Skip to Content
MilliporeSigma

HPA002640

Sigma-Aldrich

Anti-C-RAF antibody

Prestige Antibodies® Powered by Atlas Antibodies, rabbit polyclonal

Synonym(s):

Anti-C-RAF, Anti-RAF proto-oncogene serine/threonine-protein kinase, Anti-Raf-1, Anti-cRaf

Sign Into View Organizational & Contract Pricing

Select a Size


About This Item

MDL number:
UNSPSC Code:
12352203
Human Protein Atlas Number:
NACRES:
NA.43
Technical Service
Need help? Our team of experienced scientists is here for you.
Let Us Assist
Technical Service
Need help? Our team of experienced scientists is here for you.
Let Us Assist

Product Name

Anti-RAF1 antibody produced in rabbit, Prestige Antibodies® Powered by Atlas Antibodies, affinity isolated antibody, buffered aqueous glycerol solution

biological source

rabbit

Quality Level

conjugate

unconjugated

antibody form

affinity isolated antibody

antibody product type

primary antibodies

clone

polyclonal

product line

Prestige Antibodies® Powered by Atlas Antibodies

form

buffered aqueous glycerol solution

species reactivity

human

technique(s)

immunofluorescence: 0.25-2 μg/mL
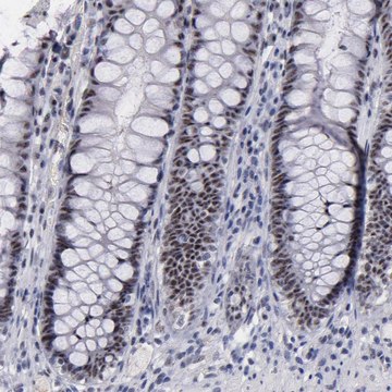
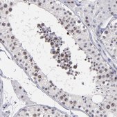
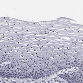
immunohistochemistry: 1:50-1:200

immunogen sequence

FRCQTCGYKFHEHCSTKVPTMCVDWSNIRQLLLFPNSTIGDSGVPALPSLTMRRMRESVSRMPVSSQHRYSTPHAFTFNTSSPSSEGSLSQRQRSTSTPNVHMVSTTLPVDSRMIEDAIRSHSESASPSALSSSPNNLSPTGWSQ

UniProt accession no.

shipped in

wet ice

storage temp.

−20°C

target post-translational modification

unmodified

Gene Information

human ... RAF1(5894)

Immunogen

Raf-1 proto-oncogene, serine/threonine kinase

Application

All Prestige Antibodies Powered by Atlas Antibodies are developed and validated by the Human Protein Atlas (HPA) project and as a result, are supported by the most extensive characterization in the industry.

The Human Protein Atlas project can be subdivided into three efforts: Human Tissue Atlas, Cancer Atlas, and Human Cell Atlas. The antibodies that have been generated in support of the Tissue and Cancer Atlas projects have been tested by immunohistochemistry against hundreds of normal and disease tissues and through the recent efforts of the Human Cell Atlas project, many have been characterized by immunofluorescence to map the human proteome not only at the tissue level but now at the subcellular level. These images and the collection of this vast data set can be viewed on the Human Protein Atlas (HPA) site by clicking on the Image Gallery link. We also provide Prestige Antibodies® protocols and other useful information.

Biochem/physiol Actions

RAF1 (Raf-1 proto-oncogene, serine/threonine kinase) is activated by the Ras-dependent recruitment to the plasma membrane and RAS-independent mechanisms within the cytosol. It is phosphorylated at serine 338, serine 621 and tyrosine 341 residues. It was concluded that homo or hetero-dimerization plays a crucial role in RAF1 activation. RAF1 acts as a microRNAs (miR-7-5p) target gene. RAF1 is associated with tumor development and progression. It actively participates in regulation of glioblastoma (GBM) microvascular endothelial cell proliferation. It is overexpressed in solid tumors including non-small cell lung cancer (NSCLC). It was reported that RAF1 acts as an independent prognostic biomarker for NSCLC.

Features and Benefits

Prestige Antibodies® are highly characterized and extensively validated antibodies with the added benefit of all available characterization data for each target being accessible via the Human Protein Atlas portal linked just below the product name at the top of this page. The uniqueness and low cross-reactivity of the Prestige Antibodies® to other proteins are due to a thorough selection of antigen regions, affinity purification, and stringent selection. Prestige antigen controls are available for every corresponding Prestige Antibody and can be found in the linkage section.

Every Prestige Antibody is tested in the following ways:
  • IHC tissue array of 44 normal human tissues and 20 of the most common cancer type tissues.
  • Protein array of 364 human recombinant protein fragments.

Physical form

Solution in phosphate-buffered saline, pH 7.2, containing 40% glycerol and 0.02% sodium azide

Other Notes

Corresponding Antigen APREST86427

Legal Information

Prestige Antibodies is a registered trademark of Merck KGaA, Darmstadt, Germany

Disclaimer

Unless otherwise stated in our catalog or other company documentation accompanying the product(s), our products are intended for research use only and are not to be used for any other purpose, which includes but is not limited to, unauthorized commercial uses, in vitro diagnostic uses, ex vivo or in vivo therapeutic uses or any type of consumption or application to humans or animals.

Not finding the right product?  

Try our Product Selector Tool.

Storage Class

10 - Combustible liquids

wgk_germany

WGK 1

flash_point_f

Not applicable

flash_point_c

Not applicable

ppe

Eyeshields, Gloves, multi-purpose combination respirator cartridge (US)


Choose from one of the most recent versions:

Certificates of Analysis (COA)

Lot/Batch Number

Don't see the Right Version?

If you require a particular version, you can look up a specific certificate by the Lot or Batch number.

Already Own This Product?

Find documentation for the products that you have recently purchased in the Document Library.

Visit the Document Library

Rajee Antony et al.
Cancer research, 73(15), 4840-4851 (2013-06-06)
Melanomas that contain B-RAF(V600E) mutations respond transiently to RAF and MEK inhibitors; however, resistance to these agents remains a formidable challenge. Although B- or C-RAF dysregulation represents prominent resistance mechanisms, resistance-associated point mutations in RAF oncoproteins are surprisingly rare. To
Zhiguo Liu et al.
Tumour biology : the journal of the International Society for Oncodevelopmental Biology and Medicine, 35(10), 10177-10184 (2014-07-17)
The aberrant expression of microRNAs (miRNAs) is always associated with tumor development and progression. Microvascular proliferation is one of the unique pathologic features of glioblastoma (GBM) . In this study, the microvasculature from GBM or normal brain tissue derived from
Zhi-Xin Qiu et al.
Cancer science, 103(10), 1774-1779 (2012-06-29)
Overexpression of Raf-1 has commonly been observed in solid tumors including non-small cell lung cancer (NSCLC). The objective of this study was to investigate whether overexpression of Raf-1, phosphorylated-Raf-1 (p-Raf-1) or both correlates with poor survival rate in NSCLC patients
Qiu Zhang et al.
Journal of pharmacological sciences, 126(1), 66-76 (2014-09-05)
P-glycoprotein (P-gp)-induced drug resistance is a major road block for successful cancer chemotherapy. Through phenotypic screening, the compound 2-(2-chlorophenylimino)-5-(4-dimethylaminobenzylidene) thiazolidin-4-one (CDBT) was discovered to have potent anti-tumor activity in P-gp over-expressing drug-resistant non-small-cell lung cancer (NSCLC) H460TaxR cells. Here, we
Sudipta Maitra et al.
Molecular and cellular endocrinology, 393(1-2), 109-119 (2014-06-24)
High intra-cellular cyclic nucleotide (cAMP) ensures prophase-I arrest and prevent steroid-induced meiotic G2-M1 transition in full-grown oocytes; however, relatively less information is available for cAMP regulation of growth factor-stimulated signalling events in the oocyte model. Here using zebrafish oocytes, we

Our team of scientists has experience in all areas of research including Life Science, Material Science, Chemical Synthesis, Chromatography, Analytical and many others.

Contact Technical Service