Skip to Content
MilliporeSigma

HPA019036

Sigma-Aldrich

Anti-XK antibody produced in rabbit

Prestige Antibodies® Powered by Atlas Antibodies, affinity isolated antibody, buffered aqueous glycerol solution

Synonym(s):

Anti-Kx, Anti-NA, Anti-NAC, Anti-X1k, Anti-XKR1

Sign Into View Organizational & Contract Pricing

Select a Size


About This Item

UNSPSC Code:
12352203
Human Protein Atlas Number:
NACRES:
NA.41
Technical Service
Need help? Our team of experienced scientists is here for you.
Let Us Assist
Technical Service
Need help? Our team of experienced scientists is here for you.
Let Us Assist

biological source

rabbit

Quality Level

conjugate

unconjugated

antibody form

affinity isolated antibody

antibody product type

primary antibodies

clone

polyclonal

product line

Prestige Antibodies® Powered by Atlas Antibodies

form

buffered aqueous glycerol solution

species reactivity

human

technique(s)

immunofluorescence: 0.25-2 μg/mL
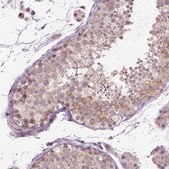
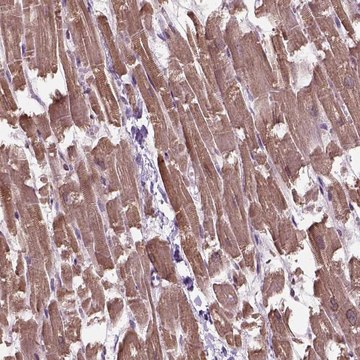
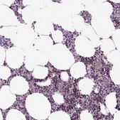
immunohistochemistry: 1:1000-1:2500

immunogen sequence

DLSRDRPLVLLLHLLQLGPLFRCFEVFCIYFQSGNNEEPYVSITKKRQMPKNGLSEEIEKEVGQAEGKLITHRSAFSRA

UniProt accession no.

shipped in

wet ice

storage temp.

−20°C

target post-translational modification

unmodified

Gene Information

human ... XK(7504)

General description

The gene XK (membrane transport protein) is mapped to human chromosome Xp21.1. It is widely expressed with strong expression in red cells, nervous tissue and heart.

Immunogen

X-linked Kx blood group

Application

All Prestige Antibodies Powered by Atlas Antibodies are developed and validated by the Human Protein Atlas (HPA) project and as a result, are supported by the most extensive characterization in the industry.

The Human Protein Atlas project can be subdivided into three efforts: Human Tissue Atlas, Cancer Atlas, and Human Cell Atlas. The antibodies that have been generated in support of the Tissue and Cancer Atlas projects have been tested by immunohistochemistry against hundreds of normal and disease tissues and through the recent efforts of the Human Cell Atlas project, many have been characterized by immunofluorescence to map the human proteome not only at the tissue level but now at the subcellular level. These images and the collection of this vast data set can be viewed on the Human Protein Atlas (HPA) site by clicking on the Image Gallery link. We also provide Prestige Antibodies® protocols and other useful information.

Biochem/physiol Actions

XK (Membrane transport protein) is linked to the cell membrane protein, KELL (Kell blood group glycoprotein), via disulfide bond. Mutations in XK causes McLeod syndrome, characterized by weakening of KELL system antigens and neuroacanthocytosis. Humans suffering from McLeod phenotype develop late-onset neuromuscular defects. XK is also linked with neuroacanthocytosis in mood disorder and schizophrenia.

Features and Benefits

Prestige Antibodies® are highly characterized and extensively validated antibodies with the added benefit of all available characterization data for each target being accessible via the Human Protein Atlas portal linked just below the product name at the top of this page. The uniqueness and low cross-reactivity of the Prestige Antibodies® to other proteins are due to a thorough selection of antigen regions, affinity purification, and stringent selection. Prestige antigen controls are available for every corresponding Prestige Antibody and can be found in the linkage section.

Every Prestige Antibody is tested in the following ways:
  • IHC tissue array of 44 normal human tissues and 20 of the most common cancer type tissues.
  • Protein array of 364 human recombinant protein fragments.

Physical form

Solution in phosphate-buffered saline, pH 7.2, containing 40% glycerol and 0.02% sodium azide

Other Notes

Corresponding Antigen APREST74335

Legal Information

Prestige Antibodies is a registered trademark of Merck KGaA, Darmstadt, Germany

Disclaimer

Unless otherwise stated in our catalog or other company documentation accompanying the product(s), our products are intended for research use only and are not to be used for any other purpose, which includes but is not limited to, unauthorized commercial uses, in vitro diagnostic uses, ex vivo or in vivo therapeutic uses or any type of consumption or application to humans or animals.

Not finding the right product?  

Try our Product Selector Tool.

Storage Class

10 - Combustible liquids

wgk_germany

WGK 1

flash_point_f

Not applicable

flash_point_c

Not applicable


Choose from one of the most recent versions:

Certificates of Analysis (COA)

Lot/Batch Number

Don't see the Right Version?

If you require a particular version, you can look up a specific certificate by the Lot or Batch number.

Already Own This Product?

Find documentation for the products that you have recently purchased in the Document Library.

Visit the Document Library

D Russo et al.
The Journal of biological chemistry, 273(22), 13950-13956 (1998-06-05)
A disulfide bond links Kell and XK red cell membrane proteins. Kell, a type II membrane glycoprotein, carries over 20 blood group antigens, and XK, which spans the membrane 10 times, is lacking in rare individuals with the McLeod syndrome.
Hirochika Shimo et al.
Neuroscience research, 69(3), 196-202 (2010-12-15)
Neuroacanthocytosis syndromes are mainly comprised of two diseases: chorea-acanthocytosis (ChAc) and McLeod syndrome (MLS). There is a high incidence of psychiatric disorders such as mood disorder and schizophrenia among neuroacanthocytosis patients. We hypothesized that neuroacanthocytosis-related-genes might be associated with susceptibility
Patrycja M Dubielecka et al.
Journal of the neurological sciences, 305(1-2), 160-164 (2011-04-06)
McLeod syndrome (MLS) is a rare, X-linked, late-onset, disease involving hematological, brain, and neuromuscular systems, caused by mutations in XK that result in either defective XK or complete loss of XK protein. Acanthocytosis of erythrocytes is a typical feature. We
A Danek et al.
Annals of neurology, 50(6), 755-764 (2002-01-05)
McLeod syndrome is caused by mutations of XK, an X-chromosomal gene of unknown function. Originally defined as a peculiar Kell blood group variant, the disease affects multiple organs, including the nervous system, but is certainly underdiagnosed. We analyzed the mutations
David C W Russo et al.
Transfusion, 42(3), 287-293 (2002-04-19)
The McLeod phenotype is defined by absence of Kx, weakening of Kell system antigens, and acanthocytosis. Individuals with the McLeod phenotype usually develop late-onset neuromuscular abnormalities. Gene deletions, insertions, and point mutations that affect RNA splicing or that lead to

Our team of scientists has experience in all areas of research including Life Science, Material Science, Chemical Synthesis, Chromatography, Analytical and many others.

Contact Technical Service