G4405
Anti-Guanylyl Cyclase β1 (ER-19) antibody produced in rabbit

affinity isolated antibody, buffered aqueous solution
Synonym(s):
Anti-GC-S-beta-1, Anti-GC-SB3, Anti-GUC1B3, Anti-GUCB3, Anti-GUCSB3, Anti-GUCY1B3
biological source
rabbit
Quality Level
conjugate
unconjugated
antibody form
affinity isolated antibody
antibody product type
primary antibodies
clone
polyclonal
form
buffered aqueous solution
mol wt
antigen 70 kDa
species reactivity
rat, mouse, human, bovine
enhanced validation
independent
Learn more about Antibody Enhanced Validation
technique(s)
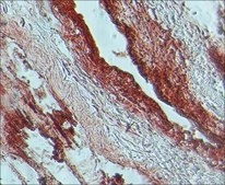
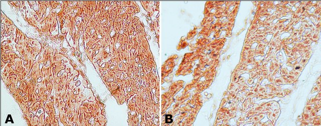
immunohistochemistry (formalin-fixed, paraffin-embedded sections): 1:400 using trypsin-digested human, bovine and mouse heart tissue
immunoprecipitation (IP): 2-3 μg using 60-120 μg of a cytosolic fraction of rat brain
western blot: 1:2,000 using cytosolic fraction of rat brain
shipped in
dry ice
storage temp.
−20°C
target post-translational modification
unmodified
Gene Information
human ... GUCY1B3(2983)
mouse ... Gucy1b3(54195)
rat ... Gucy1b3(25202)
Related Categories
General description
Immunogen
Application
It has been used as a primary antibody for:
- localization of β1 subunits of sGC (soluble guanylate cyclase) in the guinea pig gastrointestinal tract
- detection of expression of sGC in the vasculature of rat skeletal muscle
- localization of the functional subunit of NO receptors, sGCβ1 in guinea pig caecum
Biochem/physiol Actions
Physical form
Disclaimer
Not finding the right product?
Try our Product Selector Tool.
Storage Class
10 - Combustible liquids
wgk_germany
WGK 1
flash_point_f
Not applicable
flash_point_c
Not applicable
Choose from one of the most recent versions:
Already Own This Product?
Find documentation for the products that you have recently purchased in the Document Library.
Related Content
Our team of scientists has experience in all areas of research including Life Science, Material Science, Chemical Synthesis, Chromatography, Analytical and many others.
Contact Technical Service