Skip to Content
MilliporeSigma

HPA000872

Sigma-Aldrich

Anti-PSMC1 antibody produced in rabbit

Prestige Antibodies® Powered by Atlas Antibodies, affinity isolated antibody, buffered aqueous glycerol solution

Synonym(s):

Anti-26S protease regulatory subunit 4 antibody produced in rabbit, Anti-P26s4 antibody produced in rabbit, Anti-Proteasome 26S subunit ATPase 1 antibody produced in rabbit

Sign Into View Organizational & Contract Pricing

Select a Size


About This Item

UNSPSC Code:
12352203
Human Protein Atlas Number:
NACRES:
NA.41
Technical Service
Need help? Our team of experienced scientists is here for you.
Let Us Assist
Technical Service
Need help? Our team of experienced scientists is here for you.
Let Us Assist

biological source

rabbit

Quality Level

conjugate

unconjugated

antibody form

affinity isolated antibody

antibody product type

primary antibodies

clone

polyclonal

product line

Prestige Antibodies® Powered by Atlas Antibodies

form

buffered aqueous glycerol solution

species reactivity

human, mouse, rat

technique(s)

immunoblotting: 0.04-0.4 μg/mL
immunofluorescence: 0.25-2 μg/mL
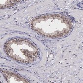
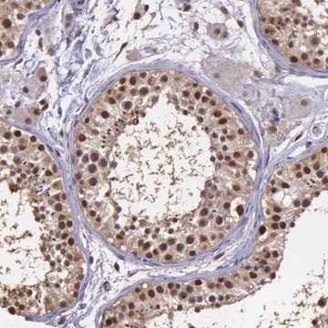
immunohistochemistry: 1:500-1:1000

immunogen sequence

YDSNSGGEREIQRTMLELLNQLDGFDSRGDVKVIMATNRIETLDPALIRPGRIDRKIEFPLPDEKTKKRIFQIHTSRMTLADDVTLDDLIMAKDDLSGADIKAICTEAGLMALRERRMKVTNEDFKKSKENVLYKKQEGTPE

UniProt accession no.

shipped in

wet ice

storage temp.

−20°C

target post-translational modification

unmodified

Gene Information

human ... PSMC1(5700)

Immunogen

26S protease regulatory subunit 4 recombinant protein epitope signature tag (PrEST)

Application

All Prestige Antibodies Powered by Atlas Antibodies are developed and validated by the Human Protein Atlas (HPA) project and as a result, are supported by the most extensive characterization in the industry.

The Human Protein Atlas project can be subdivided into three efforts: Human Tissue Atlas, Cancer Atlas, and Human Cell Atlas. The antibodies that have been generated in support of the Tissue and Cancer Atlas projects have been tested by immunohistochemistry against hundreds of normal and disease tissues and through the recent efforts of the Human Cell Atlas project, many have been characterized by immunofluorescence to map the human proteome not only at the tissue level but now at the subcellular level. These images and the collection of this vast data set can be viewed on the Human Protein Atlas (HPA) site by clicking on the Image Gallery link. We also provide Prestige Antibodies® protocols and other useful information.

Biochem/physiol Actions

26S protease regulatory subunit 4, an ATPase subunit belonging to the triple-A family of ATPases is encoded by the PSMC1 gene in humans. It is an essential subunit of the 26S proteasome. Overexpression of the gene may suppress the expression of various reporters in mammalian cells and this is overcome by coexpression of hepatitis B virus X protein (HBX). There is no association found between variations or haplotypes in the PSMC1 gene and Parkinson′s disease (PD). This indicates that this gene is probably not involved in the pathogenesis of PD.

Features and Benefits

Prestige Antibodies® are highly characterized and extensively validated antibodies with the added benefit of all available characterization data for each target being accessible via the Human Protein Atlas portal linked just below the product name at the top of this page. The uniqueness and low cross-reactivity of the Prestige Antibodies® to other proteins are due to a thorough selection of antigen regions, affinity purification, and stringent selection. Prestige antigen controls are available for every corresponding Prestige Antibody and can be found in the linkage section.

Every Prestige Antibody is tested in the following ways:
  • IHC tissue array of 44 normal human tissues and 20 of the most common cancer type tissues.
  • Protein array of 364 human recombinant protein fragments.

Physical form

Solution in phosphate-buffered saline, pH 7.2, containing 40% glycerol and 0.02% sodium azide

Other Notes

Corresponding Antigen APREST70502

Legal Information

Prestige Antibodies is a registered trademark of Merck KGaA, Darmstadt, Germany

Disclaimer

Unless otherwise stated in our catalog or other company documentation accompanying the product(s), our products are intended for research use only and are not to be used for any other purpose, which includes but is not limited to, unauthorized commercial uses, in vitro diagnostic uses, ex vivo or in vivo therapeutic uses or any type of consumption or application to humans or animals.

Not finding the right product?  

Try our Product Selector Tool.

Storage Class

10 - Combustible liquids

wgk_germany

WGK 1

flash_point_f

Not applicable

flash_point_c

Not applicable

ppe

Eyeshields, Gloves, multi-purpose combination respirator cartridge (US)


Choose from one of the most recent versions:

Certificates of Analysis (COA)

Lot/Batch Number

Don't see the Right Version?

If you require a particular version, you can look up a specific certificate by the Lot or Batch number.

Already Own This Product?

Find documentation for the products that you have recently purchased in the Document Library.

Visit the Document Library

Tian-Ze Ma et al.
Experimental and therapeutic medicine, 17(1), 649-656 (2019-01-18)
The exact cause instigating multiple myeloma (MM) has not been fully elucidated, and the disease has a median survival of 6 months without any treatment. To identify potential biomarkers of MM, serum proteins reflecting alteration in their proteomes were analyzed
Pilar Gómez-Garre et al.
European neurology, 68(4), 193-198 (2012-09-06)
Impairment of the ubiquitin-proteasome system has been suggested to play an important role in the pathogenesis of Parkinson's disease (PD). The 26S proteasome regulatory subunit 1 is encoded by the gene PSMC1 in humans. PSMC1 knockout mice showed a PD-like
Lynn Bedford et al.
The Journal of neuroscience : the official journal of the Society for Neuroscience, 28(33), 8189-8198 (2008-08-15)
Ubiquitin-positive intraneuronal inclusions are a consistent feature of the major human neurodegenerative diseases, suggesting that dysfunction of the ubiquitin proteasome system is central to disease etiology. Research using inhibitors of the 20S proteasome to model Parkinson's disease is controversial. We
Barbara Czub et al.
PloS one, 11(2), e0148678-e0148678 (2016-02-13)
The significance of the ubiquitin-proteasome system (UPS) for protein degradation has been highlighted in the context of neurodegenerative diseases, including retinal dystrophies. TOPORS, a dual E3 ubiquitin and SUMO1 ligase, forms a component of the UPS and selected substrates for
Z Zhang et al.
The Journal of biological chemistry, 275(20), 15157-15165 (2000-04-05)
Hepatitis B virus (HBV) has a unique fourth open reading frame coding for a 16.5-kDa protein known as hepatitis B virus X protein (HBX). The importance of HBX in the life cycle of HBV has been well established, but the

Related Content

Prestige Antibodies Immunofluorescence Procedure

Our team of scientists has experience in all areas of research including Life Science, Material Science, Chemical Synthesis, Chromatography, Analytical and many others.

Contact Technical Service