Skip to Content
MilliporeSigma

HPA038002

Sigma-Aldrich

Anti-METTL14 antibody produced in rabbit

Prestige Antibodies® Powered by Atlas Antibodies, affinity isolated antibody, buffered aqueous glycerol solution

Synonym(s):

Anti-KIAA1627, Anti-Methyltransferase like 14

Sign Into View Organizational & Contract Pricing

Select a Size


About This Item

UNSPSC Code:
12352203
Human Protein Atlas Number:
NACRES:
NA.41
Technical Service
Need help? Our team of experienced scientists is here for you.
Let Us Assist
Technical Service
Need help? Our team of experienced scientists is here for you.
Let Us Assist

biological source

rabbit

Quality Level

conjugate

unconjugated

antibody form

affinity isolated antibody

antibody product type

primary antibodies

clone

polyclonal

product line

Prestige Antibodies® Powered by Atlas Antibodies

form

buffered aqueous glycerol solution

species reactivity

human

technique(s)

immunofluorescence: 0.25-2 μg/mL
immunohistochemistry: 1:1000-1:2500

immunogen sequence

RSWNMDSRLQEIRERQKLRRQLLAQQLGAESADSIGAVLNSKDEQREIAETRETCRASYDTSAPNAKRKYLDEGETDEDKMEEYKDELEMQQDEE

UniProt accession no.

shipped in

wet ice

storage temp.

−20°C

target post-translational modification

unmodified

Gene Information

human ... METTL14(57721)

General description

The gene METTL14 (methyltransferase like 14) is mapped to human chromosome 4q. It is a homologue of METTL3. The protein has an N-terminal α-helical motif (NHM), methyltransferase domain and a C-terminal motif.

Immunogen

methyltransferase like 14 recombinant protein epitope signature tag (PrEST)

Application

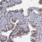
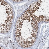
All Prestige Antibodies®Powered by Atlas Antibodies is developed and validated by the Human Protein Atlas (HPA) project . Each antibody is tested by immunohistochemistry against hundreds of normal and disease tissues. These images can be viewed on the Human Protein Atlas (HPA) site by clicking on the Image Gallery link. We also provide Prestige Antibodies® protocols and other useful information.
Anti-METTL14 antibody produced in rabbit has been used in western blotting and immunofluorescence.
Anti-METTL14 antibody produced in rabbit has been used in:
  • cross-linking and RNA immunoprecipitation (CLIP)
  • western blot
  • immunohistochemical analysis

Biochem/physiol Actions

METTL14 (methyltransferase like 14) is mainly responsible for m6A (N6-methyladenosine) RNA methylation. It forms a heterodimer with METTL3 and the complex catalyzes m6A RNA methylation.
METTL14 mutation reduces m6A methylation in ~70% of endometrial tumors.

Features and Benefits

Prestige Antibodies® are highly characterized and extensively validated antibodies with the added benefit of all available characterization data for each target being accessible via the Human Protein Atlas portal linked just below the product name at the top of this page. The uniqueness and low cross-reactivity of the Prestige Antibodies® to other proteins are due to a thorough selection of antigen regions, affinity purification, and stringent selection. Prestige antigen controls are available for every corresponding Prestige Antibody and can be found in the linkage section.

Every Prestige Antibody is tested in the following ways:
  • IHC tissue array of 44 normal human tissues and 20 of the most common cancer type tissues.
  • Protein array of 364 human recombinant protein fragments.

Physical form

Solution in phosphate buffered saline, pH 7.2, containing 40% glycerol and 0.02% sodium azide.

Other Notes

Corresponding Antigen APREST79779

Legal Information

Prestige Antibodies is a registered trademark of Merck KGaA, Darmstadt, Germany

Disclaimer

Unless otherwise stated in our catalog or other company documentation accompanying the product(s), our products are intended for research use only and are not to be used for any other purpose, which includes but is not limited to, unauthorized commercial uses, in vitro diagnostic uses, ex vivo or in vivo therapeutic uses or any type of consumption or application to humans or animals.

Not finding the right product?  

Try our Product Selector Tool.

Storage Class

10 - Combustible liquids

wgk_germany

WGK 1


Choose from one of the most recent versions:

Certificates of Analysis (COA)

Lot/Batch Number

Don't see the Right Version?

If you require a particular version, you can look up a specific certificate by the Lot or Batch number.

Already Own This Product?

Find documentation for the products that you have recently purchased in the Document Library.

Visit the Document Library

The m(6)A Methyltransferase METTL3 Promotes Translation in Human Cancer Cells.
Lin S, et al.
Molecular Cell, 62, 335-335 (2016)
Region-specific RNA m6A methylation represents a new layer of control in the gene regulatory network in the mouse brain
Chang M, et al.
Open Biology, 7(9), 170166-170166 (2017)
Yang Wang et al.
Nature cell biology, 16(2), 191-198 (2014-01-08)
N(6)-methyladenosine (m(6)A) has been identified as the most abundant internal modification of messenger RNA in eukaryotes. m(6)A modification is involved in cell fate determination in yeast and embryo development in plants. Its mammalian function remains unknown but thousands of mammalian
METTL14 inhibits hematopoietic stem/progenitor differentiation and promotes leukemogenesis via mRNA m6A modification
Weng H, et al.
Cell Stem Cell, 22(2), 191-205 (2018)
Structural basis of N(6)-adenosine methylation by the METTL3-METTL14 complex.
Wang X, et al.
Nature, 534, 575-575 (2016)

Our team of scientists has experience in all areas of research including Life Science, Material Science, Chemical Synthesis, Chromatography, Analytical and many others.

Contact Technical Service