Skip to Content
MilliporeSigma

HPA006366

Sigma-Aldrich

Anti-POLRMT antibody produced in rabbit

Prestige Antibodies® Powered by Atlas Antibodies, affinity isolated antibody, buffered aqueous glycerol solution

Synonym(s):

Anti-DNA-directed RNA polymerase, mitochondrial precursor antibody produced in rabbit, Anti-MtRPOL antibody produced in rabbit

Sign Into View Organizational & Contract Pricing

Select a Size


About This Item

UNSPSC Code:
12352203
Human Protein Atlas Number:
NACRES:
NA.41
Technical Service
Need help? Our team of experienced scientists is here for you.
Let Us Assist
Technical Service
Need help? Our team of experienced scientists is here for you.
Let Us Assist

biological source

rabbit

Quality Level

conjugate

unconjugated

antibody form

affinity isolated antibody

antibody product type

primary antibodies

clone

polyclonal

product line

Prestige Antibodies® Powered by Atlas Antibodies

form

buffered aqueous glycerol solution

species reactivity

human

technique(s)

immunofluorescence: 0.25-2 μg/mL
immunohistochemistry: 1:20-1:50

immunogen sequence

ELVYVLFMVKDAGLTPDLLSYAAALQCMGRQDQDAGTIERCLEQMSQEGLKLQALFTAVLLSEEDRATVLKAVHKVKPTFSLPPQLPPPVNTSKLLRDVYAKDGRVSYPKLHLPLKTLQCLFEKQLH

UniProt accession no.

shipped in

wet ice

storage temp.

−20°C

target post-translational modification

unmodified

Gene Information

human ... POLRMT(5442)

General description

POLRMT (polymerase (RNA) mitochondrial) gene is located on human chromosome 19p13.3, which codes for a protein of 1230 amino acids. This protein is composed of a unique pentatricopeptide repeat (PPR) domain, a catalytic domain at its C-terminal, and a N-terminal that is similar to the promoter-binding domain of T7 POLRMT.

Immunogen

DNA-directed RNA polymerase, mitochondrial precursor recombinant protein epitope signature tag (PrEST)

Application

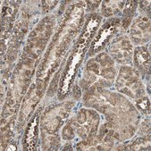
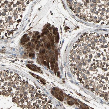
Anti-POLRMT antibody produced in rabbit, a Prestige Antibody, is developed and validated by the Human Protein Atlas (HPA) project . Each antibody is tested by immunohistochemistry against hundreds of normal and disease tissues. These images can be viewed on the Human Protein Atlas (HPA) site by clicking on the Image Gallery link. The antibodies are also tested using immunofluorescence and western blotting. To view these protocols and other useful information about Prestige Antibodies and the HPA, visit sigma.com/prestige.

Biochem/physiol Actions

POLRMT (polymerase (RNA) mitochondrial) is involved in the replication of mitochondrial DNA where it acts as an RNA primase. It is also involved in the transcription of 13 subunits of oxidative phosphorylation (OXPHOS) complexes. It is a part of RNA transcription where it needs the aid of B2M (β-2-microglobulin) and transcription factor AM (active motif).

Features and Benefits

Prestige Antibodies® are highly characterized and extensively validated antibodies with the added benefit of all available characterization data for each target being accessible via the Human Protein Atlas portal linked just below the product name at the top of this page. The uniqueness and low cross-reactivity of the Prestige Antibodies® to other proteins are due to a thorough selection of antigen regions, affinity purification, and stringent selection. Prestige antigen controls are available for every corresponding Prestige Antibody and can be found in the linkage section.

Every Prestige Antibody is tested in the following ways:
  • IHC tissue array of 44 normal human tissues and 20 of the most common cancer type tissues.
  • Protein array of 364 human recombinant protein fragments.

Physical form

Solution in phosphate-buffered saline, pH 7.2, containing 40% glycerol and 0.02% sodium azide

Other Notes

Corresponding Antigen APREST86643

Legal Information

Prestige Antibodies is a registered trademark of Merck KGaA, Darmstadt, Germany

Disclaimer

Unless otherwise stated in our catalog or other company documentation accompanying the product(s), our products are intended for research use only and are not to be used for any other purpose, which includes but is not limited to, unauthorized commercial uses, in vitro diagnostic uses, ex vivo or in vivo therapeutic uses or any type of consumption or application to humans or animals.

Not finding the right product?  

Try our Product Selector Tool.

Storage Class

10 - Combustible liquids

wgk_germany

WGK 1

flash_point_f

Not applicable

flash_point_c

Not applicable

ppe

Eyeshields, Gloves, multi-purpose combination respirator cartridge (US)


Choose from one of the most recent versions:

Certificates of Analysis (COA)

Lot/Batch Number

Don't see the Right Version?

If you require a particular version, you can look up a specific certificate by the Lot or Batch number.

Already Own This Product?

Find documentation for the products that you have recently purchased in the Document Library.

Visit the Document Library

Kathrin Schwinghammer et al.
Nature structural & molecular biology, 20(11), 1298-1303 (2013-10-08)
Here we report the crystal structure of the human mitochondrial RNA polymerase (mtRNAP) transcription elongation complex, determined at 2.65-Å resolution. The structure reveals a 9-bp hybrid formed between the DNA template and the RNA transcript and one turn of DNA
Ahmed F Salem et al.
Cell cycle (Georgetown, Tex.), 11(22), 4174-4180 (2012-10-17)
Here, we set out to test the novel hypothesis that increased mitochondrial biogenesis in epithelial cancer cells would "fuel" enhanced tumor growth. For this purpose, we generated MDA-MB-231 cells (a triple-negative human breast cancer cell line) overexpressing PGC-1α and MitoNEET
Yu-Ling Lee et al.
PloS one, 6(7), e22583-e22583 (2011-07-30)
Actins are the major constituent of the cytoskeleton. In this report we present several lines of evidence that muscle actin genes are transcribed by nuclear isoform of mitochondrial RNA polymerase (spRNAP-IV) whereas the non-muscle actin genes are transcribed by the
V Tiranti et al.
Human molecular genetics, 6(4), 615-625 (1997-04-01)
A gene cloning strategy based on the screening of the Expressed Sequence Tags database (dbEST) using sequences of mitochondrial housekeeping proteins of yeast was employed to identify the cDNA encoding the precursor of the human mitochondrial RNA polymerase (h-mtRPOL). The
Federica Sotgia et al.
Cell cycle (Georgetown, Tex.), 11(23), 4390-4401 (2012-11-23)
Here, we present new genetic and morphological evidence that human tumors consist of two distinct metabolic compartments. First, re-analysis of genome-wide transcriptional profiling data revealed that > 95 gene transcripts associated with mitochondrial biogenesis and/or mitochondrial translation were significantly elevated

Related Content

Prestige Antibodies Immunofluorescence Procedure

Our team of scientists has experience in all areas of research including Life Science, Material Science, Chemical Synthesis, Chromatography, Analytical and many others.

Contact Technical Service