storage Class

12 - Non Combustible Liquids

wgk_germany

WGK 1

flash_point_f

Not applicable

flash_point_c

Not applicable


Choose from one of the most recent versions:

Certificates of Analysis (COA)

Lot/Batch Number

Don't see the Right Version?

If you require a particular version, you can look up a specific certificate by the Lot or Batch number.

Already Own This Product?

Find documentation for the products that you have recently purchased in the Document Library.

Visit the Document Library

Yoshimi Okamoto-Uchida et al.
Scientific reports, 6, 37697-37697 (2016-11-25)
The primitive streak in peri-implantation embryos forms the mesoderm and endoderm and controls cell differentiation. The metabolic cues regulating primitive streak formation remain largely unknown. Here we utilised a mouse embryonic stem (ES) cell differentiation system and a library of
Myoung Sup Shim et al.
Scientific reports, 6, 33830-33830 (2016-09-23)
Mutations in optineurin (OPTN) are linked to the pathology of primary open angle glaucoma (POAG) and amyotrophic lateral sclerosis. Emerging evidence indicates that OPTN mutation is involved in accumulation of damaged mitochondria and defective mitophagy. Nevertheless, the role played by
Neurofilament protein synthesis and phosphorylation
Grant P and Pant H C
Journal of Neurocytology, 29(11-12), 843-872 (2000)
Calcium-mediated proteolytic damage in white matter of hydrocephalic rats?
Del Bigio M R.
Journal of Neuropathology and Experimental Neurology, 59(11), 946-954 (2000)
Stephan Maxeiner et al.
The EMBO journal, 35(10), 1098-1114 (2016-03-02)
Synaptic ribbons are large proteinaceous scaffolds at the active zone of ribbon synapses that are specialized for rapid sustained synaptic vesicles exocytosis. A single ribbon-specific protein is known, RIBEYE, suggesting that ribbons may be constructed from RIBEYE protein. RIBEYE knockdown

Related Content

Our team of scientists has experience in all areas of research including Life Science, Material Science, Chemical Synthesis, Chromatography, Analytical and many others.

Contact Technical Service