Skip to Content
MilliporeSigma

B5897

Sigma-Aldrich

Anti-Bak antibody produced in rabbit

IgG fraction of antiserum, buffered aqueous solution

Synonym(s):

Anti-Bcl-2 Homologous Antagonist/Killer

Sign Into View Organizational & Contract Pricing

Select a Size


About This Item

MDL number:
UNSPSC Code:
12352203
NACRES:
NA.46
Technical Service
Need help? Our team of experienced scientists is here for you.
Let Us Assist
Technical Service
Need help? Our team of experienced scientists is here for you.
Let Us Assist

biological source

rabbit

Quality Level

conjugate

unconjugated

antibody form

IgG fraction of antiserum

antibody product type

primary antibodies

clone

polyclonal

form

buffered aqueous solution

mol wt

antigen 28 kDa

species reactivity

human

technique(s)

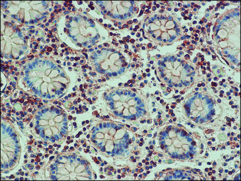
immunohistochemistry (formalin-fixed, paraffin-embedded sections): 1:100 using sections of human colon carcinoma
microarray: suitable
western blot: 1:2,000 using human epidermal carcinoma A431 whole cell extract

UniProt accession no.

shipped in

dry ice

storage temp.

−20°C

target post-translational modification

unmodified

Gene Information

human ... BAK1(578)

General description

Bak (Bcl-2 homologous antagonist/killer, Bak1) belongs to the B-cell lymphoma 2 (Bcl-2) family of proteins. The bak gene is mapped to chromosome 6 and encodes a 233 amino acid protein with a predicted MW of 23.4 kDa. Bak shares homology with Bcl-2 in the Bcl‐2 homology (BH) domains (BH1 and BH2). Bak is expressed in a wide variety of cell types and tissues, with the highest levels observed in heart and skeletal muscle.

Immunogen

synthetic peptide corresponding to the N-terminus of human Bak amino acids 23-38 with C-terminally added lysine, conjugated to KLH.

Application

Anti-Bak antibody produced in rabbit has been used in immunoblotting and immunohistochemistry.

Biochem/physiol Actions

Bak (Bcl-2 homologous antagonist/killer, Bak1) is involved in regulating apoptosis. Bak can accelerate the rate of apoptosis when overexpressed in some cell lines. Increased Bak expression in normal and neoplastic intestinal epithelial cells results in apoptosis. However, expression of Bak in a human lymphoblastoid cell line, provided protection from apoptosis induced by serum deprivation and the oxidant menadione, suggesting that the function of Bak may be context dependent.

Physical form

Solution in 0.01 M phosphate buffered saline, pH 7.4, containing 15 mM sodium azide.

Disclaimer

Unless otherwise stated in our catalog or other company documentation accompanying the product(s), our products are intended for research use only and are not to be used for any other purpose, which includes but is not limited to, unauthorized commercial uses, in vitro diagnostic uses, ex vivo or in vivo therapeutic uses or any type of consumption or application to humans or animals.

Not finding the right product?  

Try our Product Selector Tool.

Storage Class

10 - Combustible liquids

wgk_germany

WGK 3

flash_point_f

Not applicable

flash_point_c

Not applicable


Choose from one of the most recent versions:

Certificates of Analysis (COA)

Lot/Batch Number

Don't see the Right Version?

If you require a particular version, you can look up a specific certificate by the Lot or Batch number.

Already Own This Product?

Find documentation for the products that you have recently purchased in the Document Library.

Visit the Document Library

DNA damage-related gene expression as biomarkers to assess cellular response after gamma irradiation of a human lymphoblastoid cell line
Bishay K, et al.
Oncogene, 19(7), 916-916 (2000)
Genome-wide association study identifies two susceptibility loci for osteosarcoma
Savage SA, et al.
Nature Genetics, 45(7), 799-799 (2013)
Rachel T Uren et al.
eLife, 6 (2017-02-10)
During apoptosis, Bak and Bax undergo major conformational change and form symmetric dimers that coalesce to perforate the mitochondrial outer membrane via an unknown mechanism. We have employed cysteine labelling and linkage analysis to the full length of Bak in
Boris Reljic et al.
Autophagy, 12(7), 1083-1093 (2016-05-14)
Inhibition of prosurvival BCL2 family members can induce autophagy, but the mechanism is controversial. We have provided genetic evidence that BCL2 family members block autophagy by inhibiting BAX and BAK1, but others have proposed they instead inhibit BECN1. Here we
mRNA for N-Bak, a neuron-specific BH3-only splice isoform of Bak, escapes nonsense-mediated decay and is translationally repressed in the neurons
Jakobson M, et al.
Cell Death & Disease, 3(2), e269-e269 (2012)

Our team of scientists has experience in all areas of research including Life Science, Material Science, Chemical Synthesis, Chromatography, Analytical and many others.

Contact Technical Service