HPA015104
Anti-MTDH antibody produced in rabbit

Prestige Antibodies® Powered by Atlas Antibodies, affinity isolated antibody, buffered aqueous glycerol solution
Synonym(s):
Anti-3D3/lyric antibody produced in rabbit, Anti-AEG-1 antibody produced in rabbit, Anti-Astrocyte elevated gene-1 protein antibody produced in rabbit, Anti-Lysine-rich CEACAM1 co-isolated protein antibody produced in rabbit, Anti-Metadherin antibody produced in rabbit, Anti-Metastasis adhesion protein antibody produced in rabbit, Anti-Protein LYRIC antibody produced in rabbit
biological source
rabbit
Quality Level
conjugate
unconjugated
antibody form
affinity isolated antibody
antibody product type
primary antibodies
clone
polyclonal
product line
Prestige Antibodies® Powered by Atlas Antibodies
form
buffered aqueous glycerol solution
species reactivity
human
enhanced validation
independent
Learn more about Antibody Enhanced Validation
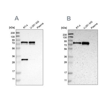
technique(s)
immunoblotting: 0.04-0.4 μg/mL
immunofluorescence: 0.25-2 μg/mL
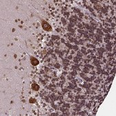
immunohistochemistry: 1:200-1:500
immunogen sequence
NSSRHDGKEVDEGAWETKISHREKRQQRKRDKVLTDSGSLDSTIPGIENTITVTTEQLTTASFPVGSKKNKGDSHLNVQVSNFKSGKGDSTLQVSSGLNENLTVNGGGWNEKSVKLSSQISAGEEKWNSVSPA
UniProt accession no.
shipped in
wet ice
storage temp.
−20°C
target post-translational modification
unmodified
Gene Information
human ... MTDH(92140)
Looking for similar products? Visit Product Comparison Guide
Related Categories
General description
Immunogen
Application
Biochem/physiol Actions
Features and Benefits
Every Prestige Antibody is tested in the following ways:
- IHC tissue array of 44 normal human tissues and 20 of the most common cancer type tissues.
- Protein array of 364 human recombinant protein fragments.
Physical form
Other Notes
Legal Information
Disclaimer
Not finding the right product?
Try our Product Selector Tool.
Storage Class
10 - Combustible liquids
wgk_germany
WGK 1
flash_point_f
Not applicable
flash_point_c
Not applicable
ppe
Eyeshields, Gloves, multi-purpose combination respirator cartridge (US)
Choose from one of the most recent versions:
Already Own This Product?
Find documentation for the products that you have recently purchased in the Document Library.
Related Content
Prestige Antibodies Immunofluorescence Procedure
Our team of scientists has experience in all areas of research including Life Science, Material Science, Chemical Synthesis, Chromatography, Analytical and many others.
Contact Technical Service