HPA001562
Anti-ATF3 antibody produced in rabbit

Prestige Antibodies® Powered by Atlas Antibodies, affinity isolated antibody, buffered aqueous glycerol solution
Synonym(s):
ATF3 Antibody - Anti-ATF3 antibody produced in rabbit, Atf3 Antibody, Anti-Activating transcription factor 3 antibody produced in rabbit, Anti-Cyclic AMP-dependent transcription factor ATF-3 antibody produced in rabbit
biological source
rabbit
Quality Level
conjugate
unconjugated
antibody form
affinity isolated antibody
antibody product type
primary antibodies
clone
polyclonal
product line
Prestige Antibodies® Powered by Atlas Antibodies
form
buffered aqueous glycerol solution
species reactivity
human
enhanced validation
orthogonal RNAseq
Learn more about Antibody Enhanced Validation
technique(s)
immunofluorescence: 0.25-2 μg/mL
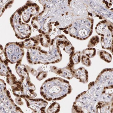
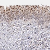
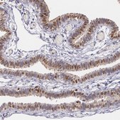
immunohistochemistry: 1:200-1:500
immunogen sequence
MMLQHPGQVSASEVSASAIVPCLSPPGSLVFEDFANLTPFVKEELRFAIQNKHLCHRMSSALESVTVSDRPLGVSITKAEVAPEEDERKKRRRERNKIAAAKCRNKKKEKTEC
UniProt accession no.
shipped in
wet ice
storage temp.
−20°C
target post-translational modification
unmodified
Gene Information
human ... ATF3(467)
General description
Immunogen
Application
- western blotting
- immunofluorescence
- immunohistochemical staining
- chromatin immunoprecipitation (ChIP)
Biochem/physiol Actions
Features and Benefits
Every Prestige Antibody is tested in the following ways:
- IHC tissue array of 44 normal human tissues and 20 of the most common cancer type tissues.
- Protein array of 364 human recombinant protein fragments.
Physical form
Other Notes
Legal Information
Disclaimer
Not finding the right product?
Try our Product Selector Tool.
Storage Class
10 - Combustible liquids
wgk_germany
WGK 1
ppe
Eyeshields, Gloves, multi-purpose combination respirator cartridge (US)
Choose from one of the most recent versions:
Already Own This Product?
Find documentation for the products that you have recently purchased in the Document Library.
Related Content
Prestige Antibodies Immunofluorescence Procedure
Our team of scientists has experience in all areas of research including Life Science, Material Science, Chemical Synthesis, Chromatography, Analytical and many others.
Contact Technical Service