Skip to Content
MilliporeSigma

HPA023600

Anti-AFP antibody produced in rabbit

Prestige Antibodies® Powered by Atlas Antibodies, affinity isolated antibody, buffered aqueous glycerol solution

Synonym(s):

Anti-Alpha-1-fetoprotein, Anti-Alpha-fetoglobulin, Anti-Alpha-fetoprotein

Sign In to View Organizational & Contract Pricing.

Select a Size

Change View

About This Item

UNSPSC Code:
12352203
NACRES:
NA.41
MDL number:
Human Protein Atlas Number:
Conjugate:
unconjugated
Clone:
polyclonal
Application:
IHC
Citations:
6
Technical Service
Need help? Our team of experienced scientists is here for you.
Let Us Assist


biological source

rabbit

Quality Level

conjugate

unconjugated

antibody form

affinity isolated antibody

antibody product type

primary antibodies

clone

polyclonal

product line

Prestige Antibodies® Powered by Atlas Antibodies

form

buffered aqueous glycerol solution

species reactivity

human

technique(s)

immunoblotting: 0.04-0.4 μg/mL, immunohistochemistry: 1:200-1:500

immunogen sequence

ITECCKLTTLERGQCIIHAENDEKPEGLSPNLNRFLGDRDFNQFSSGEKNIFLASFVHEYSRRHPQLAVSVILRVAKGYQELLEKCFQTENPLECQDKGEEELQKYIQESQALAKRSCGLFQKLGEYYLQNAFLVA

UniProt accession no.

application(s)

research pathology

shipped in

wet ice

storage temp.

−20°C

target post-translational modification

unmodified

Gene Information

human ... AFP(174)

General description

The gene AFP (alpha fetoprotein) encodes a plasma glycoprotein that has a molar mass of 70kDa. The gene is mapped to human chromosome 4. The gene is evolutionarily-related to serum albumin, which is also mapped to human chromosome 4.It is synthesized along with serum albumin during the development of embryonic yolk sac and the liver.

Immunogen

Alpha-fetoprotein Precursor recombinant protein epitope signature tag (PrEST)

Application

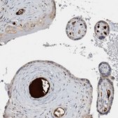
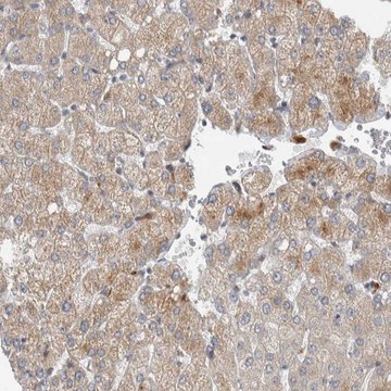
All Prestige Antibodies®Powered by Atlas Antibodies is developed and validated by the Human Protein Atlas (HPA) project . Each antibody is tested by immunohistochemistry against hundreds of normal and disease tissues. These images can be viewed on the Human Protein Atlas (HPA) site by clicking on the Image Gallery link. We also provide Prestige Antibodies® protocols and other useful information.

Biochem/physiol Actions

Alpha-fetoprotein encoded by the gene AFP is involved in the regulation of fatty acids in both fetal and proliferating adult liver cells. Its expression is found to be increased in acute liver injuries, indicating active liver regeneration. It has been associated with fatty liver disease (FLD), a disease that may lead to cirrhosis and hepatocellular carcinoma. It serves as a tumor marker for HCC (hepatocellular carcinoma).

Features and Benefits

Prestige Antibodies® are highly characterized and extensively validated antibodies with the added benefit of all available characterization data for each target being accessible via the Human Protein Atlas portal linked just below the product name at the top of this page. The uniqueness and low cross-reactivity of the Prestige Antibodies® to other proteins are due to a thorough selection of antigen regions, affinity purification, and stringent selection. Prestige antigen controls are available for every corresponding Prestige Antibody and can be found in the linkage section.

Every Prestige Antibody is tested in the following ways:
  • IHC tissue array of 44 normal human tissues and 20 of the most common cancer type tissues.
  • Protein array of 364 human recombinant protein fragments.

Physical form

Solution in phosphate-buffered saline, pH 7.2, containing 40% glycerol and 0.02% sodium azide

Other Notes

Corresponding Antigen APREST86804

Legal Information

Prestige Antibodies is a registered trademark of Merck KGaA, Darmstadt, Germany

Disclaimer

Unless otherwise stated in our catalog or other company documentation accompanying the product(s), our products are intended for research use only and are not to be used for any other purpose, which includes but is not limited to, unauthorized commercial uses, in vitro diagnostic uses, ex vivo or in vivo therapeutic uses or any type of consumption or application to humans or animals.


Still not finding the right product?

or

Try our Product Selector Tool to narrow your options


Storage Class

10 - Combustible liquids

wgk

WGK 1

flash_point_f

Not applicable

flash_point_c

Not applicable



Choose from one of the most recent versions:

Certificates of Analysis (COA)

Lot/Batch Number

It looks like we've run into a problem, but you can still download Certificates of Analysis from our Documents section.

If you need assistance, please contact Customer Support

Already Own This Product?

Find documentation for the products that you have recently purchased in the Document Library.

Visit the Document Library



Modeling Nonalcoholic Fatty Liver Disease with Human Pluripotent Stem Cell-Derived Immature Hepatocyte-Like Cells Reveals Activation of PLIN2 and Confirms Regulatory Functions of Peroxisome Proliferator-Activated Receptor Alpha.
Graffmann N
Stem Cells and Development, 25, 1119-1133 (2016)
Seung In Seo et al.
Hepato-gastroenterology, 60(127), 1592-1596 (2014-03-19)
The clinical course of acute viral hepatitis A (AHA) is highly variable. Serum alphafetoprotein (AFP) level is often elevated in various types of acute liver injuries, indicating active liver regeneration. This study was aimed to investigate the clinical significance of
Ping Xu et al.
World journal of gastroenterology, 20(33), 11865-11870 (2014-09-11)
To investigate the association between serum alpha-fetoprotein (AFP) levels and fatty liver disease (FLD) in a Chinese population. A cross-sectional study was performed among subjects who presented for a health examination at the First Affiliated Hospital, College of Medicine, Zhejiang



Global Trade Item Number

SKUGTIN
HPA023600-100UL04061837126697