Skip to Content
MilliporeSigma

HPA007917

Sigma-Aldrich

Anti-IL1RL1 antibody produced in rabbit

Ab2, Prestige Antibodies® Powered by Atlas Antibodies, affinity isolated antibody, buffered aqueous glycerol solution

Synonym(s):

Anti-Interleukin-1 receptor-like 1 precursor antibody produced in rabbit, Anti-ST2 protein antibody produced in rabbit

Sign Into View Organizational & Contract Pricing

Select a Size


About This Item

UNSPSC Code:
12352203
Human Protein Atlas Number:
NACRES:
NA.41
Technical Service
Need help? Our team of experienced scientists is here for you.
Let Us Assist
Technical Service
Need help? Our team of experienced scientists is here for you.
Let Us Assist

biological source

rabbit

Quality Level

conjugate

unconjugated

antibody form

affinity isolated antibody

antibody product type

primary antibodies

clone

polyclonal

product line

Prestige Antibodies® Powered by Atlas Antibodies

form

buffered aqueous glycerol solution

species reactivity

human

technique(s)

immunofluorescence: 0.25-2 μg/mL
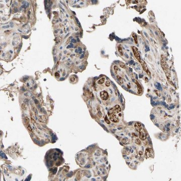
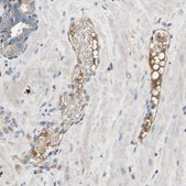
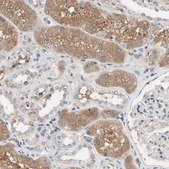
immunohistochemistry: 1:20-1:50

immunogen sequence

PSYTVDWYYSQTNKSIPTQERNRVFASGQLLKFLPAAVADSGIYTCIVRSPTFNRTGYANVTIYKKQSDCNVPDYLMYSTVSGSEKNSKIYCPTIDLYNWTAPLEWFKNCQALQGSRY

UniProt accession no.

shipped in

wet ice

storage temp.

−20°C

target post-translational modification

unmodified

Gene Information

human ... IL1RL1(9173)

Looking for similar products? Visit Product Comparison Guide

General description

IL1RL1 (interleukin 1 receptor-like 1) forms a cytokine receptor gene cluster on human chromosome 2q12 along with interleukin 1 receptor, type II (IL1R2) and interleukin 1 receptor-like 2 (IL1RL2).

Immunogen

Interleukin-1 receptor-like 1 precursor recombinant protein epitope signature tag (PrEST)

Application

All Prestige Antibodies Powered by Atlas Antibodies are developed and validated by the Human Protein Atlas (HPA) project and as a result, are supported by the most extensive characterization in the industry.

The Human Protein Atlas project can be subdivided into three efforts: Human Tissue Atlas, Cancer Atlas, and Human Cell Atlas. The antibodies that have been generated in support of the Tissue and Cancer Atlas projects have been tested by immunohistochemistry against hundreds of normal and disease tissues and through the recent efforts of the Human Cell Atlas project, many have been characterized by immunofluorescence to map the human proteome not only at the tissue level but now at the subcellular level. These images and the collection of this vast data set can be viewed on the Human Protein Atlas (HPA) site by clicking on the Image Gallery link. We also provide Prestige Antibodies® protocols and other useful information.

Biochem/physiol Actions

IL1RL1 (interleukin 1 receptor-like 1) gene encodes a protein belonging to the interleukin 1 receptor family. It serves as a receptor for the ligand IL-33, a member of the IL-1 family of cytokines. IL-33 activates this receptor upon proinflammatory stimuli. The activated receptor may play a role in the inflammatory responses of TH2 cells and eosinophilia. Polymorphism in this gene may be linked to serum IL1RL1-α, eosinophils, and asthma in childhood.

Features and Benefits

Prestige Antibodies® are highly characterized and extensively validated antibodies with the added benefit of all available characterization data for each target being accessible via the Human Protein Atlas portal linked just below the product name at the top of this page. The uniqueness and low cross-reactivity of the Prestige Antibodies® to other proteins are due to a thorough selection of antigen regions, affinity purification, and stringent selection. Prestige antigen controls are available for every corresponding Prestige Antibody and can be found in the linkage section.

Every Prestige Antibody is tested in the following ways:
  • IHC tissue array of 44 normal human tissues and 20 of the most common cancer type tissues.
  • Protein array of 364 human recombinant protein fragments.

Physical form

Solution in phosphate-buffered saline, pH 7.2, containing 40% glycerol and 0.02% sodium azide

Other Notes

Corresponding Antigen APREST71823

Legal Information

Prestige Antibodies is a registered trademark of Merck KGaA, Darmstadt, Germany

Disclaimer

Unless otherwise stated in our catalog or other company documentation accompanying the product(s), our products are intended for research use only and are not to be used for any other purpose, which includes but is not limited to, unauthorized commercial uses, in vitro diagnostic uses, ex vivo or in vivo therapeutic uses or any type of consumption or application to humans or animals.

Not finding the right product?  

Try our Product Selector Tool.

Storage Class

10 - Combustible liquids

wgk_germany

WGK 1

flash_point_f

Not applicable

flash_point_c

Not applicable

ppe

Eyeshields, Gloves, multi-purpose combination respirator cartridge (US)


Choose from one of the most recent versions:

Certificates of Analysis (COA)

Lot/Batch Number

Don't see the Right Version?

If you require a particular version, you can look up a specific certificate by the Lot or Batch number.

Already Own This Product?

Find documentation for the products that you have recently purchased in the Document Library.

Visit the Document Library

Lin Lin et al.
Aging, 12(2), 1685-1703 (2020-02-01)
IL-33 is an important member of the IL-1 family which has pleiotropic activities in innate and adaptive immune responses. Recently, some researchers have focused on the function of cellular immunity in the development of tumor. The biological role of IL-33
Olga E M Savenije et al.
The Journal of allergy and clinical immunology, 127(3), 750-756 (2011-02-02)
IL-1 receptor-like 1 (IL1RL1) is a membrane receptor involved in T(H)2 inflammatory responses and eosinophilia. Single nucleotide polymorphisms (SNPs) in IL1RL1 have been associated with blood eosinophil counts in a genome-wide association study and with asthma in family-based and case-control
Shinjiro Kaieda et al.
The Journal of biological chemistry, 285(28), 21478-21486 (2010-04-30)
A characteristic feature of tissue resident human mast cells (MCs) is their hTryptase-beta-rich cytoplasmic granules. Mouse MC protease-6 (mMCP-6) is the ortholog of hTryptase-beta, and we have shown that this tetramer-forming tryptase has beneficial roles in innate immunity but adverse
M Dale et al.
Genomics, 57(1), 177-179 (1999-04-07)
The family of interleukin-1 receptor-like genes currently has six known members. We have constructed a contig of 10 overlapping human PAC clones that covers 530 kb and includes five of the six family members. The termini of the contig were
Jochen Schmitz et al.
Immunity, 23(5), 479-490 (2005-11-16)
Cytokines of the interleukin-1 (IL-1) family, such as IL-1 alpha/beta and IL-18, have important functions in host defense, immune regulation, and inflammation. Insight into their biological functions has led to novel therapeutic approaches to treat human inflammatory diseases. Within the

Our team of scientists has experience in all areas of research including Life Science, Material Science, Chemical Synthesis, Chromatography, Analytical and many others.

Contact Technical Service