Skip to Content
MilliporeSigma

HPA027478

Sigma-Aldrich

Anti-GNAS antibody produced in rabbit

Prestige Antibodies® Powered by Atlas Antibodies, affinity isolated antibody, buffered aqueous glycerol solution, ab1

Synonym(s):

Anti-GNAS complex locus, Anti-GNAS1, Anti-GNASXL, Anti-GPSA, Anti-NESP, Anti-NESP55, Anti-SCG6

Sign Into View Organizational & Contract Pricing

Select a Size


About This Item

UNSPSC Code:
12352203
Human Protein Atlas Number:
NACRES:
NA.41
Technical Service
Need help? Our team of experienced scientists is here for you.
Let Us Assist
Technical Service
Need help? Our team of experienced scientists is here for you.
Let Us Assist

biological source

rabbit

Quality Level

conjugate

unconjugated

antibody form

affinity isolated antibody

antibody product type

primary antibodies

clone

polyclonal

product line

Prestige Antibodies® Powered by Atlas Antibodies

form

buffered aqueous glycerol solution

species reactivity

human

technique(s)

immunoblotting: 0.04-0.4 μg/mL
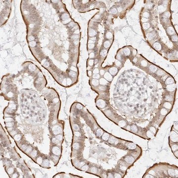
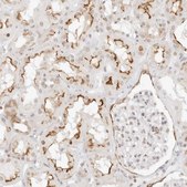
immunohistochemistry: 1:20-1:50

immunogen sequence

GDESDDGTSGCLRWFQHRRNRRRRKPQRNLLRNFLVQAFGGCFGRSESPQPKASRSLKVKKVPLAEKRRQMRKEALEK

UniProt accession no.

shipped in

wet ice

storage temp.

−20°C

target post-translational modification

unmodified

Gene Information

human ... GNAS(2778)

Immunogen

GNAS complex locus recombinant protein epitope signature tag (PrEST)

Application

All Prestige Antibodies Powered by Atlas Antibodies are developed and validated by the Human Protein Atlas (HPA) project and as a result, are supported by the most extensive characterization in the industry.

The Human Protein Atlas project can be subdivided into three efforts: Human Tissue Atlas, Cancer Atlas, and Human Cell Atlas. The antibodies that have been generated in support of the Tissue and Cancer Atlas projects have been tested by immunohistochemistry against hundreds of normal and disease tissues and through the recent efforts of the Human Cell Atlas project, many have been characterized by immunofluorescence to map the human proteome not only at the tissue level but now at the subcellular level. These images and the collection of this vast data set can be viewed on the Human Protein Atlas (HPA) site by clicking on the Image Gallery link. We also provide Prestige Antibodies® protocols and other useful information.

Features and Benefits

Prestige Antibodies® are highly characterized and extensively validated antibodies with the added benefit of all available characterization data for each target being accessible via the Human Protein Atlas portal linked just below the product name at the top of this page. The uniqueness and low cross-reactivity of the Prestige Antibodies® to other proteins are due to a thorough selection of antigen regions, affinity purification, and stringent selection. Prestige antigen controls are available for every corresponding Prestige Antibody and can be found in the linkage section.

Every Prestige Antibody is tested in the following ways:
  • IHC tissue array of 44 normal human tissues and 20 of the most common cancer type tissues.
  • Protein array of 364 human recombinant protein fragments.

Physical form

Solution in phosphate-buffered saline, pH 7.2, containing 40% glycerol and 0.02% sodium azide.

Other Notes

Corresponding Antigen APREST77865

Legal Information

Prestige Antibodies is a registered trademark of Merck KGaA, Darmstadt, Germany

Disclaimer

Unless otherwise stated in our catalog or other company documentation accompanying the product(s), our products are intended for research use only and are not to be used for any other purpose, which includes but is not limited to, unauthorized commercial uses, in vitro diagnostic uses, ex vivo or in vivo therapeutic uses or any type of consumption or application to humans or animals.

Not finding the right product?  

Try our Product Selector Tool.

Storage Class

10 - Combustible liquids

wgk_germany

WGK 1

flash_point_f

Not applicable

flash_point_c

Not applicable


Choose from one of the most recent versions:

Certificates of Analysis (COA)

Lot/Batch Number

Don't see the Right Version?

If you require a particular version, you can look up a specific certificate by the Lot or Batch number.

Already Own This Product?

Find documentation for the products that you have recently purchased in the Document Library.

Visit the Document Library

Kahina Boussaïd et al.
The Journal of clinical endocrinology and metabolism, 98(2), E314-E320 (2013-02-01)
McCune-Albright syndrome (MAS) is characterized by polyostotic fibrous dysplasia, café-au-lait skin pigmentations, and gonadotropin-independent sexual precocious puberty, resulting from a somatic postzygotic activating mutation of the GNAS1 gene. We report a virilizing sclerosing-stromal tumor of the ovary in a young
David W Mathes et al.
Transplantation, 98(2), 131-138 (2014-06-12)
We have previously demonstrated that tolerance to a vascularized composite allograft (VCA) can be achieved after the establishment of mixed chimerism. We test the hypothesis that tolerance to a VCA in our dog leukocyte antigen-matched canine model is not dependent
Joseph R Scalea et al.
Transplant immunology, 31(3), 134-139 (2014-09-23)
We have previously demonstrated that the juvenile thymus plays an essential role in tolerance induced by both renal transplantation and a short course of calcineurin inhibitors. Aged thymi have a decreased ability to induce tolerance. Luteinizing hormone-releasing hormone (LHRH) is
Karthick Raja Muthu Raja et al.
Cytometry. Part B, Clinical cytometry, 86(4), 220-228 (2013-08-08)
Multiple myeloma (MM) is a malignancy of plasma cells frequently associated with immune abnormalities. Several studies have confirmed that in MM immune deregulation can be mediated by increased numbers of CD4 T regulatory (Treg) cells, and these cells were also
Andre Michael Mueller et al.
The Journal of biological chemistry, 289(33), 22888-22899 (2014-06-29)
Hyaluronan (HA) may have proinflammatory roles in the context of CNS autoimmunity. It accumulates in demyelinated multiple sclerosis (MS) lesions, promotes antigen presentation, and enhances T-cell activation and proliferation. HA facilitates lymphocyte binding to vessels and CNS infiltration at the

Our team of scientists has experience in all areas of research including Life Science, Material Science, Chemical Synthesis, Chromatography, Analytical and many others.

Contact Technical Service