Skip to Content
MilliporeSigma

HPA024106

Sigma-Aldrich

Anti-CHRM3 antibody produced in rabbit

Prestige Antibodies® Powered by Atlas Antibodies, affinity isolated antibody, buffered aqueous glycerol solution

Synonym(s):

Anti-Muscarinic acetylcholine receptor M3

Sign Into View Organizational & Contract Pricing

Select a Size


About This Item

UNSPSC Code:
12352203
Human Protein Atlas Number:
NACRES:
NA.41
Technical Service
Need help? Our team of experienced scientists is here for you.
Let Us Assist
Technical Service
Need help? Our team of experienced scientists is here for you.
Let Us Assist

biological source

rabbit

Quality Level

conjugate

unconjugated

antibody form

affinity isolated antibody

antibody product type

primary antibodies

clone

polyclonal

product line

Prestige Antibodies® Powered by Atlas Antibodies

form

buffered aqueous glycerol solution

species reactivity

human

technique(s)

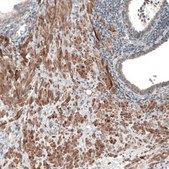
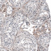
immunohistochemistry: 1:50-1:200

immunogen sequence

LHNNSTTSPLFPNISSSWIHSPSDAGLPPGTVTHFGSYNVSRAAGNFSSPDGTTDDPLGGHTVWQV

UniProt accession no.

shipped in

wet ice

storage temp.

−20°C

target post-translational modification

unmodified

Gene Information

human ... CHRM3(1131)

General description

The muscarinic acetylcholine receptor subtype M3 (CHRM3) codes for M3R protein. It is expressed in islet cells. CHRM3 is located on human chromosome 1q42-43.

Immunogen

Muscarinic acetylcholine receptor M3 recombinant protein epitope signature tag (PrEST)

Application

Applications in which this antibody has been used successfully, and the associated peer-reviewed papers, are given below.
Immunohistochemistry (1 paper)

Biochem/physiol Actions

The muscarinic acetylcholine receptor subtype M3 (CHRM3) plays an important role in promoting insulin secretion. Mutation of CHRM3 impairs urinary system and results in malformed bladders.

Features and Benefits

Prestige Antibodies® are highly characterized and extensively validated antibodies with the added benefit of all available characterization data for each target being accessible via the Human Protein Atlas portal linked just below the product name at the top of this page. The uniqueness and low cross-reactivity of the Prestige Antibodies® to other proteins are due to a thorough selection of antigen regions, affinity purification, and stringent selection. Prestige antigen controls are available for every corresponding Prestige Antibody and can be found in the linkage section.

Every Prestige Antibody is tested in the following ways:
  • IHC tissue array of 44 normal human tissues and 20 of the most common cancer type tissues.
  • Protein array of 364 human recombinant protein fragments.

Physical form

Solution in phosphate-buffered saline, pH 7.2, containing 40% glycerol and 0.02% sodium azide

Other Notes

Corresponding Antigen APREST72748

Legal Information

Prestige Antibodies is a registered trademark of Merck KGaA, Darmstadt, Germany

Disclaimer

Unless otherwise stated in our catalog or other company documentation accompanying the product(s), our products are intended for research use only and are not to be used for any other purpose, which includes but is not limited to, unauthorized commercial uses, in vitro diagnostic uses, ex vivo or in vivo therapeutic uses or any type of consumption or application to humans or animals.

Not finding the right product?  

Try our Product Selector Tool.

Storage Class

10 - Combustible liquids

wgk_germany

WGK 1

flash_point_f

Not applicable

flash_point_c

Not applicable


Choose from one of the most recent versions:

Certificates of Analysis (COA)

Lot/Batch Number

Don't see the Right Version?

If you require a particular version, you can look up a specific certificate by the Lot or Batch number.

Already Own This Product?

Find documentation for the products that you have recently purchased in the Document Library.

Visit the Document Library

Control of insulin secretion by cholinergic signaling in the human pancreatic islet.
Molina J, et al.
Diabetes, 67(12) (2014)
CHRM3 gene variation is associated with decreased acute insulin secretion and increased risk for early-onset type 2 diabetes in Pima Indians.
Guo Y, et al.
Diabetes, 55(12), 3625-3629 (2006)
Differential expression of M3 muscarinic receptors in progressive colon neoplasia and metastasis.
Cheng K, et al.
Oncotarget, 8(13), 21106-21106 (2017)
The Functional Haplotypes of CHRM3 Modulate mRNA Expression and Associate with Bladder Cancer among a Chinese Han Population in Kaohsiung City.
Wang CT, et al.
BioMed Research International, 10-10 (2016)
Judith Molina et al.
Diabetes, 63(8), 2714-2726 (2014-03-25)
Acetylcholine regulates hormone secretion from the pancreatic islet and is thus crucial for glucose homeostasis. Little is known, however, about acetylcholine (cholinergic) signaling in the human islet. We recently reported that in the human islet, acetylcholine is primarily a paracrine

Our team of scientists has experience in all areas of research including Life Science, Material Science, Chemical Synthesis, Chromatography, Analytical and many others.

Contact Technical Service