Skip to Content
MilliporeSigma

D0942

Sigma-Aldrich

Anti-DHFR, C-terminal antibody produced in rabbit

1.0-1.5 mg/mL, affinity isolated antibody, buffered aqueous solution

Synonym(s):

Anti-Dihydrofolate reductase

Sign Into View Organizational & Contract Pricing

Select a Size


About This Item

MDL number:
UNSPSC Code:
12352203
NACRES:
NA.56
Technical Service
Need help? Our team of experienced scientists is here for you.
Let Us Assist
Technical Service
Need help? Our team of experienced scientists is here for you.
Let Us Assist

biological source

rabbit

Quality Level

conjugate

unconjugated

antibody form

affinity isolated antibody

antibody product type

primary antibodies

clone

polyclonal

form

buffered aqueous solution

species reactivity

mouse, human, rat

concentration

1.0-1.5 mg/mL

technique(s)

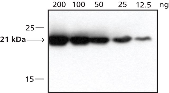
immunoprecipitation (IP): 0.5-1.0 μg using 100-200 ng of purified DHFR
western blot (chemiluminescent): 0.5-1.0 μg/mL using 50-100 ng of purified recombinant DHFR, or 293T human embryonic kidney cell extract, or Jurkat human acute T Cell leukemia cell extract

UniProt accession no.

shipped in

dry ice

storage temp.

−20°C

target post-translational modification

unmodified

Gene Information

human ... DHFR(1719)
mouse ... Dhfr(13361)
rat ... Dhfr(24312)

Immunogen

amino acids 171-185 of mouse DHFR, conjugated to KLH via an N-terminal added cysteine residue.

Biochem/physiol Actions

DHFR and DHFR fusion proteins. The epitope resides within amino acids 171-185 of mouse DHFR.

Physical form

Solution in 0.01 M phosphate buffered saline, pH 7.4, containing 1% bovine serum albumin and 15 mM sodium azide.

Not finding the right product?  

Try our Product Selector Tool.

Storage Class

10 - Combustible liquids

wgk_germany

WGK 2

flash_point_f

Not applicable

flash_point_c

Not applicable

ppe

Eyeshields, Gloves, multi-purpose combination respirator cartridge (US)


Choose from one of the most recent versions:

Certificates of Analysis (COA)

Lot/Batch Number

Don't see the Right Version?

If you require a particular version, you can look up a specific certificate by the Lot or Batch number.

Already Own This Product?

Find documentation for the products that you have recently purchased in the Document Library.

Visit the Document Library

Soledad Chazarra et al.
Applied biochemistry and biotechnology, 162(7), 1834-1846 (2010-04-16)
Recent reports describe the inhibition of human dihydrofolate reductase (hDHFR) by natural tea polyphenols. This finding could explain the epidemiologic data on their prophylactic effects for certain forms of cancer, and it raises the possibility that natural and synthetic polyphenols
Gilad Barshad et al.
Scientific reports, 9(1), 9987-9987 (2019-07-12)
Mitochondrial complex I (CI) is the largest multi-subunit oxidative phosphorylation (OXPHOS) protein complex. Recent availability of a high-resolution human CI structure, and from two non-human mammals, enabled predicting the impact of mutations on interactions involving each of the 44 CI
Stephen W Michnick et al.
Methods in molecular biology (Clifton, N.J.), 756, 395-425 (2011-08-27)
Protein-fragment Complementation Assays (PCAs) are a family of assays for detecting protein-protein interactions (PPIs) that have been developed to provide simple and direct ways to study PPIs in any living cell, multicellular organism, or in vitro. PCAs can be used
Stephen W Michnick et al.
Methods in enzymology, 470, 335-368 (2010-10-16)
Protein-fragment complementation assays (PCAs) are a family of assays for detecting protein-protein interactions (PPIs) that have been developed to provide simple and direct ways to study PPIs in any living cell, multicellular organism or in vitro. PCAs can be used

Our team of scientists has experience in all areas of research including Life Science, Material Science, Chemical Synthesis, Chromatography, Analytical and many others.

Contact Technical Service