Skip to Content
MilliporeSigma

HPA019875

Sigma-Aldrich

Anti-RINT1 antibody produced in rabbit

Prestige Antibodies® Powered by Atlas Antibodies, affinity isolated antibody, buffered aqueous glycerol solution

Synonym(s):

Anti-HsRINT-1, Anti-Protein RINT-1, Anti-RAD50 interactor 1, Anti-RAD50-interacting protein 1

Sign Into View Organizational & Contract Pricing

Select a Size


About This Item

MDL number:
UNSPSC Code:
12352203
Human Protein Atlas Number:
NACRES:
NA.41
Technical Service
Need help? Our team of experienced scientists is here for you.
Let Us Assist
Technical Service
Need help? Our team of experienced scientists is here for you.
Let Us Assist

biological source

rabbit

Quality Level

conjugate

unconjugated

antibody form

affinity isolated antibody

antibody product type

primary antibodies

clone

polyclonal

product line

Prestige Antibodies® Powered by Atlas Antibodies

form

buffered aqueous glycerol solution

species reactivity

human

technique(s)

immunoblotting: 0.04-0.4 μg/mL
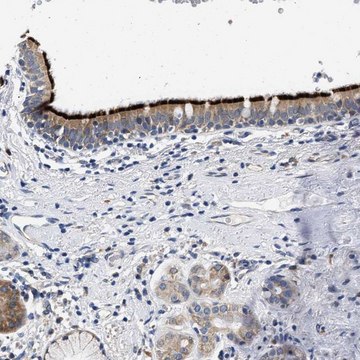
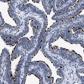
immunohistochemistry: 1:50-1:200

immunogen sequence

PCCSESGDERKNLEEKSDINVTVLIGSKQVSEGTDNGDLPSYVSAFIEKEVGNDLKSLKKLDKLIEQRTVSKMQLEEQVLTISSEIPKRIRSALKNAEESKQFLNQFLEQETHLFS

UniProt accession no.

shipped in

wet ice

storage temp.

−20°C

target post-translational modification

unmodified

Gene Information

human ... RINT1(60561)

General description

RINT1 (RAD50 interactor 1) is a novel Rad50-interacting protein with a molecular mass of 87kDa. It comprises of an N-terminal coiled-coil domain, a conserved central domain, and a C-terminal domain.

Immunogen

RAD50-interacting protein 1 recombinant protein epitope signature tag (PrEST)

Application

All Prestige Antibodies Powered by Atlas Antibodies are developed and validated by the Human Protein Atlas (HPA) project and as a result, are supported by the most extensive characterization in the industry.

The Human Protein Atlas project can be subdivided into three efforts: Human Tissue Atlas, Cancer Atlas, and Human Cell Atlas. The antibodies that have been generated in support of the Tissue and Cancer Atlas projects have been tested by immunohistochemistry against hundreds of normal and disease tissues and through the recent efforts of the Human Cell Atlas project, many have been characterized by immunofluorescence to map the human proteome not only at the tissue level but now at the subcellular level. These images and the collection of this vast data set can be viewed on the Human Protein Atlas (HPA) site by clicking on the Image Gallery link. We also provide Prestige Antibodies® protocols and other useful information.

Biochem/physiol Actions

RINT1 (RAD50 interactor 1) is mainly involved in the regulation of telomere lengthening via Rb/E2F pathway. In control of telomere length, it forms a complex with p130 (a nucleolar phosphoprotein) and Rad50, which restricts telomerase-independent telomere lengthening in normal cells. The conserved central and C-terminal domains of RINT1 directly interact with Rad50 during late S and G2/M phases of cell cycle. It has been suggested that RINT1 may be involved in the DNA damage repair via regulating cell cycle progression.

Features and Benefits

Prestige Antibodies® are highly characterized and extensively validated antibodies with the added benefit of all available characterization data for each target being accessible via the Human Protein Atlas portal linked just below the product name at the top of this page. The uniqueness and low cross-reactivity of the Prestige Antibodies® to other proteins are due to a thorough selection of antigen regions, affinity purification, and stringent selection. Prestige antigen controls are available for every corresponding Prestige Antibody and can be found in the linkage section.

Every Prestige Antibody is tested in the following ways:
  • IHC tissue array of 44 normal human tissues and 20 of the most common cancer type tissues.
  • Protein array of 364 human recombinant protein fragments.

Physical form

Solution in phosphate-buffered saline, pH 7.2, containing 40% glycerol and 0.02% sodium azide

Other Notes

Corresponding Antigen APREST74982

Legal Information

Prestige Antibodies is a registered trademark of Merck KGaA, Darmstadt, Germany

Disclaimer

Unless otherwise stated in our catalog or other company documentation accompanying the product(s), our products are intended for research use only and are not to be used for any other purpose, which includes but is not limited to, unauthorized commercial uses, in vitro diagnostic uses, ex vivo or in vivo therapeutic uses or any type of consumption or application to humans or animals.

Not finding the right product?  

Try our Product Selector Tool.

Storage Class

10 - Combustible liquids

wgk_germany

WGK 1

flash_point_f

Not applicable

flash_point_c

Not applicable


Choose from one of the most recent versions:

Certificates of Analysis (COA)

Lot/Batch Number

Don't see the Right Version?

If you require a particular version, you can look up a specific certificate by the Lot or Batch number.

Already Own This Product?

Find documentation for the products that you have recently purchased in the Document Library.

Visit the Document Library

Sudeshna Roy Chowdhury et al.
The Journal of cell biology, 219(4) (2020-04-25)
COPI vesicles mediate Golgi-to-ER recycling, but COPI vesicle arrival sites at the ER have been poorly defined. We explored this issue using the yeast Pichia pastoris. ER arrival sites (ERAS) can be visualized by labeling COPI vesicle tethers such as
J Xiao et al.
The Journal of biological chemistry, 276(9), 6105-6111 (2000-11-30)
Rad50, an structural maintenance of chromosomes (SMC) protein family member, participates in a variety of cellular processes, including DNA double-strand break repair, cell cycle checkpoint activation, telomere maintenance, and meiosis. Disruption of Rad50 in mice leads to lethality during early
Linbo Zhao et al.
mSphere, 2(4) (2017-08-18)
BK polyomavirus (BKPyV) is a human pathogen first isolated in 1971. BKPyV infection is ubiquitous in the human population, with over 80% of adults worldwide being seropositive for BKPyV. BKPyV infection is usually asymptomatic; however, BKPyV reactivation in immunosuppressed transplant
Nathalie Launay et al.
The Journal of clinical investigation, 133(14) (2023-07-18)
The Rad50 interacting protein 1 (Rint1) is a key player in vesicular trafficking between the ER and Golgi apparatus. Biallelic variants in RINT1 cause infantile-onset episodic acute liver failure (ALF). Here, we describe 3 individuals from 2 unrelated families with
Ling-Jie Kong et al.
Molecular cell, 22(1), 63-71 (2006-04-08)
The oncogenic process often leads to a loss of normal telomere length control, usually as a result of activation of telomerase. Nevertheless, there are also telomerase-independent events that involve a Rad50-dependent recombination mechanism to maintain telomere length. Previous work has

Related Content

Prestige Antibodies Immunofluorescence Procedure

Our team of scientists has experience in all areas of research including Life Science, Material Science, Chemical Synthesis, Chromatography, Analytical and many others.

Contact Technical Service