Skip to Content
MilliporeSigma

HPA002082

Sigma-Aldrich

Anti-VWF antibody produced in rabbit

Ab2, Prestige Antibodies® Powered by Atlas Antibodies, affinity isolated antibody, buffered aqueous glycerol solution

Synonym(s):

Anti-vWF antibody produced in rabbit, Anti-von Willebrand factor precursor antibody produced in rabbit

Sign Into View Organizational & Contract Pricing

Select a Size


About This Item

MDL number:
UNSPSC Code:
12352203
Human Protein Atlas Number:
NACRES:
NA.41
Technical Service
Need help? Our team of experienced scientists is here for you.
Let Us Assist
Technical Service
Need help? Our team of experienced scientists is here for you.
Let Us Assist

biological source

rabbit

Quality Level

conjugate

unconjugated

antibody form

affinity isolated antibody

antibody product type

primary antibodies

clone

polyclonal

product line

Prestige Antibodies® Powered by Atlas Antibodies

form

buffered aqueous glycerol solution

species reactivity

human

technique(s)

immunohistochemistry: 1:1000-1:2500
western blot: 0.04-0.4 μg/mL

immunogen sequence

RITLLLMASQEPQRMSRNFVRYVQGLKKKKVIVIPVGIGPHANLKQIRLIEKQAPENKAFVLSSVDELEQQRDEIVSYLCDLAPEAPPPTLPPDMAQVTVGPGLLGVSTLGPKRNSMVLDVAFVL

UniProt accession no.

shipped in

wet ice

storage temp.

−20°C

target post-translational modification

unmodified

Gene Information

human ... VWF(7450)

Looking for similar products? Visit Product Comparison Guide

Immunogen

von Willebrand factor precursor recombinant protein epitope signature tag (PrEST)

Application

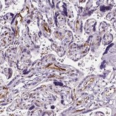
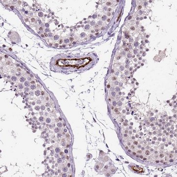
Anti-VWF antibody produced in rabbit, a Prestige Antibody, is developed and validated by the Human Protein Atlas (HPA) project . Each antibody is tested by immunohistochemistry against hundreds of normal and disease tissues. These images can be viewed on the Human Protein Atlas (HPA) site by clicking on the Image Gallery link. The antibodies are also tested using immunofluorescence and western blotting. To view these protocols and other useful information about Prestige Antibodies and the HPA, visit sigma.com/prestige.

Biochem/physiol Actions

Von Willebrand factor (VWF) is an adhesive glycoprotein synthesized only by endothelial cells and megakaryocytes, a platelet precursor. It is stored in α-granules in megakaryocytes or Weibel-Palade bodies in endothelial cells. In immature state, it is called as pre-pro-VWF molecule. It consists of D1 and D2 domains which are essential for multimerization. Upon maturation, it develops two other domains. During maturation the signal peptide of pro-VWF is cleaved to form C-terminal dimers in endoplasmic reticulum. The dimers are subjected to further modifications such as carbohydrate processing, sulfation and amino-terminal multimerization. The mature VWF plays major role in hemostasis. It helps in attaching platelets through the glycoprotein Ib receptor to subendothelial tissue at the site of vascular injury and also acts as a carrier protein for protecting coagulation factor VIII from proteolytic degradation by plasma enzymes. Deficiency or any alteration in VWF results in von Willebrand disease, a common hereditary bleeding disorder.

Features and Benefits

Prestige Antibodies® are highly characterized and extensively validated antibodies with the added benefit of all available characterization data for each target being accessible via the Human Protein Atlas portal linked just below the product name at the top of this page. The uniqueness and low cross-reactivity of the Prestige Antibodies® to other proteins are due to a thorough selection of antigen regions, affinity purification, and stringent selection. Prestige antigen controls are available for every corresponding Prestige Antibody and can be found in the linkage section.

Every Prestige Antibody is tested in the following ways:
  • IHC tissue array of 44 normal human tissues and 20 of the most common cancer type tissues.
  • Protein array of 364 human recombinant protein fragments.

Physical form

Solution in phosphate-buffered saline, pH 7.2, containing 40% glycerol and 0.02% sodium azide

Other Notes

Corresponding Antigen APREST83057

Legal Information

Prestige Antibodies is a registered trademark of Merck KGaA, Darmstadt, Germany

Disclaimer

Unless otherwise stated in our catalog or other company documentation accompanying the product(s), our products are intended for research use only and are not to be used for any other purpose, which includes but is not limited to, unauthorized commercial uses, in vitro diagnostic uses, ex vivo or in vivo therapeutic uses or any type of consumption or application to humans or animals.

Not finding the right product?  

Try our Product Selector Tool.

Storage Class

10 - Combustible liquids

wgk_germany

WGK 1

flash_point_f

Not applicable

flash_point_c

Not applicable

ppe

Eyeshields, Gloves, multi-purpose combination respirator cartridge (US)


Choose from one of the most recent versions:

Certificates of Analysis (COA)

Lot/Batch Number

Don't see the Right Version?

If you require a particular version, you can look up a specific certificate by the Lot or Batch number.

Already Own This Product?

Find documentation for the products that you have recently purchased in the Document Library.

Visit the Document Library

Goutam Chakraborty et al.
PloS one, 7(3), e33633-e33633 (2012-03-27)
Recent understanding on cancer therapy indicated that targeting metastatic signature or angiogenic switch could be a promising and rational approach to combat cancer. Advancement in cancer research has demonstrated the potential role of various tumor suppressor proteins in inhibition of
Yang Xu et al.
Arteriosclerosis, thrombosis, and vascular biology, 24(3), 477-482 (2004-01-24)
Arterial injury results in vascular remodeling associated with proliferation and migration of smooth muscle cells (SMCs) and the development of intimal hyperplasia, which is a critical component of restenosis after angioplasty of human coronary arteries and an important feature of
Cell biology of von Willebrand factor.
D D Wagner
Annual review of cell biology, 6, 217-246 (1990-01-01)
P C Lee et al.
The American journal of physiology, 277(4 Pt 2), H1600-H1608 (1999-10-12)
A role for nitric oxide (NO) in wound healing has been proposed; however, the absolute requirement of NO for wound healing in vivo and the contribution of endothelial NO synthase (eNOS) have not been determined. Experiments were carried out using
J E Sadler
Annual review of biochemistry, 67, 395-424 (1998-10-06)
Von Willebrand factor (VWF) is a blood glycoprotein that is required for normal hemostasis, and deficiency of VWF, or von Willebrand disease (VWD), is the most common inherited bleeding disorder. VWF mediates the adhesion of platelets to sites of vascular

Our team of scientists has experience in all areas of research including Life Science, Material Science, Chemical Synthesis, Chromatography, Analytical and many others.

Contact Technical Service