Skip to Content
MilliporeSigma

AV48204

Sigma-Aldrich

Anti-ENO3 (AB1) antibody produced in rabbit

affinity isolated antibody

Synonym(s):

Anti-Enolase 3 (β, muscle), Anti-MSE

Sign Into View Organizational & Contract Pricing

Select a Size


About This Item

UNSPSC Code:
12352203
NACRES:
NA.41
Technical Service
Need help? Our team of experienced scientists is here for you.
Let Us Assist
Technical Service
Need help? Our team of experienced scientists is here for you.
Let Us Assist

biological source

rabbit

Quality Level

conjugate

unconjugated

antibody form

affinity isolated antibody

antibody product type

primary antibodies

clone

polyclonal

form

buffered aqueous solution

mol wt

47 kDa

species reactivity

human

concentration

0.5 mg - 1 mg/mL

technique(s)

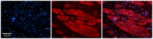
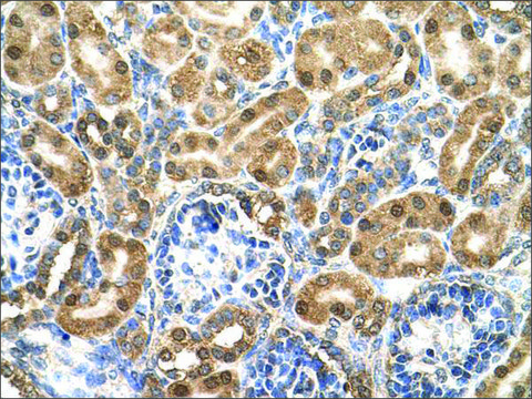
immunohistochemistry: suitable
western blot: suitable

NCBI accession no.

UniProt accession no.

shipped in

wet ice

storage temp.

−20°C

target post-translational modification

unmodified

Gene Information

human ... ENO3(2027)

Related Categories

General description

Enolase 3 (ENO3) is a skeletal muscle isoenzyme that is involved in muscle development. ENO3 transcription is regulated by muscle-specific enhancer proteins. Mutations in ENO3 have been linked to glycogen storage diseases.
Rabbit Anti-ENO3 antibody recognizes bovine, canine, rabbit, human, mouse, and rat ENO3.

Immunogen

Synthetic peptide directed towards the N terminal region of human ENO3

Application

Rabbit Anti-ENO3 antibody is suitable for western blot applications at a concentration of 0.25μg/ml.

Biochem/physiol Actions

ENO3 is one of the three enolase isoenzymes found in mammals. This isoenzyme, a homodimer, is found in skeletal muscle cells in the adult. A switch from alpha enolase to beta enolase occurs in muscle tissue during development in rodents. Mutations in ENO3 gene can be associated with metabolic myopathies that may result from decreased stability of the enzyme.This gene encodes one of the three enolase isoenzymes found in mammals. This isoenzyme, a homodimer, is found in skeletal muscle cells in the adult. A switch from alpha enolase to beta enolase occurs in muscle tissue during development in rodents. Mutations in this gene can be associated with metabolic myopathies that may result from decreased stability of the enzyme. Two transcripts have been identified for this gene that differ only in their 5′ UTR.

Physical form

Purified antibody supplied in 1x PBS buffer with 0.09% (w/v) sodium azide and 2% sucrose.

Other Notes

Synthetic peptide located within the following region: EVDLHTAKGRFRAAVPSGASTGIYEALELRDGDKGRYLGKGVLKAVENIN

Disclaimer

Unless otherwise stated in our catalog or other company documentation accompanying the product(s), our products are intended for research use only and are not to be used for any other purpose, which includes but is not limited to, unauthorized commercial uses, in vitro diagnostic uses, ex vivo or in vivo therapeutic uses or any type of consumption or application to humans or animals.

Not finding the right product?  

Try our Product Selector Tool.

Storage Class

10 - Combustible liquids

wgk_germany

WGK 3

flash_point_f

Not applicable

flash_point_c

Not applicable


Choose from one of the most recent versions:

Certificates of Analysis (COA)

Lot/Batch Number

Don't see the Right Version?

If you require a particular version, you can look up a specific certificate by the Lot or Batch number.

Already Own This Product?

Find documentation for the products that you have recently purchased in the Document Library.

Visit the Document Library

Michael Lutter et al.
Biological psychiatry, 81(9), 770-777 (2016-11-26)
While eating disorders (EDs) are thought to result from a combination of environmental and psychological stressors superimposed on genetic vulnerability, the neurobiological basis of EDs remains incompletely understood. We recently reported that a rare missense mutation in the gene for
S Feo et al.
Molecular and cellular biology, 15(11), 5991-6002 (1995-11-01)
To provide evidence for the cis-regulatory DNA sequences and trans-acting factors involved in the complex pattern of tissue- and stage-specific expression of the beta enolase gene, constructs containing fragments of the gene fused to the chloramphenicol acetyltransferase gene were used

Our team of scientists has experience in all areas of research including Life Science, Material Science, Chemical Synthesis, Chromatography, Analytical and many others.

Contact Technical Service